Skip to Content
Merck
CN

MABS1251

Anti-CYP11B2 Antibody, clone 41-17B

clone 41-17B, from mouse

Synonym(s):

Cytochrome P450 11B2, mitochondrial, CYP11B2, Aldosterone synthase, ALDOS, Aldosterone-synthesizing enzyme, CYPXIB2, Cytochrome P-450Aldo, Cytochrome P-450C18, Steroid 18-hydroxylase

Sign In to View Organizational & Contract Pricing.

Select a Size

Change View

About This Item

UNSPSC Code:
12352203
NACRES:
NA.41
eCl@ss:
32160702
Conjugate:
unconjugated
Clone:
41-17B, monoclonal
Application:
IF, IHC, WB
Citations:
6
Technical Service
Need help? Our team of experienced scientists is here for you.
Let Us Assist


biological source

mouse

Quality Level

conjugate

unconjugated

antibody form

purified immunoglobulin

antibody product type

primary antibodies

clone

41-17B, monoclonal

species reactivity

human

species reactivity (predicted by homology)

mouse (based on 100% sequence homology)

technique(s)

immunofluorescence: suitable, immunohistochemistry: suitable, western blot: suitable

isotype

IgG1κ

NCBI accession no.

UniProt accession no.

shipped in

wet ice

target post-translational modification

unmodified

Gene Information

human ... CYP11B2(1585)

General description

Cytochrome P450 11B2, mitochondrial (EC1.14.15.4, EC1.14.15.5; UniProt P19099; also known as ALDOS, Aldosterone synthase, Aldosterone-synthesizing enzyme, CYPXIB2, Cytochrome P-450Aldo, Cytochrome P-450C18, Cytochrome P450 subfamily XIB polypeptide 2, Steroid 11-beta-monooxygenase, Steroid 11-beta/18-hydroxylase, Mitochondrial cytochrome P450 family 11 subfamily B polypeptide 2) is encoded by the CYP11B2 (Also known as CPN2, CYP11B, CYP11BL, P450C18) gene in human (Gene ID 1585). CYP11B2 protein is a member of the cytochrome P450 superfamily of monooxygenases that catalyze reactions involved in drug metabolism and synthesis of cholesterol, steroids and other lipids. CYP11B2 protein is localized to the mitochondrial inner membrane and exhibits steroid 18-hydroxylase activity and steroid 11 beta-hydroxylase activity. CYP11B2 gene mutations are known causes of corticosterone methyl oxidase 1 (CMO-1) deficiency, an autosomal recessive disorder of aldosterone biosynthesis.
~57 kDa observed

Immunogen

Chicken serum albumin-conjugated linear peptide corresponding to human CYP11B2 near the N-terminus.
Epitope: Near N-terminus

Application

Anti-CYP11B2 Antibody, clone 41-17B is an antibody against CYP11B2 for use in Western Blotting, Immunohistochemistry, Immunofluorescence.
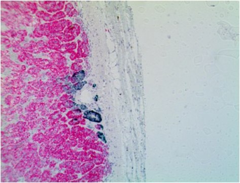
Immunohistochemistry Analysis: A representative lot detected CYP11B2 in normal adrenal glands (Gomez-Sanchez, C.E., et al. (2014). Mol. Cell Endocrinology. 383:111-117).
Immunofluorescence Analysis: A representative lot detected CYP11B2 in normal adrenal glands (Gomez-Sanchez, C.E., et al. (2014). Mol. Cell Endocrinology. 383:111-117).
Research Category
Signaling
Research Sub Category
Signaling Neuroscience

Physical form

Format: Purified
Protein G Purified
Purified mouse monoclonal IgG1κ antibody in buffer containing 0.1 M Tris-Glycine (pH 7.4), 150 mM NaCl with 0.05% sodium azide.

Preparation Note

Stable for 1 year at 2-8°C from date of receipt.

Analysis Note

Evaluated by Western Blotting in hCYP11B2-GFP-expressing HEK293 cell lysate.

Western Blotting Analysis: 2.0 µg/mL of this antibody detected CYP11B2 in 10 µg of hCYP11B2-GFP-expressing HEK293 cell lysate.

Other Notes

Concentration: Please refer to lot specific datasheet.

Disclaimer

Unless otherwise stated in our catalog or other company documentation accompanying the product(s), our products are intended for research use only and are not to be used for any other purpose, which includes but is not limited to, unauthorized commercial uses, in vitro diagnostic uses, ex vivo or in vivo therapeutic uses or any type of consumption or application to humans or animals.


Still not finding the right product?

Try our Product Selector Tool to narrow your options


Storage Class

12 - Non Combustible Liquids

wgk

WGK 1

flash_point_f

Not applicable

flash_point_c

Not applicable



Certificates of Analysis (COA)

Search for Certificates of Analysis (COA) by entering the products Lot/Batch Number. Lot and Batch Numbers can be found on a product’s label following the words ‘Lot’ or ‘Batch’.

Already Own This Product?

Find documentation for the products that you have recently purchased in the Document Library.

Visit the Document Library


Related Content

A major focus of breast cancer research is to understand the mechanisms responsible for disease progression and drug resistance. Toward that end, it has been found that approximately two thirds of all human breast carcinomas overexpress the Estrogen Receptor α (ERα) protein and it remains the primary pharmacological target for endocrine therapy1,2. The normal cellular function of ERα is as a transcription factor that mediates a wide variety of physiological processes, many of which are dependent upon phosphorylation of the receptor at specific amino acid residues3,4. Indeed, ERα is known to be phosphorylated at a multitude of different sites, yet how these all correlate to disease remains unclear5. Here, we interrogated multiple sites of ERα for phosphorylation status by screening an extensive panel of different breast cancer patient samples and other non-breast cancer tissue microarray (TMA) slide samples to determine their relevance to disease.


Kei Omata et al.
Hypertension (Dallas, Tex. : 1979), 72(4), 874-880 (2018-10-26)
Primary aldosteronism affects ≈5% to 10% of hypertensive patients and has unilateral and bilateral forms. Most unilateral primary aldosteronism is caused by computed tomography-detectable aldosterone-producing adenomas, which express CYP11B2 (aldosterone synthase) and frequently harbor somatic mutations in aldosterone-regulating genes. The
Kazutaka Nanba et al.
The Journal of clinical endocrinology and metabolism, 103(10), 3869-3876 (2018-08-08)
Somatic mutations have been identified in more than half of aldosterone-producing adenomas (APAs) through mutation hotspot sequencing. The underlying pathogenesis of inappropriate aldosterone synthesis in the remaining population is still unknown. To investigate the prevalence and spectrum of somatic mutations
null



Global Trade Item Number

SKUGTIN
MABS125104055977169874