Sign In to View Organizational & Contract Pricing.
Select a Size
Change View
About This Item
UNSPSC Code:
12352203
NACRES:
NA.41
eCl@ss:
32160702
Conjugate:
unconjugated
Clone:
8.1.1, monoclonal
Application:
FACS, ICC, IHC, IP, WB
Citations:
-
biological source
hamster (Syrian)
conjugate
unconjugated
antibody form
purified immunoglobulin
antibody product type
primary antibodies
clone
8.1.1, monoclonal
species reactivity
mouse
packaging
antibody small pack of 25 μg
technique(s)
flow cytometry: suitable, immunocytochemistry: suitable, immunohistochemistry: suitable (paraffin), immunoprecipitation (IP): suitable, western blot: suitable
NCBI accession no.
UniProt accession no.
target post-translational modification
unmodified
Gene Information
mouse ... Pdpn(14726)
General description
18.23 kDa calculated.
Podoplanin (UniProt: Q62011; also known as Glycoprotein 38, Gp38, OTS-8, PA2.26 antigen, T1-alpha, T1A, Transmembrane glycoprotein E11) I encoded by the Pdpn (also known as Gp38) gene (Gene ID: 14726) in murine species. Podoplanin serves as the endogenous ligand of C-type lectin-like receptor-2 (CLEC-2) and is highly expressed in various tumors and in some normal cells, such as lymphatic endothelial cells and podocytes. Podoplanin is detected at high levels in lung and brain, at lower levels in kidney, stomach, liver, spleen and esophagus, and not detected in skin and small intestine. It is expressed in epithelial cells of choroid plexus, ependyma, glomerulus and alveolus, in mesothelial cells and in endothelia of lymphatic vessels. It is also expressed in stromal cells of peripheral lymphoid tissue and thymic epithelial cells and is detected in carcinoma cell lines and cultured fibroblasts. High expression of Podoplanin is observed in colon carcinomas. It may be involved in cell migration and/or actin cytoskeleton organization. Podoplanin is localized to actin-rich microvilli and plasma membrane projections, such as filopodia, lamellipodia, and ruffles. Extensively O-glycosylated. Contains sialic acid residues. O-glycosylation is necessary for platelet aggregation activity. Podoplanin levels are down-regulated by treatment with puromycin aminonucleoside. Mice lacking or with defective podoplanin die at birth of respiratory failure due to a low number of attenuated type I cells, narrow and irregular air spaces, and defective formation of alveolar saccules. Administration of PMab-1 antibody is shown to reduce lymphangiogenesis in the corneal suture and ear wound healing murine models. It suppresses thioglycollate-induced macrophages infiltration at the site of wound healing. (Ref.: Maruyama, Y et al (2014). Invest.Ophthal. Visual Sci. 55(8); 4813-4822).
Immunogen
Epitope: extracellular domain
Murine thymic stromal cell line TE-7.
Application
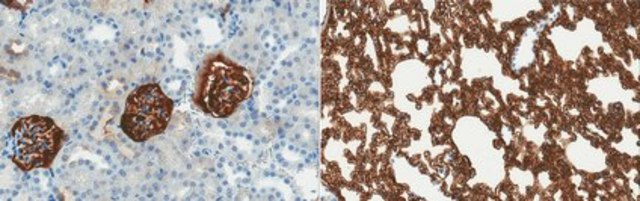
Immunohistochemistry (Paraffin) Analysis: A 1:1,000 dilution from a representative lot detected Podoplanin in mouse lung tissue sections.
Flow Cytometry Analysis: A representative lot detected Podoplanin in Flow Cytometry applications (Farr, A., et. al. (1992). J Histochem Cytochem. 40(5):651-64).
Immunohistochemistry Analysis: A representative lot detected Podoplanin in Immunohistochemistry applications (Farr, A., et. al. (1992). J Histochem Cytochem. 40(5):651-64).
