Skip to Content
Merck
CN

MABT531

Anti-MMP-9 Antibody, clone 3D6.3

clone 3D6.3, from mouse

Synonym(s):

Matrix metalloproteinase-9, 92 kDa gelatinase, 92 kDa type IV collagenase, Gelatinase B, GELB

Sign In to View Organizational & Contract Pricing.

Select a Size

Change View

About This Item

UNSPSC Code:
12352203
NACRES:
NA.41
eCl@ss:
32160702
Conjugate:
unconjugated
Clone:
3D6.3, monoclonal
Application:
IHC, WB
Citations:
-
Technical Service
Need help? Our team of experienced scientists is here for you.
Let Us Assist


biological source

mouse

Quality Level

conjugate

unconjugated

antibody form

purified antibody

antibody product type

primary antibodies

clone

3D6.3, monoclonal

species reactivity

human

technique(s)

immunohistochemistry: suitable (paraffin), western blot: suitable

isotype

IgG1κ

NCBI accession no.

UniProt accession no.

shipped in

ambient

target post-translational modification

unmodified

Gene Information

human ... MMP9(4318)

General description

Matrix metalloproteinase-9 (UniProt: P14780; also known as MMP-9, 92 kDa gelatinase, 92 kDa type IV collagenase, Gelatinase B, GELB) is encoded by the MMP9 (also known as CLG4B) gene (Gene ID: 4318) in human. MMP-9 is synthesized as inactive proenzyme with a 19 amino acids signal peptide and a 73 amino acids propeptide that are cleaved to generate the active enzyme. MMP-9 is produced by normal alveolar macrophages and granulocytes. It is zinc-binding enzyme that binds two zinc ions per subunit. It can be present as a monomer or a disulfide-linked homodimer. Macrophages and transformed cells usually produce only the monomeric form. MMP-9 contains a conserved cysteine that is present in the cysteine-switch motif and binds the catalytic zinc ion, thus inhibiting the enzyme. The dissociation of the cysteine from the zinc ion upon the activation-peptide release activates the enzyme. MMP-9 plays an essential role in local proteolysis of the extracellular matrix, in leukocyte migration, and bone osteoclastic resorption. It cleaves type IV and type V collagen into large C-terminal three quarter fragments and shorter N-terminal one quarter fragments. MMP-9 expression is regulated by several cytokines and growth factors that induce the expression and/or activation of c-Fos and c-Jun proto-oncogene products, which heterodimerize and bind activator protein-1 (AP-1) sites within of MMP-9 gene promoters. In coordination with other matrix metalloproteinases, it plays a role in normal tissue remodeling events, including neurite growth, embryonic development, angiogenesis, ovulation, mammary gland involution and wound healing. Abnormalities in MMP-9 are associated with a variety of autoimmune diseases, including systemic lupus erythematosus, Sjogren′s syndrome, systemic sclerosis, rheumatoid arthritis, multiple sclerosis, polymyositis and atherosclerosis. Mutations in MMP9 gene are known to cause intervertebral disc disease (IDD) and metaphyseal anadysplasia that are characterized by various skeletal abnormalities.
~92 kDa observed; 78.46 kDa calculated. Uncharacterized bands may be observed in some lysate(s).

Immunogen

GST/His-tagged recombinant fragment corresponding to 110 amino acids from the C-terminal of human MMP-9.

Application

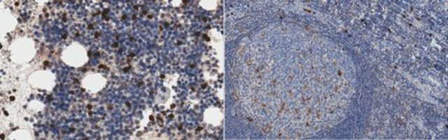
Immunohistochemistry Analysis: A 1:1,000 dilution from a representative lot detected MMP-9 in human bone marrow and human tonsil tissues.
Research Category
Cell Structure
This mouse monoclonal Anti-MMP-9 Antibody, clone 3D6.3, Cat. No. MABT531 is tested in Immunohistochemistry (Paraffin) and Western Blotting for the detection of MMP-9.

Biochem/physiol Actions

Clone 3D6.3 detects MMP-9 in human spleen. This clone targets a sequence with in 110 amino acids from the C-terminal end.

Physical form

Format: Purified
Protein G purified
Purified mouse monoclonal antibody IgG1 in buffer containing 0.1 M Tris-Glycine (pH 7.4), 150 mM NaCl with 0.05% sodium azide.

Preparation Note

Stable for 1 year at 2-8°C from date of receipt.

Analysis Note

Evaluated by Western Blotting in human spleen tissue lysate.

Western Blotting Analysis: 0.5 µg/mL of this antibody detected MMP-9 in 10 µg of human spleen tissue lysate.

Other Notes

Concentration: Please refer to lot specific datasheet.
Replaces: MAB3309

Disclaimer

Unless otherwise stated in our catalog or other company documentation accompanying the product(s), our products are intended for research use only and are not to be used for any other purpose, which includes but is not limited to, unauthorized commercial uses, in vitro diagnostic uses, ex vivo or in vivo therapeutic uses or any type of consumption or application to humans or animals.


Still not finding the right product?

Try our Product Selector Tool to narrow your options


Storage Class

12 - Non Combustible Liquids

wgk

WGK 1

flash_point_f

Not applicable

flash_point_c

Not applicable



Certificates of Analysis (COA)

Search for Certificates of Analysis (COA) by entering the products Lot/Batch Number. Lot and Batch Numbers can be found on a product’s label following the words ‘Lot’ or ‘Batch’.

Already Own This Product?

Find documentation for the products that you have recently purchased in the Document Library.

Visit the Document Library



Global Trade Item Number

SKUGTIN
MABT53104054839168260