Skip to Content
Merck
CN

MABT528

Anti-Connexin 43 Antibody

mouse monoclonal, 1C5.1

Synonym(s):

Gap junction alpha-1 protein, Connexin-43, Cx43, Gap junction 43 kDa heart protein

Sign In to View Organizational & Contract Pricing.

Select a Size

Change View

About This Item

UNSPSC Code:
12352203
eCl@ss:
32160702
NACRES:
NA.46
Clone:
1C5.1, monoclonal
Species reactivity:
rat, human
Application:
IHC, WB
Citations:
1
Technical Service
Need help? Our team of experienced scientists is here for you.
Let Us Assist


Product Name

Anti-Connexin 43 Antibody, CT Antibody, clone 1C5.1, clone 1C5.1, from mouse

biological source

mouse

Quality Level

antibody form

purified immunoglobulin

antibody product type

primary antibodies

clone

1C5.1, monoclonal

species reactivity

rat, human

technique(s)

immunohistochemistry: suitable (paraffin), western blot: suitable

isotype

IgG1κ

NCBI accession no.

UniProt accession no.

shipped in

ambient

target post-translational modification

unmodified

Gene Information

human ... GJA1(2697)

General description

Gap junction alpha-1 protein (UniProt P17302; also known as Connexin-43, Cx43, Gap junction 43 kDa heart protein) is encoded by the GJA1 (also known as AVSD3, CMDR, GJAL, HSS, ODDD) gene (Gene ID 2697) in human. A gap junction consists of a cluster of closely packed pairs of transmembrane channels, the connexins, through which materials of low molecular weight diffuse from one cell to a neighboring cell. Connexin-43 is a polytopic integral membrane protein oligomerizes into a hexamer or connexon. It is he most ubiquitously expressed connexin and contains a long C-terminal tail, an N-terminal domain, and multiple transmembrane domains. The C-terminal tail domain of human connexin-43 contains 50 amino acids and includes post-translational modification sites, as well as binding sites for transcription factors, cytoskeleton elements, and other proteins. The C-terminal tail regulates pH gating and channel assembly, whereas the N-terminal domain is involved in channel gating and oligomerization and controls the switch between channel open and closed states. Mutations in connexin-43 result in multiple disorders, such as oculodentodigital dysplasia that is characterized by microcornea, microphthalmia, and syndactyly of the fourth and fifth fingers. Connexin-43 is shown to negatively regulate growth of colon cancer cells, in part by enhancing apoptosis. Loss of connexin-43 expression in colorectal cancers is correlated with significantly shorter relapse-free and overall survival.

Ref.:
Sirnes, S et al. (2012). Int. J. Cancer 131, 570-581.
Naus, CC et al. (2010). Nat. Rev. Cancer. 10, 435-441.
~43 kDa observed. 42.88/42.90 kDa (human/rat) calculated (Met1 removed). Uncharacterized bands may be observed in some lysate(s).

Immunogen

GST-tagged recombinant human connexin 43 C-terminal cytoplasmic tail fragment.

Application

Anti-Connexin 43, CT, clone 1C5.1, Cat. No. MABT528 is a mouse monoclonal antibody validated for use in Immunohistochemistry (Paraffin) and Western Blotting for the detection of connexin 43.
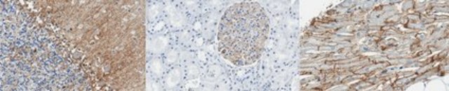
Immunohistochemistry Analysis: A 1:250-1,000 dilution from a representative lot detected cconnexin 43 in human cerebellum, heart muscle, and kidney tissue sections.

Biochem/physiol Actions

Clone 1C5.1 targets an epitope within the second half of the C-terminal cytoplasmic tail.

Physical form

Format: Purified

Analysis Note

Evaluated by Western Blotting in HUVEC lysate.

Western Blotting Analysis: 10 ng/mL of this antibody detected connexin 43 in 10 µg of HUVEC lysate.

Other Notes

Concentration: Please refer to lot specific datasheet.
Replaces: MAB3068


Still not finding the right product?

or

Try our Product Selector Tool to narrow your options


Storage Class

12 - Non Combustible Liquids

wgk

WGK 1

flash_point_f

Not applicable

flash_point_c

Not applicable



Certificates of Analysis (COA)

Search for Certificates of Analysis (COA) by entering the products Lot/Batch Number. Lot and Batch Numbers can be found on a product’s label following the words ‘Lot’ or ‘Batch’.

Already Own This Product?

Find documentation for the products that you have recently purchased in the Document Library.

Visit the Document Library



Aleksandra V Durkina et al.
Journal of pineal research, 73(1), e12798-e12798 (2022-04-07)
Melatonin treatment was reported to reduce the risk of cardiac arrhythmias, and crucial for this antiarrhythmic action was the effect of melatonin on activation spread. The aim of the present study was evaluation of the mechanisms of this activation enhancement. Experiments



Global Trade Item Number

SKUGTIN
MABT52804054839114465