Skip to Content
Merck
CN

HPA002691

Anti-MRE11 antibody produced in rabbit

Prestige Antibodies® Powered by Atlas Antibodies, affinity isolated antibody, buffered aqueous glycerol solution

Synonym(s):

Anti-ATLD, Anti-MRE11A, Anti-Double-strand break repair protein MRE11A antibody produced in rabbit, Anti-MRE11 homolog 1 antibody produced in rabbit, Anti-MRE11 meiotic recombination 11 homolog A antibody produced in rabbit

Sign In to View Organizational & Contract Pricing.

Select a Size

Change View

About This Item

UNSPSC Code:
12352203
Human Protein Atlas Number:
NACRES:
NA.41
MDL number:
Conjugate:
unconjugated
Clone:
polyclonal
Application:
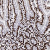
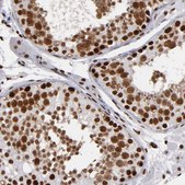
IF, IHC
Citations:
10
Technical Service
Need help? Our team of experienced scientists is here for you.
Let Us Assist


biological source

rabbit

Quality Level

conjugate

unconjugated

antibody form

affinity isolated antibody

antibody product type

primary antibodies

clone

polyclonal

product line

Prestige Antibodies® Powered by Atlas Antibodies

form

buffered aqueous glycerol solution

species reactivity

mouse, human, rat

technique(s)

immunoblotting: 0.04-0.4 μg/mL, immunofluorescence: 0.25-2 μg/mL, immunohistochemistry: 1:200-1:500

immunogen sequence

EESASAFSADDLMSIDLAEQMANDSDDSISAATNKGRGRGRGRRGGRGQNSASRGGSQRGRADTGLETSTRSRNSKTAVSASRNMSIIDAFKSTRQQPSRNVTTKNYSEVIEVDESDVEEDIFPTTSKTDQRWSSTSSSK

shipped in

wet ice

storage temp.

−20°C

target post-translational modification

unmodified

Gene Information

human ... MRE11A(4361)

General description

MRE11A (MRE11 homolog A), a nuclear protein, shows similarity with its yeast counterpart at the amino-terminal half. It is highly expressed in proliferating tissues along with other tissues. It is composed of the nuclease and capping domains. It forms dimer structure through the interfaces in two ways: β3-α3 loop from one MRE11 and loop β4-β5 from another MRE11 as well as loop α2-β3 from one MRE11A and helices α2-α3 from another MRE11.

Immunogen

MRE11 homolog, double strand break repair nuclease recombinant protein epitope signature tag (PrEST)

Application

All Prestige Antibodies Powered by Atlas Antibodies are developed and validated by the Human Protein Atlas (HPA) project and as a result, are supported by the most extensive characterization in the industry.

The Human Protein Atlas project can be subdivided into three efforts: Human Tissue Atlas, Cancer Atlas, and Human Cell Atlas. The antibodies that have been generated in support of the Tissue and Cancer Atlas projects have been tested by immunohistochemistry against hundreds of normal and disease tissues and through the recent efforts of the Human Cell Atlas project, many have been characterized by immunofluorescence to map the human proteome not only at the tissue level but now at the subcellular level. These images and the collection of this vast data set can be viewed on the Human Protein Atlas (HPA) site by clicking on the Image Gallery link. We also provide Prestige Antibodies® protocols and other useful information.

Biochem/physiol Actions

MRE11A (MRE11 homolog A) is a DNA repair protein which acts on double strand DNA damage by cleaving broken ends. In addition, it also participates in DNA replication and telomere maintenance. MRE11A exhibits 3′ to 5′ exonuclease activity. MRE11A mutation leads to the ataxia telangiectasia-like disorder (ATLD).

Features and Benefits

Prestige Antibodies® are highly characterized and extensively validated antibodies with the added benefit of all available characterization data for each target being accessible via the Human Protein Atlas portal linked just below the product name at the top of this page. The uniqueness and low cross-reactivity of the Prestige Antibodies® to other proteins are due to a thorough selection of antigen regions, affinity purification, and stringent selection. Prestige antigen controls are available for every corresponding Prestige Antibody and can be found in the linkage section.

Every Prestige Antibody is tested in the following ways:
  • IHC tissue array of 44 normal human tissues and 20 of the most common cancer type tissues.
  • Protein array of 364 human recombinant protein fragments.

Physical form

Solution in phosphate-buffered saline, pH 7.2, containing 40% glycerol and 0.02% sodium azide

Other Notes

Corresponding Antigen APREST78243

Legal Information

Prestige Antibodies is a registered trademark of Merck KGaA, Darmstadt, Germany

Disclaimer

Unless otherwise stated in our catalog or other company documentation accompanying the product(s), our products are intended for research use only and are not to be used for any other purpose, which includes but is not limited to, unauthorized commercial uses, in vitro diagnostic uses, ex vivo or in vivo therapeutic uses or any type of consumption or application to humans or animals.


Still not finding the right product?

Try our Product Selector Tool to narrow your options


Storage Class

10 - Combustible liquids

wgk

WGK 1

flash_point_f

Not applicable

flash_point_c

Not applicable

ppe

Eyeshields, Gloves, multi-purpose combination respirator cartridge (US)

Regulatory Information

新产品

This item has



Choose from one of the most recent versions:

Certificates of Analysis (COA)

Lot/Batch Number

Don't see the Right Version?

If you require a particular version, you can look up a specific certificate by the Lot or Batch number.

Already Own This Product?

Find documentation for the products that you have recently purchased in the Document Library.

Visit the Document Library


Related Content

Prestige Antibodies Immunofluorescence Procedure


S A Pitts et al.
Human molecular genetics, 10(11), 1155-1162 (2001-05-24)
We showed recently that mutation of the hMRE11 gene identified a new ataxia telangiectasia-like disorder (ATLD). In this report we describe the genomic organization of the hMRE11 gene and the analysis of a promoter region that appears to direct the
T T Paull et al.
Molecular cell, 1(7), 969-979 (1998-07-04)
MRE11 and RAD50 are known to be required for nonhomologous joining of DNA ends in vivo. We have investigated the enzymatic activities of the purified proteins and found that Mre11 by itself has 3' to 5' exonuclease activity that is
Shyng-Shiou F Yuan et al.
Journal of the National Cancer Institute, 104(19), 1485-1502 (2012-08-24)
Previous studies have shown that altered forms of MRE11, a protein known to play a vital role in DNA double-strand break repair, DNA replication, and telomere maintenance are associated with cancer outcomes. We investigated the role of MRE11 in breast



Global Trade Item Number

SKUGTIN
HPA002691-100UL04061837134036
HPA002691-25UL04061842781638