Skip to Content
Merck
CN

HPA001247

Anti-CYC1 antibody produced in rabbit

Prestige Antibodies® Powered by Atlas Antibodies, affinity isolated antibody, buffered aqueous glycerol solution

Synonym(s):

Anti-Cytochrome c-1 antibody produced in rabbit, Anti-Cytochrome c1 heme protein, mitochondrial precursor antibody produced in rabbit

Sign In to View Organizational & Contract Pricing.

Select a Size

Change View

About This Item

UNSPSC Code:
12352203
NACRES:
NA.41
Human Protein Atlas Number:
Conjugate:
unconjugated
Clone:
polyclonal
Application:
IF, IHC
Citations:
9
Technical Service
Need help? Our team of experienced scientists is here for you.
Let Us Assist


biological source

rabbit

Quality Level

conjugate

unconjugated

antibody form

affinity isolated antibody

antibody product type

primary antibodies

clone

polyclonal

product line

Prestige Antibodies® Powered by Atlas Antibodies

form

buffered aqueous glycerol solution

species reactivity

human, mouse, rat

enhanced validation

orthogonal RNAseq
Learn more about Antibody Enhanced Validation

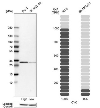
technique(s)

immunoblotting: 0.04-0.4 μg/mL, immunofluorescence: 0.25-2 μg/mL, immunohistochemistry: 1:200-1:500

immunogen sequence

NSEAARAANNGALPPDLSYIVRARHGGEDYVFSLLTGYCEPPTGVSLREGLYFNPYFPGQAIAMAPPIYTDVLEFDDGTPATMSQIAKDVCTFLRWASEPEHDHRKRMGLKMLMMMALLVPLVYTIKRHKWSVLKSRKLAYR

UniProt accession no.

shipped in

wet ice

storage temp.

−20°C

target post-translational modification

unmodified

Gene Information

human ... CYC1(1537)

Immunogen

Cytochrome c1 heme protein, mitochondrial precursor recombinant protein epitope signature tag (PrEST)

Application

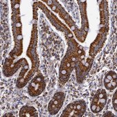
Anti-CYC1 antibody produced in rabbit, a Prestige Antibody, is developed and validated by the Human Protein Atlas (HPA) project . Each antibody is tested by immunohistochemistry against hundreds of normal and disease tissues. These images can be viewed on the Human Protein Atlas (HPA) site by clicking on the Image Gallery link. The antibodies are also tested using immunofluorescence and western blotting. To view these protocols and other useful information about Prestige Antibodies and the HPA, visit sigma.com/prestige.

Biochem/physiol Actions

CYC1 (cytochrome c-1) gene encodes a heme-containing subunit of the cytochrome b-c1 complex. The complex plays a key role in the mitochondrial respiratory chain by accepting electrons from Rieske protein and transferring to cytochrome c. The gene is localized to chromosome 8q24.3. Defects in this gene may cause mitochondrial complex III deficiency, nuclear type 6, an autosomal recessive disorder caused by mitochondrial dysfunction.

Features and Benefits

Prestige Antibodies® are highly characterized and extensively validated antibodies with the added benefit of all available characterization data for each target being accessible via the Human Protein Atlas portal linked just below the product name at the top of this page. The uniqueness and low cross-reactivity of the Prestige Antibodies® to other proteins are due to a thorough selection of antigen regions, affinity purification, and stringent selection. Prestige antigen controls are available for every corresponding Prestige Antibody and can be found in the linkage section.

Every Prestige Antibody is tested in the following ways:
  • IHC tissue array of 44 normal human tissues and 20 of the most common cancer type tissues.
  • Protein array of 364 human recombinant protein fragments.

Physical form

Solution in phosphate-buffered saline, pH 7.2, containing 40% glycerol and 0.02% sodium azide

Other Notes

Corresponding Antigen APREST83085

Legal Information

Prestige Antibodies is a registered trademark of Merck KGaA, Darmstadt, Germany

Disclaimer

Unless otherwise stated in our catalog or other company documentation accompanying the product(s), our products are intended for research use only and are not to be used for any other purpose, which includes but is not limited to, unauthorized commercial uses, in vitro diagnostic uses, ex vivo or in vivo therapeutic uses or any type of consumption or application to humans or animals.


Still not finding the right product?

or

Try our Product Selector Tool to narrow your options


Storage Class

10 - Combustible liquids

wgk

WGK 1

flash_point_f

Not applicable

flash_point_c

Not applicable

ppe

Eyeshields, Gloves, multi-purpose combination respirator cartridge (US)

Regulatory Information

低风险生物材料
常规特殊物品

This item has



Choose from one of the most recent versions:

Certificates of Analysis (COA)

Lot/Batch Number

Don't see the Right Version?

If you require a particular version, you can look up a specific certificate by the Lot or Batch number.

Already Own This Product?

Find documentation for the products that you have recently purchased in the Document Library.

Visit the Document Library


Related Content

Prestige Antibodies Immunofluorescence Procedure


K Sugden et al.
Journal of psychopharmacology (Oxford, England), 24(8), 1253-1259 (2008-12-17)
Quantitative real-time polymerase chain reaction (PCR) is an effective approach in investigating the effects of exogenous compounds on gene expression. This is often achieved by exploiting so-called 'housekeeping' genes as baseline controls to normalise expression levels, which have historically been
David R L Robinson et al.
Frontiers in cell and developmental biology, 10, 786268-786268 (2022-03-19)
Mitochondria are complex organelles containing 13 proteins encoded by mitochondrial DNA and over 1,000 proteins encoded on nuclear DNA. Many mitochondrial proteins are associated with the inner or outer mitochondrial membranes, either peripherally or as integral membrane proteins, while others
Emanuela Bottani et al.
Molecular cell, 67(1), 96-105 (2017-07-05)
Loss-of-function mutations in TTC19 (tetra-tricopeptide repeat domain 19) have been associated with severe neurological phenotypes and mitochondrial respiratory chain complex III deficiency. We previously demonstrated the mitochondrial localization of TTC19 and its link with complex III biogenesis. Here we provide



Global Trade Item Number

SKUGTIN
HPA001247-25UL04061842772391
HPA001247-100UL04061836318604