Skip to Content
Merck
CN

MABT1502

Anti-Integrin beta 1 (CD29) Antibody

mouse monoclonal, 102DF5

Synonym(s):

Fibronectin receptor subunit beta, Glycoprotein IIa, GPIIA, VLA-4 subunit beta, CD29

Sign In to View Organizational & Contract Pricing.

Select a Size

Change View

About This Item

UNSPSC Code:
12352203
eCl@ss:
32160702
NACRES:
NA.41
Clone:
102DF5, monoclonal
Species reactivity:
human
Application:
ELISA, FACS, IF, IHC, IP, WB
Citations:
-
Technical Service
Need help? Our team of experienced scientists is here for you.
Let Us Assist


Product Name

Anti-Integrin beta-1 Antibody, clone 102DF5, clone 102DF5, from mouse

biological source

mouse

antibody form

purified antibody

antibody product type

primary antibodies

clone

102DF5, monoclonal

species reactivity

human

packaging

antibody small pack of 25 μg

technique(s)

ELISA: suitable, flow cytometry: suitable, immunofluorescence: suitable, immunohistochemistry: suitable (paraffin), immunoprecipitation (IP): suitable, western blot: suitable

isotype

IgG1κ

NCBI accession no.

UniProt accession no.

target post-translational modification

unmodified

Gene Information

human ... ITGB1(3688)

General description

Integrin beta-1 (UniProt: P05556; also known as Fibronectin receptor subunit beta, Glycoprotein IIa, GPIIA, VLA-4 subunit beta, CD29) is encoded by the ITGB1 (also known as FNRB, MDF2, MSK12) gene (Gene ID: 3688) in human. Integrins are heterodimeric integral membrane proteins composed of an alpha subunit and a beta subunit that function in cell surface adhesion and signaling. Integrin beta-1 is a single-pass type I membrane protein that can associate with one of the multiple alpha subunits to serve as a receptor for fibronectin and other extracellular matrix proteins. Integrin beta-1 integrin recognizes the sequence R-G-D in a wide array of ligands. Five isoforms of integrin beta-1 have been reported that are produced by alternative splicing. Integrin beta-1 is synthesized with a signal peptide (aa 1-20) that is subsequently cleaved off. The mature form has an extracellular domain (aa 21-728), a helical domain (aa 729-751) and a cytoplasmic region (aa 752-798). Isoform 1 of integrin beta-1 is widely expressed and other isoforms are generally co-expressed with a more restricted distribution. Isoform 2 is expressed in skin, liver, skeletal muscle, cardiac muscle, placenta, umbilical vein endothelial cells, neuroblastoma cells, lymphoma cells, hepatoma cells and astrocytoma cells. Isoform 3 and isoform 4 are expressed in muscle, kidney, liver, placenta, cervical epithelium, umbilical vein endothelial cells, fibroblast cells, embryonal kidney cells, platelets and several blood cell lines. Isoform 4 is selectively expressed in peripheral T-cells and isoform 5 is expressed specifically in striated muscle (skeletal and cardiac muscle). Isoform 2 is reported to interfere with isoform 1 resulting in a dominant negative effect on cell adhesion and migration (in vitro).
~150 kDa observed; 88.42 kDa calculated. Uncharacterized bands may be observed in some lysate(s).

Immunogen

Tissue extract from human myometrium.

Application

Anti-Integrin beta-1, clone 102DF5, Cat. No. MABT1502, is a mouse monoclonal antibody that detects Integrin beta-1 and has been tested for use in ELISA, Flow Cytometry, Immunofluorescence, Immunohistochemistry (Paraffin), Immunoprecipitation, and Western Blotting.
Flow Cytometry Analysis: A representative lot detected Integrin beta-1 in Flow Cytometry applications (Belkin, A.M., et. al. (1997). J Cell Biol. 139(6):1583-95).

Immunofluorescence Analysis: A representative lot detected Integrin beta-1 in Immunofluorescence applications (Cartier-Michaud, A., et. al. (2012). PLoS One. 7(2):e32204; Balzac, F., et. al. (1993). J Cell Biol. 121(1):171-8; Lin, Y.N., et. al. (2015). Oncotarget. 6(21):18577-89).

Western Blotting Analysis: A representative lot detected Integrin beta-1 in Western Blotting applications (Balzac, F., et. al. (1993). J Cell Biol. 121(1):171-8).

ELISA Analysis: A representative lot detected Integrin beta-1 in ELISA applications (Jovanovic, M., et. al. (2010). Act Histochem. 112(1):34-41).

Immunoprecipitation Analysis: A representative lot immunoprecipitated Integrin beta-1 in Immunoprecipitation applications (Balzac, F., et. al. (1993). J Cell Biol. 121(1):171-8).
Research Category
Cell Structure

Biochem/physiol Actions

Clone 102DF5 specifically detects integrin beta-1 subunit in human cells.

Physical form

Format: Purified
Protein G purified
Purified mouse monoclonal antibody IgG1 in buffer containing 0.1 M Tris-Glycine (pH 7.4), 150 mM NaCl with 0.05% sodium azide.

Preparation Note

Stable for 1 year at 2-8°C from date of receipt.

Analysis Note

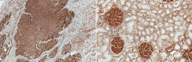
Evaluated by Immunohistochemistry (Paraffin) in human uterus and human kidney tissue sections.

Immunohistochemistry (Paraffin) Analysis: A 1:250 dilution of this antibody detected Integrin beta-1 in human uterus and human kidney tissue sections.

Other Notes

Concentration: Please refer to lot specific datasheet.

Disclaimer

Unless otherwise stated in our catalog or other company documentation accompanying the product(s), our products are intended for research use only and are not to be used for any other purpose, which includes but is not limited to, unauthorized commercial uses, in vitro diagnostic uses, ex vivo or in vivo therapeutic uses or any type of consumption or application to humans or animals.


Still not finding the right product?

or

Try our Product Selector Tool to narrow your options


Storage Class

12 - Non Combustible Liquids

wgk

WGK 1

flash_point_f

Not applicable

flash_point_c

Not applicable



Certificates of Analysis (COA)

Search for Certificates of Analysis (COA) by entering the products Lot/Batch Number. Lot and Batch Numbers can be found on a product’s label following the words ‘Lot’ or ‘Batch’.

Already Own This Product?

Find documentation for the products that you have recently purchased in the Document Library.

Visit the Document Library



Global Trade Item Number

SKUGTIN
MABT1502-25UG04054839507212