Sign In to View Organizational & Contract Pricing.
Select a Size
Change View
About This Item
UNSPSC Code:
12352203
NACRES:
NA.41
eCl@ss:
32160702
Conjugate:
unconjugated
Clone:
SL-1 IID4, monoclonal
Application:
ELISA, IHC, IP, WB
Citations:
9
biological source
mouse
Quality Level
conjugate
unconjugated
antibody form
purified antibody
antibody product type
primary antibodies
clone
SL-1 IID4, monoclonal
species reactivity
human
manufacturer/tradename
Chemicon®
technique(s)
ELISA: suitable, immunohistochemistry: suitable (paraffin), immunoprecipitation (IP): suitable, western blot: suitable
isotype
IgG2b
NCBI accession no.
UniProt accession no.
shipped in
wet ice
target post-translational modification
unmodified
Gene Information
human ... MMP3(4314)
General description
MMPs are frequently expressed in malignant neoplastic cells and play crucial roles in tumor invasion and metastasis. Tissue inhibitors of matrix metalloproteinases (TIMPs) control the activitiy of MMPS. The tissue distribution of three major MMPs has been defined in human mammary pathology: 1) collagenase (MMP-1) which degrades fibrillar interstitial collagens; 2) a 72-k/Da gelatinase (MMP-2) which mainly degrades type IV collagen and denatured collagens; and 3) stromelysin (MMP-3) which has a wider range of action, degrading several matrix components including the core proteins of proteoglycans, laminin and non-helical regions of collagens.
Immunogen
APMA (4-Aminophenylmercuric acetate) activated Human stromelysin-1
Application
Anti-MMP-3 Antibody, clone SL-1 IID4 is an antibody against MMP-3 for use in ELISA, IP, WB, IH(P).
Immunofluorescence
Immunoprecipitation (Use Protein A): 2μg/ml protein lysate.
Western blotting: 0.5-1.0 μg/ml for 2hrs at RT
Immunohistology (frozen & formalin-fixed): 10-20 μg/ml for 60 minute at room temperature. No special pretreatment is required for staining of formalin-fixed, paraffin-embedded tissue sections.
Optimal working dilutions and protocols must be determined by end user.
Immunoprecipitation (Use Protein A): 2μg/ml protein lysate.
Western blotting: 0.5-1.0 μg/ml for 2hrs at RT
Immunohistology (frozen & formalin-fixed): 10-20 μg/ml for 60 minute at room temperature. No special pretreatment is required for staining of formalin-fixed, paraffin-embedded tissue sections.
Optimal working dilutions and protocols must be determined by end user.
Research Category
Cell Structure
Cell Structure
Research Sub Category
MMPs & TIMPs
MMPs & TIMPs
Biochem/physiol Actions
MAB3369 recognizes one doublet of 54kDa/59kDa and another doublet of 44kDa/49kDa, which are identified as unglycosylated and glycosylated species of pro (latent) and active forms of matrix metalloproteinase-3 (MMP-3; also known as Stromelysin-1 of Transin). MAB3369 shows no cross-reaction with the pro and active forms of other MMPs.
CELLULAR LOCALIZATION:
Cytoplasmic
CELLULAR LOCALIZATION:
Cytoplasmic
Physical form
Format: Purified
Purified from ascites fluid by Protein A chromatography. 10mM PBS, pH 7.4, with 0.2% BSA and 0.09% sodium azide.
Preparation Note
Antibody with sodium azide is stable for 12 months when stored at 2-8°C.
Analysis Note
Control
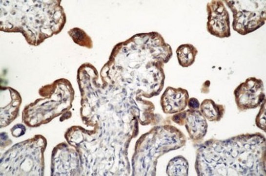
POSTIVE CONTROL:
Human endometrium cells, placenta, bladder, breast, ovarian carcinomas.
POSTIVE CONTROL:
Human endometrium cells, placenta, bladder, breast, ovarian carcinomas.
Other Notes
Concentration: Please refer to the Certificate of Analysis for the lot-specific concentration.
Legal Information
CHEMICON is a registered trademark of Merck KGaA, Darmstadt, Germany
Disclaimer
Unless otherwise stated in our catalog or other company documentation accompanying the product(s), our products are intended for research use only and are not to be used for any other purpose, which includes but is not limited to, unauthorized commercial uses, in vitro diagnostic uses, ex vivo or in vivo therapeutic uses or any type of consumption or application to humans or animals.
Still not finding the right product?
Try our Product Selector Tool to narrow your options
Storage Class
12 - Non Combustible Liquids
wgk
WGK 2
flash_point_f
Not applicable
flash_point_c
Not applicable
Certificates of Analysis (COA)
Search for Certificates of Analysis (COA) by entering the products Lot/Batch Number. Lot and Batch Numbers can be found on a product’s label following the words ‘Lot’ or ‘Batch’.
Already Own This Product?
Find documentation for the products that you have recently purchased in the Document Library.
Related Content
G Galazka et al.
Biochemistry, 35(34), 11221-11227 (1996-08-27)
Matrix metalloproteinases (MMPs) can be activated in vitro by multiple mechanisms such as treatment with proteases, organomercurials, oxidants, and detergents. The proposed cysteine switch model for activation suggests that these multiple methods for activation cause the dissociation of the single
MMP-2, -3 and -9 levels and activity are not related to Abeta load in the frontal cortex in Alzheimer's disease.
S Baig,P G Kehoe,S Love
Neuropathology and Applied Neurobiology null
Stromelysin-1/matrix metalloproteinase-3 (MMP-3) expression accounts for invasive properties of human astrocytoma cell lines.
Javier Mercapide, Ricardo Lopez De Cicco, Javier S Castresana, Andres J P Klein-Szanto
International Journal of Cancer. Journal International Du Cancer null
Global Trade Item Number
| SKU | GTIN |
|---|---|
| MAB3369 | 04053252668715 |