Skip to Content
Merck
CN

AV41836

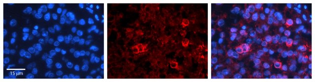
Anti-PTGS1 (AB1) antibody produced in rabbit

affinity isolated antibody

Synonym(s):

Anti-COX1, Anti-COX3, Anti-PCOX1, Anti-PGG/HS, Anti-PGHS-1, Anti-PGHS1, Anti-PHS1, Anti-Prostaglandin-endoperoxide synthase 1

Sign In to View Organizational & Contract Pricing.

Select a Size

Change View

About This Item

NACRES:
NA.41
UNSPSC Code:
12352203
Conjugate:
unconjugated
Clone:
polyclonal
Application:
IHC, WB
Citations:
-
Technical Service
Need help? Our team of experienced scientists is here for you.
Let Us Assist


biological source

rabbit

Quality Level

conjugate

unconjugated

antibody form

affinity isolated antibody

antibody product type

primary antibodies

clone

polyclonal

form

buffered aqueous solution

mol wt

66 kDa

species reactivity

sheep, rat, guinea pig, mouse, human, horse, bovine

concentration

0.5 mg - 1 mg/mL

technique(s)

immunohistochemistry: suitable, western blot: suitable

NCBI accession no.

UniProt accession no.

shipped in

wet ice

storage temp.

−20°C

target post-translational modification

unmodified

Gene Information

human ... PTGS1(5742)

Immunogen

Synthetic peptide directed towards the middle region of human PTGS1

Biochem/physiol Actions

Prostaglandin-endoperoxide synthase (PTGS), also known as cyclooxygenase, is the key enzyme in prostaglandin biosynthesis, and acts both as a dioxygenase and as a peroxidase. There are two isozymes of PTGS: a constitutive PTGS1 and an inducible PTGS2, which differ in their regulation of expression and tissue distribution. This gene encodes PTGS1, which regulates angiogenesis in endothelial cells, and is inhibited by nonsteroidal anti-inflammatory drugs such as aspirin. PTGS1 is thought to be involved in cell-cell signaling and maintaining tissue homeostasis.Prostaglandin-endoperoxide synthase (PTGS), also known as cyclooxygenase, is the key enzyme in prostaglandin biosynthesis, and acts both as a dioxygenase and as a peroxidase. There are two isozymes of PTGS: a constitutive PTGS1 and an inducible PTGS2, which differ in their regulation of expression and tissue distribution. This gene encodes PTGS1, which regulates angiogenesis in endothelial cells, and is inhibited by nonsteroidal anti-inflammatory drugs such as aspirin. PTGS1 is thought to be involved in cell-cell signaling and maintaining tissue homeostasis. Alternative splicing of this gene generates two transcript variants. The expression of these two transcripts is differentially regulated by relevant cytokines and growth factors.Prostaglandin-endoperoxide synthase (PTGS), also known as cyclooxygenase, is the key enzyme in prostaglandin biosynthesis, and acts both as a dioxygenase and as a peroxidase. There are two isozymes of PTGS: a constitutive PTGS1 and an inducible PTGS2, which differ in their regulation of expression and tissue distribution. This gene encodes PTGS1, which regulates angiogenesis in endothelial cells, and is inhibited by nonsteroidal anti-inflammatory drugs such as aspirin. PTGS1 is thought to be involved in cell-cell signaling and maintaining tissue homeostasis. Alternative splicing of this gene generates two transcript variants. The expression of these two transcripts is differentially regulated by relevant cytokines and growth factors.

Physical form

Purified antibody supplied in 1x PBS buffer with 0.09% (w/v) sodium azide and 2% sucrose.

Other Notes

Synthetic peptide located within the following region: GFTKALGHGVDLGHIYGDNLERQYQLRLFKDGKLKYQVLDGEMYPPSVEE

Disclaimer

Unless otherwise stated in our catalog or other company documentation accompanying the product(s), our products are intended for research use only and are not to be used for any other purpose, which includes but is not limited to, unauthorized commercial uses, in vitro diagnostic uses, ex vivo or in vivo therapeutic uses or any type of consumption or application to humans or animals.


Still not finding the right product?

Try our Product Selector Tool to narrow your options


Storage Class

10 - Combustible liquids

wgk

WGK 3

flash_point_f

Not applicable

flash_point_c

Not applicable

Regulatory Information

常规特殊物品

This item has



Choose from one of the most recent versions:

Certificates of Analysis (COA)

Lot/Batch Number

Don't see the Right Version?

If you require a particular version, you can look up a specific certificate by the Lot or Batch number.

Already Own This Product?

Find documentation for the products that you have recently purchased in the Document Library.

Visit the Document Library



Global Trade Item Number

SKUGTIN
AV41836-100UL04061836216795