Skip to Content
Merck
CN

MABN504

Anti-VDAC1 Antibody, clone N152B/23

clone N152B/23, from mouse

Synonym(s):

Voltage-dependent anion-selective channel protein 1, VDAC-1, hVDAC1, Outer mitochondrial membrane protein porin 1, Plasmalemmal porin, Porin 31HL, Porin 31HM

Sign In to View Organizational & Contract Pricing.

Select a Size

Change View

About This Item

UNSPSC Code:
12352203
NACRES:
NA.41
eCl@ss:
32160702
Conjugate:
unconjugated
Clone:
N152B/23, monoclonal
Application:
IHC, WB
Citations:
5
Technical Service
Need help? Our team of experienced scientists is here for you.
Let Us Assist


biological source

mouse

Quality Level

conjugate

unconjugated

antibody form

purified antibody

antibody product type

primary antibodies

clone

N152B/23, monoclonal

species reactivity

rat, mouse, human

packaging

antibody small pack of 25 μg

technique(s)

immunohistochemistry: suitable, western blot: suitable

isotype

IgG2aκ

NCBI accession no.

UniProt accession no.

shipped in

ambient

storage temp.

2-8°C

target post-translational modification

unmodified

Gene Information

human ... VDAC1(7416)

General description

Voltage-dependent anion-selective channel protein 1 (VDAC1, VDAC), also known as outer mitochondrial membrane protein porin 1, is the outer mitochondrial membrane receptor for hexokinase and BCL2L1. VDAC1 forms a channel through the mitochondrial membrane and is involved in small molecule diffusion, cell volume regulation and apoptosis. VDAC1 may participate in the formation of the permeability transition pore complex (PTPC), which is responsible for the release of mitochondrial products that triggers apoptosis.
~ 35 kDa observed

Immunogen

Recombinant protein corresponding to human VDAC1.

Application

Detect VDAC using this mouse monoclonal antibody, Anti-VDAC1 Antibody, clone N152B/23 validated for use in western blotting & IHC.
Research Category
Neuroscience
Research Sub Category
Developmental Signaling
Western Blotting Analysis: A representative lot states VDAC1 does not cross-react with VDAC2 or VDAC3 (based on KO validation results) representative lot deteted VDAC1 in wild type mouse liver tissue, and demonstrated a loss of signal in VDAC1 knock out mouse hippocampal tissue using immunobloting analysis (Prof. J. Trimmer, University of California, Davis).
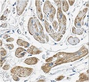
Immunohistochemistry Analysis: A 1:250 dilution from a representative lot detected VDAC1 in human cardiac myocytes tissue.

Biochem/physiol Actions

This antibody does not cross-react with VDAC2 or VDAC3 (Prof. J. Trimmer, University of California, Davis).

Physical form

Format: Purified
Protein G Purified
Purified mouse monoclonal IgG2aκ in buffer containing 0.1 M Tris-Glycine (pH 7.4), 150 mM NaCl with 0.05% sodium azide.

Preparation Note

Stable for 1 year at 2-8°C from date of receipt.

Analysis Note

Control
Mouse brain tissue lysate
Evaluated by Western Blotting in mouse brain tissue lysate.

Western Blotting Analysis: 0.5 µg/mL of this antibody detected VDAC1 in 10 µg of mouse brain tissue lysate.

Other Notes

Concentration: Please refer to the Certificate of Analysis for the lot-specific concentration.

Disclaimer

Unless otherwise stated in our catalog or other company documentation accompanying the product(s), our products are intended for research use only and are not to be used for any other purpose, which includes but is not limited to, unauthorized commercial uses, in vitro diagnostic uses, ex vivo or in vivo therapeutic uses or any type of consumption or application to humans or animals.


Still not finding the right product?

Try our Product Selector Tool to narrow your options


Storage Class

12 - Non Combustible Liquids

wgk

WGK 1

flash_point_f

Not applicable

flash_point_c

Not applicable



Certificates of Analysis (COA)

Search for Certificates of Analysis (COA) by entering the products Lot/Batch Number. Lot and Batch Numbers can be found on a product’s label following the words ‘Lot’ or ‘Batch’.

Already Own This Product?

Find documentation for the products that you have recently purchased in the Document Library.

Visit the Document Library



Arnaud Mourier et al.
The Journal of cell biology, 208(4), 429-442 (2015-02-18)
Mitochondria form a dynamic network within the cell as a result of balanced fusion and fission. Despite the established role of mitofusins (MFN1 and MFN2) in mitochondrial fusion, only MFN2 has been associated with metabolic and neurodegenerative diseases, which suggests
Hui San Chin et al.
Nature communications, 9(1), 4976-4976 (2018-11-28)
Intrinsic apoptosis is critical to prevent tumor formation and is engaged by many anti-cancer agents to eliminate tumor cells. BAX and BAK, the two essential mediators of apoptosis, are thought to be regulated through similar mechanisms and act redundantly to
Yongfei Yang et al.
Nature communications, 11(1), 433-433 (2020-01-25)
Ferroptosis is a newly defined form of regulated cell death characterized by the iron-dependent accumulation of lipid hydroperoxides. Erastin, the ferroptosis activator, binds to voltage-dependent anion channels VDAC2 and VDCA3, but treatment with erastin can result in the degradation of



Global Trade Item Number

SKUGTIN
MABN504-25UG04054839350436