Skip to Content
Merck
CN

HPA003130

Anti-EBP antibody produced in rabbit

Prestige Antibodies® Powered by Atlas Antibodies, affinity isolated antibody, buffered aqueous glycerol solution

Synonym(s):

Anti-Δ87 sterol isomerase antibody produced in rabbit, Anti-3-β-Hydroxysteroid-Δ87-isomerase antibody produced in rabbit, Anti-Cholestenol Δ-isomerase antibody produced in rabbit, Anti-D8-D7 sterol isomerase antibody produced in rabbit, Anti-Emopamil-binding protein antibody produced in rabbit

Sign In to View Organizational & Contract Pricing.

Select a Size

Change View

About This Item

UNSPSC Code:
12352203
NACRES:
NA.43
Human Protein Atlas Number:
Clone:
polyclonal
Conjugate:
unconjugated
Application:
IF, IHC
Citations:
4
Technical Service
Need help? Our team of experienced scientists is here for you.
Let Us Assist


biological source

rabbit

Quality Level

conjugate

unconjugated

antibody form

affinity isolated antibody

antibody product type

primary antibodies

clone

polyclonal

product line

Prestige Antibodies® Powered by Atlas Antibodies

form

buffered aqueous glycerol solution

species reactivity

human

technique(s)

immunofluorescence: 0.25-2 μg/mL, immunohistochemistry: 1:20-1:50

immunogen sequence

YEDLLGDQAFLSQLWKEYAKGDSRYILGDNF

UniProt accession no.

shipped in

wet ice

storage temp.

−20°C

target post-translational modification

unmodified

Gene Information

human ... EBP(10682)

General description

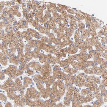
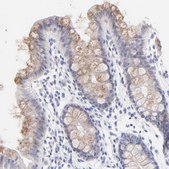
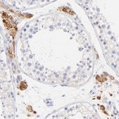
The gene EBP (emopamil binding protein), also referred to as CDPX2, is mapped to human chromosome Xp11.23-p11.22. The encoded protein is sublocalized in the ER (endoplasmic reticulum) and is expressed abundantly in the liver. It is also expressed in several other tissues.

Immunogen

3-β-Hydroxysteroid-Δ87-isomerase recombinant protein epitope signature tag (PrEST)

Application

All Prestige Antibodies Powered by Atlas Antibodies are developed and validated by the Human Protein Atlas (HPA) project and as a result, are supported by the most extensive characterization in the industry.

The Human Protein Atlas project can be subdivided into three efforts: Human Tissue Atlas, Cancer Atlas, and Human Cell Atlas. The antibodies that have been generated in support of the Tissue and Cancer Atlas projects have been tested by immunohistochemistry against hundreds of normal and disease tissues and through the recent efforts of the Human Cell Atlas project, many have been characterized by immunofluorescence to map the human proteome not only at the tissue level but now at the subcellular level. These images and the collection of this vast data set can be viewed on the Human Protein Atlas (HPA) site by clicking on the Image Gallery link. We also provide Prestige Antibodies® protocols and other useful information.

Biochem/physiol Actions

EBP (emopamil binding protein) gene encodes an integral membrane protein of the endoplasmic reticulum. It serves as a binding protein for the phenylalkylamine Ca2+ antagonist emopamil. It is a high affinity receptor for antiischemic drugs and a potential target for antiischemic drug action. It contains sigma binding sites. The protein catalyzes the conversion of Δ8-sterols to their corresponding Δ7-isomers. Mutations in this gene cause Conradi-Hünermann syndrome characterized by aberrant punctate calcification in cartilage, or chondrodysplasia punctata (CDP).

Features and Benefits

Prestige Antibodies® are highly characterized and extensively validated antibodies with the added benefit of all available characterization data for each target being accessible via the Human Protein Atlas portal linked just below the product name at the top of this page. The uniqueness and low cross-reactivity of the Prestige Antibodies® to other proteins are due to a thorough selection of antigen regions, affinity purification, and stringent selection. Prestige antigen controls are available for every corresponding Prestige Antibody and can be found in the linkage section.

Every Prestige Antibody is tested in the following ways:
  • IHC tissue array of 44 normal human tissues and 20 of the most common cancer type tissues.
  • Protein array of 364 human recombinant protein fragments.

Physical form

Solution in phosphate-buffered saline, pH 7.2, containing 40% glycerol and 0.02% sodium azide

Other Notes

Corresponding Antigen APREST74392

Legal Information

Prestige Antibodies is a registered trademark of Merck KGaA, Darmstadt, Germany


Still not finding the right product?

Try our Product Selector Tool to narrow your options


Storage Class

10 - Combustible liquids

wgk

WGK 1

flash_point_f

Not applicable

flash_point_c

Not applicable

ppe

Eyeshields, Gloves, multi-purpose combination respirator cartridge (US)

Regulatory Information

低风险生物材料
常规特殊物品

This item has



Choose from one of the most recent versions:

Certificates of Analysis (COA)

Lot/Batch Number

Don't see the Right Version?

If you require a particular version, you can look up a specific certificate by the Lot or Batch number.

Already Own This Product?

Find documentation for the products that you have recently purchased in the Document Library.

Visit the Document Library


Related Content

Prestige Antibodies Immunofluorescence Procedure


N Braverman et al.
Nature genetics, 22(3), 291-294 (1999-07-03)
X-linked dominant Conradi-Hünermann syndrome (CDPX2; MIM 302960) is one of a group of disorders with aberrant punctate calcification in cartilage, or chondrodysplasia punctata (CDP). This is most prominent around the vertebral column, pelvis and long bones in CPDX2. Additionally, CDPX2
M Hanner et al.
The Journal of biological chemistry, 270(13), 7551-7557 (1995-03-31)
We recently characterized (Moebius, F. F., Burrows, G. G., Striessnig, J., and Glossmann H. (1993) Mol. Pharmacol. 43, 139-144) and purified (Moebius, F. F., Hanner, M., Knaus, H. G., Weber, F., Striessnig, J., and Glossmann, H. (1994) J. Biol. Chem.
A W El-Hattab et al.
Clinical genetics, 79(6), 531-538 (2010-07-29)
We report an ~1.3 Mb tandem duplication at Xp11.23p11.3 in an 11-year-old boy with pleasant personality, hyperactivity, learning and visual-spatial difficulties, relative microcephaly, long face, stellate iris pattern, and periorbital fullness. This clinical presentation is milder and distinct from that



Global Trade Item Number

SKUGTIN
HPA003130-100UL04061835668366
HPA003130-25UL04061841340447