Skip to Content
Merck
CN

MABE1911

Anti-Daxx Antibody, clone Daxx5.14

clone DAXX5.14, from mouse

Synonym(s):

Death domain-associated protein 6, hDaxx, ETS1-associated protein 1, EAP1, Fas death domain-associated protein

Sign In to View Organizational & Contract Pricing.

Select a Size

Change View

About This Item

UNSPSC Code:
12352203
NACRES:
NA.41
eCl@ss:
32160702
Conjugate:
unconjugated
Clone:
DAXX5.14, monoclonal
Application:
ICC, IHC, WB
Citations:
3
Technical Service
Need help? Our team of experienced scientists is here for you.
Let Us Assist


biological source

mouse

conjugate

unconjugated

antibody form

purified immunoglobulin

antibody product type

primary antibodies

clone

DAXX5.14, monoclonal

species reactivity

human

packaging

antibody small pack of 25 μg

technique(s)

immunocytochemistry: suitable, immunohistochemistry: suitable (paraffin), western blot: suitable

isotype

IgG1κ

NCBI accession no.

UniProt accession no.

target post-translational modification

unmodified

Gene Information

human ... DAXX(1616)

General description

81.37 kDa calculated.
Death domain-associated protein 6 (UniProt: Q9UER7; also known as Daxx, hDaxx, ETS1-associated protein 1, EAP1, Fas death domain-associated protein) is encoded by the DAXX (also known as BING2, DAP6) gene (Gene ID: 1616) in human. Daxx is a homomultimeric protein that is dispersed throughout the nucleoplasm, in PML/POD/ND10 nuclear bodies, and in nucleoli. It serves as a transcription corepressor that represses transcriptional potential of several sumoylated transcription factors. It down-regulates basal and activated transcription and its repressor activity is modulated by its recruitment to subnuclear compartments like the nucleolus or PML/POD/ND10 nuclear bodies through interactions with MCSR1 and PML, respectively. It is reported to regulate transcription in PML/POD/ND10 nuclear bodies together with PML and may thereby influence TNFRSF6-dependent apoptosis. It also acts as an adapter protein in a MDM2-DAXX-USP7 complex by regulating the RING-finger E3 ligase MDM2 ubiquitination activity. Under non-stress conditions, in association with the deubiquitinating USP7, it prevents MDM2 self-ubiquitination and enhances the intrinsic E3 ligase activity of MDM2 towards TP53 that leads to TP53 ubiquitination and proteasomal degradation. However, upon DNA damage, its association with MDM2 and USP7 is disrupted, which results in increased MDM2 autoubiquitination and consequently, MDM2 degradation and TP53 stabilization. It also acts as targeting component of the chromatin remodeling complex ATRX:DAXX that has ATP-dependent DNA translocase activity and catalyzes the replication-independent deposition of histone H3.3 in pericentric DNA repeats. However, it does not affect the ATPase activity of ATRX, but alleviates its transcription repression activity.

Immunogen

His-tagged recombinant fragment corresponding to 318 amino acids from the C-terminal half of human Daxx.

Application

Anti-Daxx, clone Daxx5.14, Cat. No. MABE1911, is a highly specific mouse monoclonal antibody that targets Daxx and has been tested for use in Immunocytochemistry, Immunohistochemistry (Paraffin) and Western Blotting.
Immunocytochemistry Analysis: A representative lot detected Daxx in Immunocytochemistry applications (Nefkens, I., et. al. (2003). J Cell Sci. 116(Pt 3):513-24; Ishov, A.M., et. al. (2002). J Virol. 76(15):7705-12).

Western Blotting Analysis: A representative lot detected Daxx in Western Blotting applications (Nefkens, I., et. al. (2003). J Cell Sci. 116(Pt 3):513-24).
Research Category
Epigenetics & Nuclear Function

Biochem/physiol Actions

Clone DAXX5.14 specifically detects human Daxx. It targets an epitope with in 40 amino acids from the C-terminal half.

Physical form

Format: Purified
Protein G purified
Purified mouse monoclonal antibody IgG1 in buffer containing 0.1 M Tris-Glycine (pH 7.4), 150 mM NaCl with 0.05% sodium azide.

Preparation Note

Stable for 1 year at 2-8°C from date of receipt.

Analysis Note

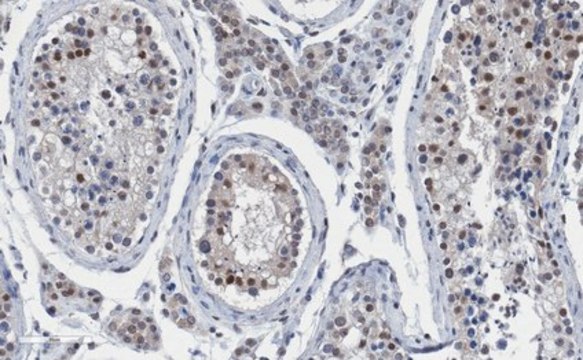
Evaluated by Immunohistochemistry (Paraffin) in human testis tissue sections.

Immunohistochemistry (Paraffin) Analysis: A 1:50 dilution of this antibody detected Daxx in human testis tissue sections.

Other Notes

Concentration: Please refer to lot specific datasheet.

Disclaimer

Unless otherwise stated in our catalog or other company documentation accompanying the product(s), our products are intended for research use only and are not to be used for any other purpose, which includes but is not limited to, unauthorized commercial uses, in vitro diagnostic uses, ex vivo or in vivo therapeutic uses or any type of consumption or application to humans or animals.


Still not finding the right product?

Try our Product Selector Tool to narrow your options


Storage Class

12 - Non Combustible Liquids

wgk

WGK 1

flash_point_f

Not applicable

flash_point_c

Not applicable



Certificates of Analysis (COA)

Search for Certificates of Analysis (COA) by entering the products Lot/Batch Number. Lot and Batch Numbers can be found on a product’s label following the words ‘Lot’ or ‘Batch’.

Already Own This Product?

Find documentation for the products that you have recently purchased in the Document Library.

Visit the Document Library



Alexander M Ishov et al.
Journal of virology, 76(15), 7705-7712 (2002-07-05)
Human cytomegalovirus (HCMV) starts immediate-early transcription at nuclear domains 10 (ND10), forming a highly dynamic immediate transcript environment at this nuclear site. The reason for this spatial correlation remains enigmatic, and the mechanism for induction of transcription at ND10 is
Isabelle Nefkens et al.
Journal of cell science, 116(Pt 3), 513-524 (2003-01-01)
Nuclear domains called ND10 or PML bodies might function as nuclear depots by recruiting or releasing certain proteins. Although recruitment of proteins through interferon-induced upregulation and SUMO-1 modification level of PML had been defined, it is not known whether release
Sonali Chaturvedi et al.
Proceedings of the National Academy of Sciences of the United States of America, 117(29), 17240-17248 (2020-07-08)
Probabilistic bet hedging, a strategy to maximize fitness in unpredictable environments by matching phenotypic variability to environmental variability, is theorized to account for the evolution of various fate-specification decisions, including viral latency. However, the molecular mechanisms underlying bet hedging remain



Global Trade Item Number

SKUGTIN
MABE1911-100UG04054839986765