Sign In to View Organizational & Contract Pricing.
Select a Size
Change View
About This Item
UNSPSC Code:
12352203
eCl@ss:
32160702
NACRES:
NA.41
Clone:
mECD, monoclonal
Species reactivity:
human, rat, mouse
Application:
FACS, IF, IHC, IP
Citations:
-
Product Name
Anti-Aquaporin-4 Antibody, clone mECD, clone mECD, from mouse
biological source
mouse
antibody form
purified immunoglobulin
antibody product type
primary antibodies
clone
mECD, monoclonal
species reactivity
human, rat, mouse
packaging
antibody small pack of 25 μg
technique(s)
flow cytometry: suitable, immunofluorescence: suitable, immunohistochemistry: suitable, immunoprecipitation (IP): suitable
isotype
IgG1κ
NCBI accession no.
UniProt accession no.
target post-translational modification
unmodified
Gene Information
human ... AQP4(361)
General description
34.83 kDa calculated.
Aquaporin-4 (UniProt: P55087; also known as AQP-4, Mercurial-insensitive water channel, MIWC, WCH4) is encoded by the AGP4 gene (Gene ID: 361) in human. Aquaporin-4 is a multi-pass membrane protein that forms a water-specific channel and serves as an osmoreceptor that regulates body water balance and mediates water flow within the central nervous system. Its extracellular domains are localized to amino acids 58-64, 137-155, and 206-231); its transmembrane domains are in amino acids 37-57, 65-85, 116-136, 156-176, 185-205, and 232-252); and the cytoplasmic domain is in amino acids 1-36, 86-115, 177-184, and 253-323). Aquaporin-4 is largely expressed in the brain and the skeletal muscle and at lower levels in heart, kidney, and lung tissue. Phosphorylation of Aquaporin-4 at Serine 180 by protein kinase C is shown to reduce conductance by about 50%, whereas phosphorylation at Serine 111 by protein kinase G in response to glutamate can increase conductance by about 40%. Two isoforms of Aquaporin-4 have been described that are produced by alternative splicing. Antibodies to Aquaporin-4 can serve as useful serum markers to distinguishing neuromyelitis optica (NMO) from multiple sclerosis. Clone mECD is shown to induce clustering and internalization of Aquporin-4 and cause its redistribution, which is also observed with NMO-IgG. Exposure to mECD antibody is also shown to cause coaggregation of astrocytic CD28B and Aquaporin-4. (Ref.: Hinson, SR et al. (2017). Proc. Natl.Acad. Sci. USA 114(21); 5491-5496).
Immunogen
Epitope: extracellular domain
His-tagged full-length human recombinant Aquaporin-4.
Application
Anti-Aquaporin-4, clone mECD, Cat. No. MABN2471, is a highly specific mouse monoclonal antibody that targets Aquaporin-4 and has been tested for use in Flow Cytometry, Immunohistochemistry, Immunofluorescence, and Immunoprecipitation.
Flow Cytometry Analysis: A representative lot detected Aquaporin-4 in Flow Cytometry applications (Hinson, S.R., et. al. (2017). Proc Natl Acad Sci USA. 114(21):5491-5496).
Immunofluorescence Analysis: A representative lot detected Aquaporin-4 in Immunofluorescence applications (Hinson, S.R., et. al. (2017). Proc Natl Acad Sci USA. 114(21):5491-5496).
Immunoprecipitation Analysis: A representative lot immunoprecipitated Aquaporin-4 in Immunoprcipitation applications (Hinson, S.R., et. al. (2017). Proc Natl Acad Sci USA. 114(21):5491-5496).
Immunofluorescence Analysis: A representative lot detected Aquaporin-4 in Immunofluorescence applications (Hinson, S.R., et. al. (2017). Proc Natl Acad Sci USA. 114(21):5491-5496).
Immunoprecipitation Analysis: A representative lot immunoprecipitated Aquaporin-4 in Immunoprcipitation applications (Hinson, S.R., et. al. (2017). Proc Natl Acad Sci USA. 114(21):5491-5496).
Research Category
Neuroscience
Neuroscience
Biochem/physiol Actions
Clone mECD specifically detects Aquaporin-4 in human, mouse, and rat brain tissue sections. It targets an epitope with in the extracellular region.
Physical form
Protein G purified
Purified mouse monoclonal antibody IgG1 in PBS without preservatives.
Format: Purified
Preparation Note
Stable for 1 year at -20°C from date of receipt. Handling Recommendations: Upon receipt and prior to removing the cap, centrifuge the vial and gently mix the solution. Aliquot into microcentrifuge tubes and store at -20°C. Avoid repeated freeze/thaw cycles, which may damage IgG and affect product performance.
Analysis Note
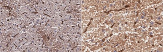
Evaluated by Immunohistochemistry in rat brain frozen tissue sections.
Immunohistochemistry Analysis: A 1:50 dilution of this antibody detected Aquaporin-4 in Rat brain frozen tissue sections.
Immunohistochemistry Analysis: A 1:50 dilution of this antibody detected Aquaporin-4 in Rat brain frozen tissue sections.
Other Notes
Concentration: Please refer to lot specific datasheet.
Disclaimer
Unless otherwise stated in our catalog or other company documentation accompanying the product(s), our products are intended for research use only and are not to be used for any other purpose, which includes but is not limited to, unauthorized commercial uses, in vitro diagnostic uses, ex vivo or in vivo therapeutic uses or any type of consumption or application to humans or animals.
Still not finding the right product?
Explore all of our products under Anti-Aquaporin-4 Antibody, clone mECD
— or —
Try our Product Selector Tool to narrow your options
Certificates of Analysis (COA)
Search for Certificates of Analysis (COA) by entering the products Lot/Batch Number. Lot and Batch Numbers can be found on a product’s label following the words ‘Lot’ or ‘Batch’.
Already Own This Product?
Find documentation for the products that you have recently purchased in the Document Library.
Global Trade Item Number
| SKU | GTIN |
|---|---|
| MABN2471-100UG | 04054839551222 |
| MABN2471-25UG | 04054839551154 |