Skip to Content
Merck
CN

HPA004748

Anti-TLN1 antibody produced in rabbit

Prestige Antibodies® Powered by Atlas Antibodies, affinity isolated antibody, buffered aqueous glycerol solution

Synonym(s):

Anti-Talin-1

Sign In to View Organizational & Contract Pricing.

Select a Size

Change View

About This Item

UNSPSC Code:
12352203
NACRES:
NA.41
Human Protein Atlas Number:
Conjugate:
unconjugated
Clone:
polyclonal
Application:
IF, IHC
Citations:
6
Technical Service
Need help? Our team of experienced scientists is here for you.
Let Us Assist


biological source

rabbit

Quality Level

conjugate

unconjugated

antibody form

affinity isolated antibody

antibody product type

primary antibodies

clone

polyclonal

product line

Prestige Antibodies® Powered by Atlas Antibodies

form

buffered aqueous glycerol solution

species reactivity

human

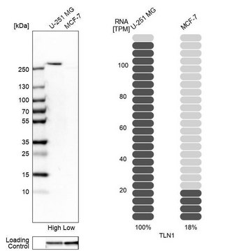
enhanced validation

orthogonal RNAseq
Learn more about Antibody Enhanced Validation

technique(s)

immunoblotting: 0.04-0.4 μg/mL, immunofluorescence: 0.25-2 μg/mL, immunohistochemistry: 1:200-1:500

immunogen sequence

LLYTAKEAGGNPKQAAHTQEALEEAVQMMTEAVEDLTTTLNEAASAAGVVGGMVDSITQAINQLDEGPMGEPEGSFVDYQTTMVRTAKAIAVTVQEMVTKSNTSP

UniProt accession no.

shipped in

wet ice

storage temp.

−20°C

target post-translational modification

unmodified

Gene Information

human ... TLN1(7094)

General description

TLN1 (talin 1) is a cytoskeletal protein expressed at cell-extracellular matrix. It is generally a high-molecular-weight molecule, widely distributed from molds to humans. In human, it is localized in a wide range of cells including leukocytes, lung, placenta, liver, kidney, spleen, thymus, colon, skeletal muscle, and heart.

Immunogen

Talin-1 recombinant protein epitope signature tag (PrEST)

Application

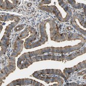
Anti-TLN1 antibody produced in rabbit, a Prestige Antibody, is developed and validated by the Human Protein Atlas (HPA) project . Each antibody is tested by immunohistochemistry against hundreds of normal and disease tissues. These images can be viewed on the Human Protein Atlas (HPA) site by clicking on the Image Gallery link. The antibodies are also tested using immunofluorescence and western blotting. To view these protocols and other useful information about Prestige Antibodies and the HPA, visit sigma.com/prestige.

Biochem/physiol Actions

TLN1 (talin 1) is involved in the organization of actin filaments. It is also associated with cell spreading and migrating of several cell types. It is associated with tumor formation, migration, and metastasis in different types of cancer. TLN1 helps in cell adhesion by controlling the integrin interactions with extracellular matrix (ECM). It has been reported as a potential diagnostic marker for hepatocellular carcinoma (HCC).

Features and Benefits

Prestige Antibodies® are highly characterized and extensively validated antibodies with the added benefit of all available characterization data for each target being accessible via the Human Protein Atlas portal linked just below the product name at the top of this page. The uniqueness and low cross-reactivity of the Prestige Antibodies® to other proteins are due to a thorough selection of antigen regions, affinity purification, and stringent selection. Prestige antigen controls are available for every corresponding Prestige Antibody and can be found in the linkage section.

Every Prestige Antibody is tested in the following ways:
  • IHC tissue array of 44 normal human tissues and 20 of the most common cancer type tissues.
  • Protein array of 364 human recombinant protein fragments.

Physical form

Solution in phosphate-buffered saline, pH 7.2, containing 40% glycerol and 0.02% sodium azide

Other Notes

Corresponding Antigen APREST70091

Legal Information

Prestige Antibodies is a registered trademark of Merck KGaA, Darmstadt, Germany

Disclaimer

Unless otherwise stated in our catalog or other company documentation accompanying the product(s), our products are intended for research use only and are not to be used for any other purpose, which includes but is not limited to, unauthorized commercial uses, in vitro diagnostic uses, ex vivo or in vivo therapeutic uses or any type of consumption or application to humans or animals.


Still not finding the right product?

Try our Product Selector Tool to narrow your options


Storage Class

10 - Combustible liquids

wgk

WGK 1

ppe

Eyeshields, Gloves, multi-purpose combination respirator cartridge (US)

Regulatory Information

低风险生物材料
常规特殊物品

This item has



Choose from one of the most recent versions:

Certificates of Analysis (COA)

Lot/Batch Number

Don't see the Right Version?

If you require a particular version, you can look up a specific certificate by the Lot or Batch number.

Already Own This Product?

Find documentation for the products that you have recently purchased in the Document Library.

Visit the Document Library


Related Content

Prestige Antibodies Immunofluorescence Procedure


Kun-Peng Fang et al.
Asian Pacific journal of cancer prevention : APJCP, 15(6), 2655-2661 (2014-04-26)
Talin-1 is a cytoskeleton protein that participates in cell migration and plays a role in tumor formation, migration, and metastasis in different types of cancer. Chinese investigators have observed that the levels of Talin-1 protein and mRNA expression in HCC
Narendra Thapa et al.
The Journal of biological chemistry, 288(48), 34707-34718 (2013-10-24)
A fundamental property of tumor cells is to defy anoikis, cell death caused by a lack of cell-matrix interaction, and grow in an anchorage-independent manner. How tumor cells organize signaling molecules at the plasma membrane to sustain oncogenic signals in
Jian-Lin Zhang et al.
Asian Pacific journal of cancer prevention : APJCP, 12(12), 3265-3269 (2011-01-01)
Hepatocellular carcinoma (HCC) is one of the most lethal and prevalent cancers in the human population. Despite its significance, there is only limited understanding of pathological mechanisms and therapeutic options. Talin1, a focal adhesion complex protein that is required for



Global Trade Item Number

SKUGTIN
HPA004748-100UL04061837135385
HPA004748-25UL04061842768158