Skip to Content
Merck
CN

AMAB91241

Anti-β-Actin (ACTB) Antibody

Prestige Antibodies® Powered by Atlas Antibodies, mouse monoclonal, CL3868

Sign In to View Organizational & Contract Pricing.

Select a Size

Change View

About This Item

UNSPSC Code:
12352203
Human Protein Atlas Number:
NACRES:
NA.41
Technique(s):
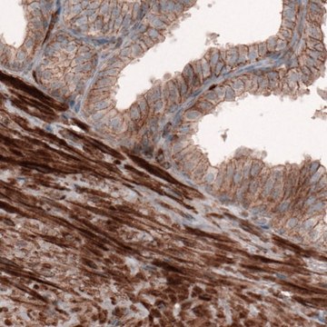
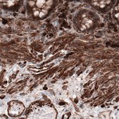
immunoblotting: 1 μg/mL, immunofluorescence: 1-4 μg/mg (Fixation/Permeabilization: PFA/Triton X-100), immunohistochemistry: 1:5000- 1:10000
Conjugate:
unconjugated
Application:
IF, IHC
Citations:
1
Technical Service
Need help? Our team of experienced scientists is here for you.
Let Us Assist


Product Name

Monoclonal Anti-ACTB antibody produced in mouse, Prestige Antibodies® Powered by Atlas Antibodies, clone CL3868, purified immunoglobulin, buffered aqueous glycerol solution

biological source

mouse

Quality Level

conjugate

unconjugated

antibody form

purified immunoglobulin

antibody product type

primary antibodies

clone

CL3868, monoclonal

product line

Prestige Antibodies® Powered by Atlas Antibodies

form

buffered aqueous glycerol solution

species reactivity

human, rat, mouse

enhanced validation

RNAi knockdown
Learn more about Antibody Enhanced Validation

concentration

1 mg/mL

technique(s)

immunoblotting: 1 μg/mL, immunofluorescence: 1-4 μg/mg (Fixation/Permeabilization: PFA/Triton X-100), immunohistochemistry: 1:5000- 1:10000

pH range

7.2-7.4

isotype

IgG1

UniProt accession no.

shipped in

dry ice

storage temp.

−20°C

target post-translational modification

unmodified

Gene Information

human ... ACTB(60)

Immunogen

Actin beta

Application

All Prestige Antibodies Powered by Atlas Antibodies are developed and validated by the Human Protein Atlas (HPA) project and as a result, are supported by the most extensive characterization in the industry.

The Human Protein Atlas project can be subdivided into three efforts: Human Tissue Atlas, Cancer Atlas, and Human Cell Atlas. The antibodies that have been generated in support of the Tissue and Cancer Atlas projects have been tested by immunohistochemistry against hundreds of normal and disease tissues and through the recent efforts of the Human Cell Atlas project, many have been characterized by immunofluorescence to map the human proteome not only at the tissue level but now at the subcellular level. These images and the collection of this vast data set can be viewed on the Human Protein Atlas (HPA) site by clicking on the Image Gallery link. We also provide Prestige Antibodies® protocols and other useful information.

Features and Benefits

Prestige Antibodies® are highly characterized and extensively validated antibodies with the added benefit of all available characterization data for each target being accessible via the Human Protein Atlas portal linked just below the product name at the top of this page. The uniqueness and low cross-reactivity of the Prestige Antibodies® to other proteins are due to a thorough selection of antigen regions, affinity purification, and stringent selection. Prestige antigen controls are available for every corresponding Prestige Antibody and can be found in the linkage section.

Every Prestige Antibody is tested in the following ways:
  • IHC tissue array of 44 normal human tissues and 20 of the most common cancer type tissues.
  • Protein array of 364 human recombinant protein fragments.

Physical form

100UL pack size is provided in a solution, in PBS(phosphate-buffered saline), pH 7.2, containing 40% glycerol and 0.02% sodium azide.

Large pack size of 1ml (at 1mg/ml) is available in PBS only, purified, biocide free, carrier free and glycerol free. Order here-Request a Bulk Order /services/support/bulk-quotation-request

Preparation Note

Upon arrival, mix gently and aliquot to avoid repeated freeze-thaw cycles

Legal Information

Prestige Antibodies is a registered trademark of Merck KGaA, Darmstadt, Germany

Disclaimer

Unless otherwise stated in our catalog or other company documentation accompanying the product(s), our products are intended for research use only and are not to be used for any other purpose, which includes but is not limited to, unauthorized commercial uses, in vitro diagnostic uses, ex vivo or in vivo therapeutic uses or any type of consumption or application to humans or animals.


Still not finding the right product?

or

Try our Product Selector Tool to narrow your options


Storage Class

10 - Combustible liquids

wgk

WGK 1

flash_point_f

Not applicable

flash_point_c

Not applicable

Regulatory Information

新产品

This item has



Choose from one of the most recent versions:

Certificates of Analysis (COA)

Lot/Batch Number

It looks like we've run into a problem, but you can still download Certificates of Analysis from our Documents section.

If you need assistance, please contact Customer Support

Already Own This Product?

Find documentation for the products that you have recently purchased in the Document Library.

Visit the Document Library



Florian A Gegenfurtner et al.
Cellular and molecular life sciences : CMLS (2018-09-13)
Actin has emerged as a versatile regulator of gene transcription. Cytoplasmatic actin regulates mechanosensitive-signaling pathways such as MRTF-SRF and Hippo-YAP/TAZ. In the nucleus, both polymerized and monomeric actin directly interfere with transcription-associated molecular machineries. Natural actin-binding compounds are frequently used



Global Trade Item Number

SKUGTIN
AMAB91241-100UL04061837049637
AMAB91241-25UL04061841323556