Skip to Content
Merck
CN

H0164

Anti-Histone H3.1 Antibody

rabbit polyclonal

Synonym(s):

Anti H3 Antibody, Histone H3 Antibody, Histone H3 Antibody - Anti-Histone H3 antibody produced in rabbit

Sign In to View Organizational & Contract Pricing.

Select a Size

Change View

About This Item

UNSPSC Code:
12352203
NACRES:
NA.41
MDL number:
Conjugate:
unconjugated
Clone:
polyclonal
Application:
IF, WB
Citations:
97
Technical Service
Need help? Our team of experienced scientists is here for you.
Let Us Assist


Product Name

Anti-Histone H3 antibody produced in rabbit, IgG fraction of antiserum, buffered aqueous solution

biological source

rabbit

Quality Level

conjugate

unconjugated

antibody form

IgG fraction of antiserum

antibody product type

primary antibodies

clone

polyclonal

form

buffered aqueous solution

mol wt

antigen 17 kDa

species reactivity

chicken, mouse, plant, Drosophila, rat, human, Xenopus

packaging

antibody small pack of 25 μL

enhanced validation

independent
Learn more about Antibody Enhanced Validation

technique(s)

indirect immunofluorescence: 1:250-1:500 using mouse fibroblast NIH3T3 cells, western blot: 1:2,500-1:5,000 using whole cell extract of the rat pheochromocytoma PC12 cell line, western blot: 1:5,000-1:10,000 using whole cell extract of the A431 human epidermoid carcinoma cell line or a whole cell extract of the mouse fibroblast NIH3T3 cell line

UniProt accession no.

shipped in

dry ice

storage temp.

−20°C

target post-translational modification

unmodified

General description

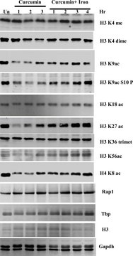
Histone proteins are known to stabilize and regulate the nuclear DNA. Core histones, H2A, H2B, H3 and H4 aid the packaging of eukaryotic nuclear DNA into repeating nucleosome units while the linker histone, H1, binds to DNA between the nucleosomes. A diverse and elaborate array of post-translational modifications, including acetylation, phosphorylation and methylation, ubiquitination and ADP ribosylation occur in histones, particularly on the N-terminal tail domains of histones, particularly of H3 and H4.These modifications dictate chromatin states and the gene expression.
Phosphorylation of H3, mainly on Ser10 and Ser28, is localized to a small fraction of highly acetylated H3 and occurs primarily in response to mitogenic and stress stimuli. Phosphorylation of Ser10 is considered a crucial event for the onset of mitosis. It is tightly correlated with chromosome condensation during both mitosis and meiosis. Histone methylation, like acetylation, is a complex, dynamic process involved in a number of processes, including transcriptional regulation, chromatin condensation, mitosis ad heterochromatin assembly. Conserved lysine residues in the N-terminal tail domains of histone H3, Lys4, Lys9, and Lys27 are the preferred sites of methylation. Histone lysine residues can be mono-, di-, and tri-methylated at different heterochromatic subdomains, adding further complexity to the regulation of chromatin structure.

Immunogen

synthetic peptide corresponding to amino acids 125-136 located at the C-terminus of human histone H3, conjugated to KLH. This sequence is identical in many species including rat, mouse, chicken, Xenopus, Drosophila, and plant histone H3.

Application

Anti-Histone H3 antibody produced in rabbit has been used in immunoblotting and immunofluorescence microscopy.

Biochem/physiol Actions

Anti-Histone H3 specifically recognizes histone H3.

Physical form

Solution in 0.01 M phosphate buffered saline, pH 7.4, containing 15 mM sodium azide.

Disclaimer

Unless otherwise stated in our catalog or other company documentation accompanying the product(s), our products are intended for research use only and are not to be used for any other purpose, which includes but is not limited to, unauthorized commercial uses, in vitro diagnostic uses, ex vivo or in vivo therapeutic uses or any type of consumption or application to humans or animals.


Still not finding the right product?

or

Try our Product Selector Tool to narrow your options


Storage Class

12 - Non Combustible Liquids

wgk

WGK 2

flash_point_f

Not applicable

flash_point_c

Not applicable

ppe

Eyeshields, Gloves, multi-purpose combination respirator cartridge (US)

Regulatory Information

低风险生物材料
常规特殊物品

This item has



Choose from one of the most recent versions:

Certificates of Analysis (COA)

Lot/Batch Number

Don't see the Right Version?

If you require a particular version, you can look up a specific certificate by the Lot or Batch number.

Already Own This Product?

Find documentation for the products that you have recently purchased in the Document Library.

Visit the Document Library


Related Content


Histone H3 is absent from organelle nucleoids in BY-2 cultured tobacco
cells
Takusagawa M
Cell Biology International, 37, 748-754 (2013)
Hippocampal chromatin-modifying enzymes are pivotal for scopolamine-induced synaptic plasticity gene expression changes and memory impairment
Singh P
Journal of Neurochemistry, 134, 642-651 (2015)
M J Barratt et al.
Proceedings of the National Academy of Sciences of the United States of America, 91(11), 4781-4785 (1994-05-24)
Diverse agents, including growth factors and phorbol esters, induce rapid transcriptional activation of a subset of immediate-early (IE) genes that include the protooncogenes c-fos and c-jun. Among the earliest nuclear signaling events concomitant with IE gene activation is the phosphorylation



Global Trade Item Number

SKUGTIN
H0164-200UL04061833662724