Skip to Content
Merck
CN

H3663

Anti-HA antibody, Mouse monoclonal

clone HA-7, purified from hybridoma cell culture

Synonym(s):

Monoclonal Anti-HA, Anti-HA, Anti-Influenza Hemagglutinin

Sign In to View Organizational & Contract Pricing.

Select a Size

Change View

About This Item

UNSPSC Code:
12352203
NACRES:
NA.56
MDL number:
Conjugate:
unconjugated
Clone:
HA-7, monoclonal
Application:
ICC, IP, WB
Citations:
591
Technical Service
Need help? Our team of experienced scientists is here for you.
Let Us Assist


biological source

mouse

Quality Level

conjugate

unconjugated

antibody form

purified immunoglobulin

antibody product type

primary antibodies

clone

HA-7, monoclonal

concentration

~1 mg/mL

technique(s)

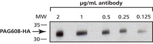
immunocytochemistry: 1.0-2.0 μg/mL, immunoprecipitation (IP): 0.5-2.0 μg, western blot: 0.25-1 μg/mL

isotype

IgG1

shipped in

dry ice

storage temp.

−20°C

General description

Hemagglutinin (HA) is a glycoprotein present in the membrane of influenza virus. HA exists as a trimer and each monomer at its membrane tip has receptor-binding site. Glycosylation event of HA occurs in endoplasmic reticulum. The head region with the receptor-binding site of the HA is variable. The mouse monoclonal Anti-HA, Clone HA-7 recognizes the human influenza virus hemagglutinin (HA), known as the HA tag. The product is reactive with HA-tagged fusion proteins expressed at either the amino or the carboxy terminus of the fusion protein.

Immunogen

synthetic peptide corresponding to a fragment of human influenza virus hemagglutinin (HA) known as HA-tag, conjugated to KLH

Application

Monoclonal Anti-HA antibody produced in mouse has been used:
  • in immunoblotting
  • in immunocytochemistry
  • in the immunoprecipitation

Biochem/physiol Actions

Hemagglutinin (HA) binds to acid binding and is essential for the initiation of virus infection. It is the key target for the generation of vaccine. HA is the dominant antigen against which humoral immune response is provoked. Vaccines development involves the generation of antibody specific to the variable head and the conserved stalk region. Both the anti-stalk and anti-head antibodies may elicit protective function in influenza disease.
The antibody recognizes native as well as denatured-reduced forms of HA-tagged proteins and is reactive with N- or C-terminal HA-tagged fusion proteins expressed in E. coli or in mammalian cells.

Physical form

Solution in 0.01 M phosphate buffered saline, pH 7.4, containing 1% BSA and 15 mM sodium azide as a preservative.


Still not finding the right product?

Try our Product Selector Tool to narrow your options


Storage Class

10 - Combustible liquids

wgk

nwg

flash_point_f

Not applicable

flash_point_c

Not applicable

ppe

Eyeshields, Gloves, multi-purpose combination respirator cartridge (US)

Regulatory Information

低风险生物材料
常规特殊物品

This item has



Choose from one of the most recent versions:

Certificates of Analysis (COA)

Lot/Batch Number

Don't see the Right Version?

If you require a particular version, you can look up a specific certificate by the Lot or Batch number.

Already Own This Product?

Find documentation for the products that you have recently purchased in the Document Library.

Visit the Document Library



Evaluation of pre-existing anti-hemagglutinin stalk antibody as a correlate of protection in a healthy volunteer challenge with influenza A/H1N1pdm virus
Park JK, et al.
mBio, 9(1), e02284-e02217 (2018)
Expanded polyglutamine-containing N-terminal huntingtin fragments are entirely degraded by mammalian proteasomes
Juenemann K, et al.
The Journal of Biological Chemistry, 288(38), 27068-27084 (2013)
The receptor-binding domain of influenza virus hemagglutinin produced in Escherichia coli folds into its native, immunogenic structure
DuBois RM, et al.
Journal of Virology, 85(2), 865-872 (2011)



Global Trade Item Number

SKUGTIN
H3663-100UL04061833793886
H3663-200UL04061838446145