Immunocytochemistry Analysis: A representative lot detected Podoplanin in Immunocytochemstry applications (Kamo, N., et. al. (2006). Am J Physiol Gastrointest Liver Physiol. 292(2):G526-34; Cohen, J.N., et. al. (2010). J Exp Med. 207(4):681-8; Ishii, T., et. al. (2010). Cell Tissue Res. 339(3):505-12).
Western Blotting Analysis: A representative lot detected Podoplanin in Western Blotting applications (Farr, A., et. al. (1992). J Histochem Cytochem. 40(5):651-64).
Immunoprecipitation Analysis: A representative lot immunoprecipitated Podoplanin in Immunoprecipitation applications (Farr, A., et. al. (1992). J Histochem Cytochem. 40(5):651-64).
Flow Cytometry Analysis: A representative lot detected Podoplanin in Flow Cytometry applications (Farr, A., et. al. (1992). J Histochem Cytochem. 40(5):651-64).
Immunohistochemistry Analysis: A representative lot detected Podoplanin in Immunohistochemistry applications (Farr, A., et. al. (1992). J Histochem Cytochem. 40(5):651-64).
Immunocytochemistry Analysis: A representative lot detected Podoplanin in Immunocytochemstry applications (Kamo, N., et. al. (2006). Am J Physiol Gastrointest Liver Physiol. 292(2):G526-34; Cohen, J.N., et. al. (2010). J Exp Med. 207(4):681-8; Ishii, T., et. al. (2010). Cell Tissue Res. 339(3):505-12).
Western Blotting Analysis: A representative lot detected Podoplanin in Western Blotting applications (Farr, A., et. al. (1992). J Histochem Cytochem. 40(5):651-64).
Immunoprecipitation Analysis: A representative lot immunoprecipitated Podoplanin in Immunoprecipitation applications (Farr, A., et. al. (1992). J Histochem Cytochem. 40(5):651-64).
Research Category
Cell Structure
Cell Structure
This syrian hamster monoclonal Anti-Podoplanin, clone 8.1.1, Cat. No. MABT1512, is a syrian hamster monoclonal antibody that detects murine Podoplanin and has been tested for use in Flow Cytometry, Immunocytochemistry, Immunohistochemistry (Paraffin), Immunoprecipitation, and Western Blotting.
Biochem/physiol Actions
Clone 8.1.1
Physical form
Protein G purified
Format: Purified
Purified syrian hamster monoclonal antibody IgG2-IgG3 in buffer containing 0.1 M Tris-Glycine (pH 7.4), 150 mM NaCl with 0.05% sodium azide.
Preparation Note
Stable for 1 year at 2-8°C from date of receipt.
Analysis Note
Evaluated by Immunohistochemistry (Paraffin) in mouse lung tissue sections.
Immunohistochemistry (Paraffin) Analysis: A 1:1,000 dilution of this antibody detected Podoplanin in mouse lung tissue sections.
Immunohistochemistry (Paraffin) Analysis: A 1:1,000 dilution of this antibody detected Podoplanin in mouse lung tissue sections.
Other Notes
Concentration: Please refer to lot specific datasheet.
Disclaimer
Unless otherwise stated in our catalog or other company documentation accompanying the product(s), our products are intended for research use only and are not to be used for any other purpose, which includes but is not limited to, unauthorized commercial uses, in vitro diagnostic uses, ex vivo or in vivo therapeutic uses or any type of consumption or application to humans or animals.
Still not finding the right product?
Try our Product Selector Tool to narrow your options
Certificates of Analysis (COA)
Search for Certificates of Analysis (COA) by entering the products Lot/Batch Number. Lot and Batch Numbers can be found on a product’s label following the words ‘Lot’ or ‘Batch’.
Already Own This Product?
Find documentation for the products that you have recently purchased in the Document Library.
Global Trade Item Number
| SKU | GTIN |
|---|---|
| MABT1512-100UG | 04054839532016 |
| MABT1512-25UG | 04054839532023 |