Sign In to View Organizational & Contract Pricing.
Select a Size
Change View
About This Item
UNSPSC Code:
12352203
NACRES:
NA.41
eCl@ss:
32160702
Conjugate:
unconjugated
Clone:
4D2, monoclonal
Application:
ICC, IHC
Citations:
-
biological source
mouse
Quality Level
conjugate
unconjugated
antibody form
ascites fluid
antibody product type
primary antibodies
clone
4D2, monoclonal
species reactivity
human
technique(s)
immunocytochemistry: suitable, immunohistochemistry: suitable
isotype
IgG1
NCBI accession no.
UniProt accession no.
shipped in
wet ice
target post-translational modification
unmodified
Gene Information
mouse ... Pth1R(19228)
General description
Parathyroid hormone-related peptide receptor (PTH1R) or alternatively known as PTH/PTHr receptor is encoded by the human gene named PTH1R/PTHR/PTHR1. The protein is the receptor for parathyroid hormone and for parathyroid hormone related peptide. It is a multi-pass G-protein coupled receptor localized to the cell membrane. It is expressed in most tissues but particularly in the kidney, bone and liver. The activity of the receptor is mediated through adenyl cyclase, phospholipase C, and phosphatidylinositol-calcium secondary messenger pathways. Parathyroid hormone related peptide regulates calcium ion homeostasis and when PTH1R is activated by ligand binding osteoblasts express RANKL which binds RANK on osteoclasts, which activates them to increase the resorption of calcium. Defects in PTH1R cause various defects in cartilage, bone, and tooth development as well as tumors of bone and cartilage. EMD-Millipore’s Anti-PTH1R mouse monoclonal antibody has been tested in western blot on transfected recombinant protein and in paraffin embedded immunohistochemistry on human kidney tissue sections and fluorescent immunocytochemistry on SK-BR-3 cells in culture.
~66 kDa observed. Uncharacterized bands may appear in some lysate(s).
Immunogen
Purified recombinant fragment of human PTH1R expressed in E. coli.
Application
Anti-PTH1R Antibody, clone 4D2 is a highly specific mouse monoclonal antibody that targets PTHR1 and has been tested in Immunocytochemistry, Immunohistochemistry, and Western Blotting.
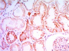
Immunohistochemistry Analysis: A 1:200-1,000 dilution from a representative lot detected PTH1R in human kidney tissue.
Immunocytochemistry Analysis: A 1:200-1,000 dilution from a representative lot detected PTH1R in SK-BR-3 cells.
Optimal working dilutions must be determined by end user.
Immunocytochemistry Analysis: A 1:200-1,000 dilution from a representative lot detected PTH1R in SK-BR-3 cells.
Optimal working dilutions must be determined by end user.
Research Category
Neuroscience
Neuroscience
Research Sub Category
Developmental Neuroscience
Developmental Neuroscience
Physical form
Mouse monoclonal IgG1 ascites fluid containing up to 0.1% sodium azide.
Unpurified
Preparation Note
Stable for 1 year at -20°C from date of receipt.
Handling Recommendations: Upon receipt and prior to removing the cap, centrifuge the vial and gently mix the solution. Aliquot into microcentrifuge tubes and store at -20°C. Avoid repeated freeze/thaw cycles, which may damage IgG and affect product performance.
Handling Recommendations: Upon receipt and prior to removing the cap, centrifuge the vial and gently mix the solution. Aliquot into microcentrifuge tubes and store at -20°C. Avoid repeated freeze/thaw cycles, which may damage IgG and affect product performance.
Analysis Note
Control
PTH1R-hIgGFc transfected HEK293 cell lysate
PTH1R-hIgGFc transfected HEK293 cell lysate
Evaluated by Western Blotting in PTH1R-hIgGFc transfected HEK293 cell lysate.
Western Blotting Analysis: A 1:500-2,000 dilution of this antibody detected PTH1R-hIgGFc transfected HEK293 cell lysate.
Western Blotting Analysis: A 1:500-2,000 dilution of this antibody detected PTH1R-hIgGFc transfected HEK293 cell lysate.
Disclaimer
Unless otherwise stated in our catalog or other company documentation accompanying the product(s), our products are intended for research use only and are not to be used for any other purpose, which includes but is not limited to, unauthorized commercial uses, in vitro diagnostic uses, ex vivo or in vivo therapeutic uses or any type of consumption or application to humans or animals.
Still not finding the right product?
Try our Product Selector Tool to narrow your options
Storage Class
12 - Non Combustible Liquids
wgk
nwg
flash_point_f
Not applicable
flash_point_c
Not applicable
Certificates of Analysis (COA)
Search for Certificates of Analysis (COA) by entering the products Lot/Batch Number. Lot and Batch Numbers can be found on a product’s label following the words ‘Lot’ or ‘Batch’.
Already Own This Product?
Find documentation for the products that you have recently purchased in the Document Library.
Global Trade Item Number
| SKU | GTIN |
|---|---|
| MABN688 | 04053252917516 |