Select a Size
About This Item
biological source
rabbit
conjugate
unconjugated
antibody form
culture supernatant
antibody product type
primary antibodies
clone
EP434, monoclonal
description
For In Vitro Diagnostic Use in Select Regions
form
buffered aqueous solution
species reactivity
human
packaging
vial of 0.1 mL concentrate (462R-14), vial of 0.1 mL concentrate Research Use Only (462R-14-RUO), vial of 0.5 mL concentrate (462R-15), vial of 1.0 mL concentrate (462R-16), vial of 1.0 mL concentrate Research Use Only (462R-16-RUO), vial of 1.0 mL pre-dilute Research Use Only (462R-17-RUO), vial of 1.0 mL pre-dilute ready-to-use (462R-17), vial of 7.0 mL pre-dilute ready-to-use (462R-18), vial of 7.0 mL pre-dilute ready-to-use Research Use Only (462R-18-RUO)
manufacturer/tradename
Cell Marque®
technique(s)
immunohistochemistry (formalin-fixed, paraffin-embedded sections): 1:25-1:100 (concentrated)
isotype
IgG
control
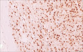
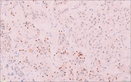
adrenocortical carcionma, granulosa cell tumor, testis
shipped in
wet ice
storage temp.
2-8°C
visualization
nuclear
Gene Information
human ... SF1(7536)
General description
Physical form
Preparation Note
Note: This requires a keycode which can be found on your packaging or product label.
Download the latest released IFU
Note: This IFU may not apply to your specific product lot.
Analysis Note
![]() IVD | ![]() IVD | ![]() IVD | ![]() RUO |
Other Notes
Legal Information
Still not finding the right product?
Try our Product Selector Tool to narrow your options
Storage Class
12 - Non Combustible Liquids
wgk
WGK 2
Regulatory Information
This item has
Choose from one of the most recent versions:
Already Own This Product?
Find documentation for the products that you have recently purchased in the Document Library.



