Skip to Content
Merck
CN

A0418

Anti-Rabbit IgG (whole molecule)–Alkaline Phosphatase antibody produced in goat

IgG fraction of antiserum

Synonym(s):

Goat Anti-Rabbit IgG (whole molecule)–AP

Sign In to View Organizational & Contract Pricing.

Select a Size

Change View

About This Item

UNSPSC Code:
12352203
NACRES:
NA.46
MDL number:
Conjugate:
alkaline phosphatase conjugate
Clone:
polyclonal
Application:
ELISA (d), IHC (p), WB CL
Citations:
27
Technical Service
Need help? Our team of experienced scientists is here for you.
Let Us Assist


biological source

goat

Quality Level

conjugate

alkaline phosphatase conjugate

antibody form

IgG fraction of antiserum

antibody product type

secondary antibodies

clone

polyclonal

species reactivity

rabbit

technique(s)

direct ELISA: 1:20,000, immunohistochemistry (formalin-fixed, paraffin-embedded sections): 1:40, western blot (chemiluminescent): 1:100,000

shipped in

wet ice

storage temp.

2-8°C

target post-translational modification

unmodified

General description

IgG crosses the placental barrier, is a complement activator and binds to the Fc-receptors on phagocytic cells. The level of IgG may vary with the status of disease or infection. Alkaline Phosphatase is an enzyme that catalyzes the conversion of chromogenic substrates such as p-nitrophenylphosphate (PNPP); chemiluminescent substrates such as CDP-Star® and fluorogenic substrates such as 4-methylumbelliferyl phosphate (4-MUP) into detectable chromophores, light-emitters or fluorescers, respectively.
Rabbit IgG is a plasma B cell derived antibody isotype defined by its heavy chain. IgG is the most abundant antibody isotype found in rabbit serum. Immunoglobulins (Igs) belongs to the immunoglobulin super-family. Each immunoglobin have two heavy (H) and two light (L) chains, held together by disulphide linkages. Each light chain comprises one variable N-terminal region and a constant C-terminal region. Heavy chain has one variable N-terminal region and three or four constant (CH1-CH4) C-terminal region. The four classes of IgG can be IgG1, IgG2, IgG3, and IgG4.

Immunogen

pooled normal rabbit serum

Application

Citrullination of antithrombin by PADI4 was analyzed by ELISA using alkaline phosphatase conjugated goat anti-rabbit IgG as the secondary diluted at 1:5000 in 0.05M carbonate/bicarbonate buffer (Ph 9.6).
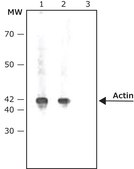
Anti-Rabbit IgG (whole molecule)−Alkaline Phosphatase antibody produced in goat has been used in western blotting and enzyme-linked immunosorbent assay (ELISA).
Applications in which this antibody has been used successfully, and the associated peer-reviewed papers, are given below.
Western Blotting (1 paper)

Biochem/physiol Actions

Goat polyclonal anti-rabbit IgG (whole molecule)-alkaline phosphatase antibody reacts with rabbit IgG in vitro, in rabbit serum and biological fluids.
IgG1 is most abundant and its deficiency results in hypogammaglobulinemia. IgG2 deficiency increases susceptibility to bacterial infections. IgG3 mediates effector functions and IgG4 is associated with asymptomatic infection. IgG antibody have enormous therapeutic potential and the Fc region contributes for the development of therapeutic antibody.

Physical form

Solution in 0.05 M Tris buffer, pH 8.0, containing 1% bovine serum albumin, 1 mM MgCl2 and 15 mM sodium azide

Legal Information

CDP-Star is a registered trademark of Tropix, Inc.

Disclaimer

Unless otherwise stated in our catalog or other company documentation accompanying the product(s), our products are intended for research use only and are not to be used for any other purpose, which includes but is not limited to, unauthorized commercial uses, in vitro diagnostic uses, ex vivo or in vivo therapeutic uses or any type of consumption or application to humans or animals.


Still not finding the right product?

or

Try our Product Selector Tool to narrow your options


Storage Class

10 - Combustible liquids

wgk

WGK 2

flash_point_f

Not applicable

flash_point_c

Not applicable

Regulatory Information

常规特殊物品
低风险生物材料

This item has



Choose from one of the most recent versions:

Certificates of Analysis (COA)

Lot/Batch Number

Don't see the Right Version?

If you require a particular version, you can look up a specific certificate by the Lot or Batch number.

Already Own This Product?

Find documentation for the products that you have recently purchased in the Document Library.

Visit the Document Library


Related Content


D J Glover et al.
Microbiology (Reading, England), 143 ( Pt 9), 3045-3054 (1997-10-06)
The pH-regulated expression of the acid (AXP) and alkaline (AEP) extracellular proteases of the yeast Yarrowia lipolytica 148 was analysed. Expression in batch and continuous cultures was determined at the mRNA level by Northern blotting, and at the enzyme level
Cellular casein kinase 2 and protein phosphatase 2A modulate replication site assembly of bluetongue virus
Mohl BP and Roy P
Test, 291(28), 14566-14574 (2016)
Assessing carnivorous plants for the production of re-combinant proteins
Miguel S, et al.
Frontiers in Plant Science, 10, 793-793 (2019)



Global Trade Item Number

SKUGTIN
A0418-1ML04061833333884