Skip to Content
Merck
CN

MABS1721

Anti-Potassium Channel Kir3.4 Antibody, clone 8F4.1

clone 8F4.1, from mouse

Synonym(s):

G protein-activated inward rectifier potassium channel 4, Cardiac inward rectifier, CIR, Heart KATP channel, Inward rectifier K(+) channel Kir3.4, GIRK-4, IRK-4, KATP-1, Potassium channel, inwardly rectifying subfamily J member 5

Sign In to View Organizational & Contract Pricing.

Select a Size

Change View

About This Item

UNSPSC Code:
12352203
NACRES:
NA.41
eCl@ss:
32160702
Conjugate:
unconjugated
Clone:
8F4.1, monoclonal
Application:
IHC, WB
Citations:
-
Technical Service
Need help? Our team of experienced scientists is here for you.
Let Us Assist


biological source

mouse

Quality Level

conjugate

unconjugated

antibody form

purified immunoglobulin

antibody product type

primary antibodies

clone

8F4.1, monoclonal

species reactivity

human

technique(s)

immunohistochemistry: suitable (paraffin), western blot: suitable

isotype

IgG1κ

NCBI accession no.

UniProt accession no.

shipped in

ambient

target post-translational modification

unmodified

Gene Information

human ... KCNJ5(3762)

General description

~47 kDa observed. 47.67 kDa calculated. Uncharacterized bands may be observed in some lysate(s).
G protein-activated inward rectifier potassium channel 4 (UniProt P48544; also known as Cardiac inward rectifier, CIR, Heart KATP channel, Inward rectifier K(+) channel Kir3.4, GIRK-4, IRK-4, KATP-1, Potassium channel, inwardly rectifying subfamily J member 5) is encoded by the KCNJ5 (also known as GIRK4, LQT13) gene (Gene ID 3762) in human. Inward rectifier K+ channels (Kirs) modulate cell membrane potential and are classified as K+ transport channels (Kir1.x, Kir4.x, Kir5.x, Kir7.x), classic Kir (Kir2.x), G-protein-gated Kirs (Kir2.x and Kir3.x), and ATP-sensitive Kirs (Kir6.x). Kirs mediate diverse physiological functions of both excitable and nonexcitable epithelial cells, such as cell adhesion-migration, volume regulation, apoptosis, and proliferation. While a large fraction of Kir3.4 (GIRK4; KCNJ5) subunits is processed to the cell membrane to form homomultimers, Kir3.4 subunits also assemble into heteromeric channels with Kir3.1 (GIRK1; KCNJ3) subunits in atrial myocytes or Kir3.2 (GIRK2; KCNJ6) in the cerebellum. Upon agonist activation of appropriate GPCRs, heteroterameric Kir3.4 channels are opened via interaction with subunits of the pertussis toxin-sensitive class (Gi/o) G-proteins, resulting in membrane hyperpolarization and/or reduced excitability. Whereas homotetrameric Kir3.4 channels can be activated by high intracellular Na+ independent of G-protein. Human Kir3.4 is a 419-amino acid multi-pass membrane (a.a. 87-111, 136-147, 164-185) protein that contains two small extraceullar regions (a.a. 112-135 and 155-163) and a pore-forming domain (a.a. 148-154), having both its N- and C-terminal ends exposed intracellularly (a.a. 1-86 and a.a. 186-419).

Immunogen

GST-tagged human potassium channel Kir3.4 C-terminal end fragment.

Application

Detect K(+) channel Kir3.4 using this mouse monoclonal Anti-Potassium Channel Kir3.4, clone 8F4.1, Cat. No. MABS1721, validated for use in Immunohistochemistry (Paraffin) and Western Blotting.
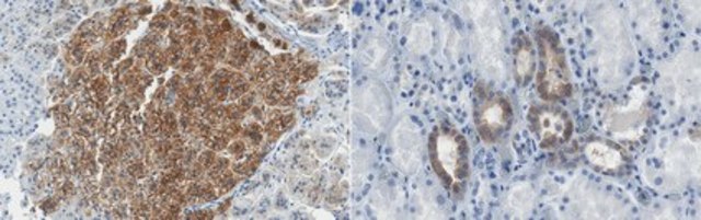
Immunohistochemistry Analysis: A 1:50 dilution from a representative lot detected potassium channel Kir3.4 in human adrenal gland and kidney tissue sections.
Research Category
Signaling

Biochem/physiol Actions

Clone 8F4.1 detects human potassium channel Kir3.4 by targeting an epitope within the C-terminal cytoplasmic domain.

Physical form

Format: Purified
Protein G purified
Purified mouse IgG1 in buffer containing 0.1 M Tris-Glycine (pH 7.4), 150 mM NaCl with 0.05% sodium azide.

Preparation Note

Stable for 1 year at 2-8°C from date of receipt.

Analysis Note

Evaluated by Western Blotting in human adrenal gland tissue lysate.

Western Blotting Analysis: 0.5 µg/mL of this antibody detected potassium channel Kir3.4 in 10 µg of human adrenal gland tissue lysate.

Other Notes

Concentration: Please refer to lot specific datasheet.

Disclaimer

Unless otherwise stated in our catalog or other company documentation accompanying the product(s), our products are intended for research use only and are not to be used for any other purpose, which includes but is not limited to, unauthorized commercial uses, in vitro diagnostic uses, ex vivo or in vivo therapeutic uses or any type of consumption or application to humans or animals.


Still not finding the right product?

Try our Product Selector Tool to narrow your options


Storage Class

12 - Non Combustible Liquids

wgk

WGK 1

flash_point_f

Not applicable

flash_point_c

Not applicable



Certificates of Analysis (COA)

Search for Certificates of Analysis (COA) by entering the products Lot/Batch Number. Lot and Batch Numbers can be found on a product’s label following the words ‘Lot’ or ‘Batch’.

Already Own This Product?

Find documentation for the products that you have recently purchased in the Document Library.

Visit the Document Library



Global Trade Item Number

SKUGTIN
MABS172104054839081330