Sign In to View Organizational & Contract Pricing.
Select a Size
Change View
About This Item
NACRES:
NA.41
UNSPSC Code:
12352203
Conjugate:
unconjugated
Clone:
EP230, monoclonal
Application:
IHC (p)
Citations:
5
biological source
rabbit
conjugate
unconjugated
antibody form
culture supernatant
antibody product type
primary antibodies
clone
EP230, monoclonal
description
(For In Vitro Diagnostic Use in Select Regions (See Chart))
form
buffered aqueous solution
species reactivity
human
packaging
vial of 0.1 mL concentrate (262R-14), vial of 0.5 mL concentrate (262R-15), bottle of 1.0 mL predilute (262R-17), vial of 1.0 mL concentrate (262R-16), bottle of 7.0 mL predilute (262R-18)
manufacturer/tradename
Cell Marque®
technique(s)
immunohistochemistry (formalin-fixed, paraffin-embedded sections): 1:100-1:500
isotype
IgG
control
anaplastic large cell lymphoma, spleen
shipped in
wet ice
storage temp.
2-8°C
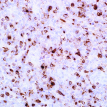
visualization
cytoplasmic
Gene Information
human ... GZMB(3002)
General description
Granzymes are serine proteases which are stored in specialized lytic granules of cytotoxic T-lymphocytes and in natural killer cells.1 Anti-granzyme B has been useful in in the identification of natural killer/T-cell lymphoma, as well as anaplastic large cell lymphoma.2-4
Physical form
Solution in Tris Buffer, pH 7.3-7.7, with 1% BSA and <0.1% Sodium Azide.
Preparation Note
Download the IFU specific to your product lot and formatNote: This requires a keycode which can be found on your packaging or product label.
Analysis Note
![]() IVD | ![]() IVD | ![]() IVD | ![]() RUO |
Other Notes
For Technical Service please contact: 800-665-7284 or email: service@cellmarque.com
Granzyme B Positive Control Slides, Product No. 262S, are available for immunohistochemistry (formalin-fixed, paraffin-embedded sections).
Legal Information
Cell Marque is a registered trademark of Merck KGaA, Darmstadt, Germany
Still not finding the right product?
Try our Product Selector Tool to narrow your options
Regulatory Information
监管及禁止进口产品
This item has
Choose from one of the most recent versions:
Already Own This Product?
Find documentation for the products that you have recently purchased in the Document Library.
Jie Liu et al.
The Journal of dermatology, 30(10), 735-741 (2003-12-20)
Nasal natural killer (NK)/T cell lymphoma is an Epstein-Barr virus (EBV) associated lymphoma that arises in the nasal area and aggressively invades surrounding tissues. Our patient was a 48-year-old male who had had nasal obstruction and nasal discharge for 2
Naoko Kato et al.
The American Journal of dermatopathology, 25(2), 142-147 (2003-03-26)
A neutrophil-rich anaplastic large cell lymphoma (ALCL) presented in the skin of a 47-year-old Japanese woman. The solitary cutaneous lesion was an eroded, 10-mm, dome-shaped nodule involving the skin of her left upper arm. Histologically, it showed a proliferation of
J A Kummer et al.
Clinical and experimental immunology, 100(1), 164-172 (1995-04-01)
Cytoplasmic granules from activated natural killer (NK) and cytotoxic T lymphocytes (CTL) contain a pore-forming protein, perforin, and several homologous serine proteinases called granzymes. Expression of these proteins correlates with the cytolytic potential of cytotoxic lymphocytes. Using a panel of
Global Trade Item Number
| SKU | GTIN |
|---|---|
| 262R-16 | 0841683131465 |
| 262R-14 | 0841683131441 |
| 262R-15 | 0841683131458 |
| 262R-16-RUO | 04061836567705 |
| 262R-17 | 0841683131472 |
| 262R-18 | 0841683131489 |



