Sign In to View Organizational & Contract Pricing.
Select a Size
Change View
About This Item
NACRES:
NA.41
UNSPSC Code:
12352203
Clone:
DO-7, monoclonal
Species reactivity:
bovine, monkey, human
Application:
—
Citations:
3
biological source
mouse
Quality Level
antibody form
purified antibody
antibody product type
primary antibodies
clone
DO-7, monoclonal
form
liquid
does not contain
preservative
species reactivity
bovine, monkey, human
manufacturer/tradename
Calbiochem®
storage condition
OK to freeze, avoid repeated freeze/thaw cycles
dilution
(Frozen Sections (1-2 µg/mL)
Immunoblotting (1-2 µg/mL)
Immunofluorescence (0.5 µg/mL)
Immunoprecipitation (2 µg/mg lysate)
Paraffin Sections (1-2 µg/mL))
isotype
IgG2b
shipped in
wet ice
storage temp.
−20°C
target post-translational modification
unmodified
Gene Information
human ... TP53(7157)
General description
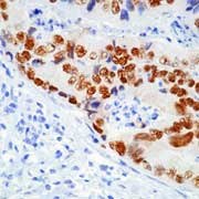
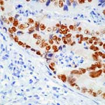
Purified mouse monoclonal antibody generated by immunizing BALB/c mice with the specified immunogen. Recognizes the ~53 kDa wild-type and mutant forms of p53.
Recognizes the ~53 kDa wild-type p53 and mutant p53 protein in SKBR-3 and MDA-231 cells and in colon carcinoma tissue.
This Anti-p53 (Ab-12) (Pantropic) Mouse mAb (DO-7) is validated for use in Frozen Sections, Immunoblotting, IF, IP, Paraffin Sections for the detection of p53 (Ab-12) (Pantropic).
Immunogen
Epitope: within amino acids 37-45 of p53
recombinant, human p53 expressed in E. coli
Application


Frozen Sections (1-2 g/ml)
Immunoblotting (1-2 g/ml)
Immunofluorescence (0.5 g/ml)
Immunoprecipitation (2 g/mg lysate)
Paraffin Sections (1-2 g/ml)
Packaging
Please refer to vial label for lot-specific concentration.
Analysis Note
Positive Control
SKBR-3 or MDA-231 cells or colon carcinoma tissue
SKBR-3 or MDA-231 cells or colon carcinoma tissue
Other Notes
Exhibits nuclear staining in tumor cells. Antibody should be titrated for optimal results in individual systems.
Greenblatt, M.S., et al. 1994. Cancer Res.54, 4855.
Lane, D.P. 1992. Nature358, 15.
Lane, D.P. 1992. Nature358, 15.
Legal Information
CALBIOCHEM is a registered trademark of Merck KGaA, Darmstadt, Germany
Disclaimer
Toxicity: Standard Handling (A)
Still not finding the right product?
Try our Product Selector Tool to narrow your options
Storage Class
11 - Combustible Solids
wgk
WGK 1
flash_point_f
Not applicable
flash_point_c
Not applicable
Certificates of Analysis (COA)
Search for Certificates of Analysis (COA) by entering the products Lot/Batch Number. Lot and Batch Numbers can be found on a product’s label following the words ‘Lot’ or ‘Batch’.
Already Own This Product?
Find documentation for the products that you have recently purchased in the Document Library.
Related Content
Jinichi Mori et al.
Cancer science, 107(3), 298-306 (2016-01-13)
In response to various cellular stresses, p53 is activated and inhibits malignant transformation through the transcriptional regulation of its target genes. However, the full picture of the p53 downstream pathway still remains to be elucidated. Here we identified cystatin C
Yuki Funauchi et al.
Scientific reports, 5, 16497-16497 (2015-11-13)
Accumulation of iron in tissues increases the risk of cancer, but iron regulatory mechanisms in cancer tissues are largely unknown. Here, we report that p53 regulates iron metabolism through the transcriptional regulation of ISCU (iron-sulfur cluster assembly enzyme), which encodes
Matthew T Balmer et al.
Cancer biology & therapy, 15(8), 1000-1012 (2014-05-08)
The chemotherapeutic agents doxorubicin (dox) or 5-fluorouracil (5FU) are used to treat cancer cells as they cause irreparable DNA damage, inducing these aberrant cells to undergo cell death. The mediator of this process is presumed to be in part the
Global Trade Item Number
| SKU | GTIN |
|---|---|
| OP140-100UG | 07790788053871 |