Skip to Content
Merck
CN

AMAB90565

Monoclonal Anti-PCM1 antibody produced in mouse

Prestige Antibodies® Powered by Atlas Antibodies, clone CL0206, purified immunoglobulin, buffered aqueous glycerol solution

Synonym(s):

PTC4

Sign In to View Organizational & Contract Pricing.

Select a Size

Change View

About This Item

NACRES:
NA.43
UNSPSC Code:
12352203
Technique(s):
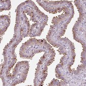
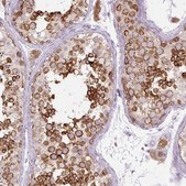
immunoblotting: 1 μg/mL, immunohistochemistry: 1:200- 1:500
Uniprot accession no.:
Application:
IHC
Citations:
3
Technical Service
Need help? Our team of experienced scientists is here for you.
Let Us Assist


biological source

mouse

Quality Level

conjugate

unconjugated

antibody form

purified immunoglobulin

antibody product type

primary antibodies

clone

CL0206, monoclonal

product line

Prestige Antibodies® Powered by Atlas Antibodies

form

buffered aqueous glycerol solution

species reactivity

human

enhanced validation

orthogonal RNAseq
Learn more about Antibody Enhanced Validation

concentration

1 mg/mL

technique(s)

immunoblotting: 1 μg/mL, immunohistochemistry: 1:200- 1:500

pH range

7.2-7.4

isotype

IgG1

Ensembl | human accession no.

UniProt accession no.

shipped in

dry ice

storage temp.

−20°C

target post-translational modification

unmodified

Gene Information

human ... PCM1(5108)

General description

Pericentriolar material 1 (PCM1) gene codes for a 228 kDa protein. It has various coiled-coil domains in its amino-terminal. It is located in the cytoplasmic granules and is termed as centriolar satellites. PCM1 is located on human chromosome 8p22.

Immunogen

Recombinant protein corresponding to pericentriolar material 1

Application

The Human Protein Atlas project can be subdivided into three efforts: Human Tissue Atlas, Cancer Atlas, and Human Cell Atlas. The antibodies that have been generated in support of the Tissue and Cancer Atlas projects have been tested by immunohistochemistry against hundreds of normal and disease tissues and through the recent efforts of the Human Cell Atlas project, many have been characterized by immunofluorescence to map the human proteome not only at the tissue level but now at the subcellular level. These images and the collection of this vast data set can be viewed on the Human Protein Atlas (HPA) site by clicking on the Image Gallery link. We also provide Prestige Antibodies®protocols and other useful information.

Biochem/physiol Actions

Pericentriolar material 1 (PCM1) plays a major role in the development of cell cycle. It maintains the centrosome integrity and controls the microtubule cytoskeleton. PCM1 plays a vital role in the progression of the nervous system and neuronal activity. This protein participates in the enrolment of GABARAP (γ-aminobutyric acid receptor-associated protein) to the pericentriolar material.

Features and Benefits

Prestige Antibodies® are highly characterized and extensively validated antibodies with the added benefit of all available characterization data for each target being accessible via the Human Protein Atlas portal linked just below the product name at the top of this page. The uniqueness and low cross-reactivity of the Prestige Antibodies® to other proteins are due to a thorough selection of antigen regions, affinity purification, and stringent selection. Prestige antigen controls are available for every corresponding Prestige Antibody and can be found in the linkage section.

Every Prestige Antibody is tested in the following ways:
  • IHC tissue array of 44 normal human tissues and 20 of the most common cancer type tissues.
  • Protein array of 364 human recombinant protein fragments.

Physical form

100UL pack size is provided in a solution, in PBS(phosphate-buffered saline), pH 7.2, containing 40% glycerol and 0.02% sodium azide.

Large pack size of 1ml (at 1mg/ml) is available in PBS only, purified, biocide free, carrier free and glycerol free. Order here

Preparation Note

Upon arrival, mix gently and aliquot to avoid repeated freeze-thaw cycles

Legal Information

Prestige Antibodies is a registered trademark of Merck KGaA, Darmstadt, Germany

Disclaimer

Unless otherwise stated in our catalog or other company documentation accompanying the product(s), our products are intended for research use only and are not to be used for any other purpose, which includes but is not limited to, unauthorized commercial uses, in vitro diagnostic uses, ex vivo or in vivo therapeutic uses or any type of consumption or application to humans or animals.


Still not finding the right product?

Try our Product Selector Tool to narrow your options


Storage Class

10 - Combustible liquids

wgk

WGK 1

Regulatory Information

低风险生物材料
常规特殊物品
常规特殊物品

This item has



Choose from one of the most recent versions:

Certificates of Analysis (COA)

Lot/Batch Number

Don't see the Right Version?

If you require a particular version, you can look up a specific certificate by the Lot or Batch number.

Already Own This Product?

Find documentation for the products that you have recently purchased in the Document Library.

Visit the Document Library



The t (8; 9)(p22; p24) translocation in atypical chronic myeloid leukaemia yields a new PCM1-JAK2 fusion gene.
Bousquet M, et al.
Oncogene, 24(48), 7248-7248 (2005)
Centriolar satellites control GABARAP ubiquitination and GABARAP-mediated autophagy.
Joachim J, et al.
Current Biology, 27(14), 2123-2136 (2017)
Hugh M D Gurling et al.
Archives of general psychiatry, 63(8), 844-854 (2006-08-09)
There is evidence of linkage to a schizophrenia susceptibility locus on chromosome 8p21-22 found by several family linkage studies. To fine map and identify a susceptibility gene for schizophrenia on chromosome 8p22 and to investigate the effect of this genetic



Global Trade Item Number

SKUGTIN
AMAB90565-100UL04061837047336
AMAB90565-25UL04061841706427