Skip to Content
Merck
CN

MABT853M

Anti-Podoplanin Antibody, clone LpMab-19

clone LpMab-19, from mouse

Synonym(s):

Aggrus, Glycoprotein 36, Gp36, PA2.26 antigen, T1-alpha, T1A

Sign In to View Organizational & Contract Pricing.

Select a Size

Change View

About This Item

UNSPSC Code:
12352203
NACRES:
NA.41
eCl@ss:
32160702
Conjugate:
unconjugated
Clone:
LpMab-19, monoclonal
Application:
ELISA, FACS, IHC
Citations:
-
Technical Service
Need help? Our team of experienced scientists is here for you.
Let Us Assist


biological source

mouse

Quality Level

conjugate

unconjugated

antibody form

purified immunoglobulin

antibody product type

primary antibodies

clone

LpMab-19, monoclonal

species reactivity

human

packaging

antibody small pack of 25 μg

technique(s)

ELISA: suitable, flow cytometry: suitable, immunohistochemistry: suitable (paraffin)

isotype

IgG2bκ

NCBI accession no.

UniProt accession no.

target post-translational modification

unmodified

Gene Information

human ... PDPN(10630)

General description

16.70 kDa calculated.
Podoplanin (UniProt: Q86YL7; also known as Aggrus, Glycoprotein 36, Gp36, PA2.26 antigen, T1-alpha, T1A) is encoded by the PDPN (also known as GP36) gene (Gene ID: 10630) in human. Podoplanin serves as the endogenous ligand of C-type lectin-like receptor-2 (CLEC-2) and is highly expressed in various tumors and in some normal cells, such as lymphatic endothelial cells and podocytes. A high degree of expression is observed in placenta, lung, skeletal muscle, and brain. It may be involved in cell migration and/or actin cytoskeleton organization. Podoplanin is localized to actin-rich microvilli and plasma membrane projections, such as filopodia, lamellipodia, and ruffles. Six isoforms of podoplanin have been described that are produced by alternative splicing. It is synthesized with a signal peptide of 22 amino acids, which is cleaved to produce the mature form. Podoplanin contains an extracellular domain (aa 23-131), a helical domain (aa 132-152) and a cytoplasmic region (aa 153-162). Podoplanin possesses three tandem repeat of platelet aggregation-stimulating (PLAG) domains in its N-terminus. Among the PLAG domains, sialylated O-glycan on Thr52 of PLAG3 is essential for the binding to C-type lectin-like receptor-2 (CLEC-2). Interaction of human podoplanin with CLEC-2 mainly involves Glu47 and Asp48 in the platelet PLAG3. Clone LpMab-19 recognizes Sialylated O-Glycan on Thr76 of human Podoplanin. Its reactivity with Podoplanin is lost following T76A mutation. LpMab-19 recognizes endogenous hPDPN that is expressed in LN319 glioblastoma cell line, but fails to react with LN319 cells with hPDPN knock out. The minimum epitope of LpMab-19 is identified to be Thr76-Arg79 hPDPN. (Ref.: Ogasawara, S., et al. (2016). Monoclon. Antib. immunodiag. Immunother. 35(5); 245-253).

Immunogen

LN229 glioma cells expressiing human Podoplanin.

Application

Anti-Podoplanin, clone LpMab-19, Cat. No. MABT853, is a mouse monoclonal antibody that detects human Podoplanin and has been tested for use in ELISA, Flow Cytometry, and Immunohistochemistry (Paraffin).
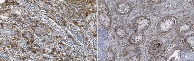
Immunohistochemistry Analysis: A 1:50 dilution from a representative lot detected Podoplanin in human colon cancer tissue.

ELISA Analysis: A representative lot detected Podoplanin in ELISA applications (Ogasawara, S., et. al. (2016). Monoclon Antib Immunodiagn Immunother. 35(5); 245-253.

Immunohistochemistry Analysis: A representative lot detected Podoplanin in Immunohistochemistry applications (Ogasawara, S., et. al. (2016). Monoclon Antib Immunodiagn Immunother. 35(5); 245-253.

Flow Cytometry Analysis: A representative lot detected Podoplanin in Flow Cytometry applications (Ogasawara, S., et. al. (2016). Monoclon Antib Immunodiagn Immunother. 35(5); 245-253.
Research Category
Cell Structure

Biochem/physiol Actions

Clone LpMab-19 detects Podoplanin in human cells. It recognizes sialylated O-Glycan on Thr76. The minimal epitope of LpMab-19 is identified as Thr76-Arg79.

Physical form

Format: Purified
Protein G purified
Purified mouse monoclonal antibody IgG2b in buffer containing 0.1 M Tris-Glycine (pH 7.4), 150 mM NaCl with 0.05% sodium azide.

Preparation Note

Stable for 1 year at 2-8°C from date of receipt.

Analysis Note

Evaluated by Immunohistochemistry in human testis cancer tissue.

Immunohistochemistry Analysis: A 1:250 dilution of this antibody detected Podoplanin in human testis cancer tissue.

Other Notes

Concentration: Please refer to lot specific datasheet.

Disclaimer

Unless otherwise stated in our catalog or other company documentation accompanying the product(s), our products are intended for research use only and are not to be used for any other purpose, which includes but is not limited to, unauthorized commercial uses, in vitro diagnostic uses, ex vivo or in vivo therapeutic uses or any type of consumption or application to humans or animals.


Still not finding the right product?

Try our Product Selector Tool to narrow your options


Storage Class

12 - Non Combustible Liquids

wgk

WGK 1

flash_point_f

Not applicable

flash_point_c

Not applicable



Certificates of Analysis (COA)

Search for Certificates of Analysis (COA) by entering the products Lot/Batch Number. Lot and Batch Numbers can be found on a product’s label following the words ‘Lot’ or ‘Batch’.

Already Own This Product?

Find documentation for the products that you have recently purchased in the Document Library.

Visit the Document Library



Global Trade Item Number

SKUGTIN
MABT85304054839357923
MABT853-25UG04054839553608