Skip to Content
Merck
CN

HPA004856

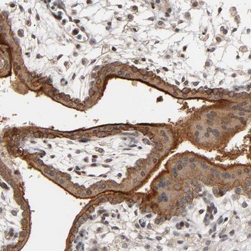
Anti-Integrin αV (ITGAV/CD51) Antibody

Prestige Antibodies® Powered by Atlas Antibodies, rabbit polyclonal

Synonym(s):

Anti-CD51, Anti-MSK8, Anti-VNRA, Anti-VTNR

Sign In to View Organizational & Contract Pricing.

Select a Size

Change View

About This Item

UNSPSC Code:
12352203
NACRES:
NA.43
Human Protein Atlas Number:
Conjugate:
unconjugated
Clone:
polyclonal
Application:
IF, IHC
Citations:
5
Technical Service
Need help? Our team of experienced scientists is here for you.
Let Us Assist


Product Name

Anti-ITGAV antibody produced in rabbit, Prestige Antibodies® Powered by Atlas Antibodies, affinity isolated antibody, buffered aqueous glycerol solution

biological source

rabbit

Quality Level

conjugate

unconjugated

antibody form

affinity isolated antibody

antibody product type

primary antibodies

clone

polyclonal

product line

Prestige Antibodies® Powered by Atlas Antibodies

form

buffered aqueous glycerol solution

species reactivity

human

technique(s)

immunofluorescence: 0.25-2 μg/mL, immunohistochemistry: 1:200-1:500

immunogen sequence

DHLITKRDLALSEGDIHTLGCGVAQCLKIVCQVGRLDRGKSAILYVKSLLWTETFMNKENQNHSYSLKSSASFNVIEFPYKNLPIEDITNSTLVTTNVTWG

UniProt accession no.

shipped in

wet ice

storage temp.

−20°C

target post-translational modification

unmodified

Gene Information

human ... ITGAV(3685)

Immunogen

Integrin alpha-V precursor recombinant protein epitope signature tag (PrEST)

Application

All Prestige Antibodies Powered by Atlas Antibodies are developed and validated by the Human Protein Atlas (HPA) project and as a result, are supported by the most extensive characterization in the industry.

The Human Protein Atlas project can be subdivided into three efforts: Human Tissue Atlas, Cancer Atlas, and Human Cell Atlas. The antibodies that have been generated in support of the Tissue and Cancer Atlas projects have been tested by immunohistochemistry against hundreds of normal and disease tissues and through the recent efforts of the Human Cell Atlas project, many have been characterized by immunofluorescence to map the human proteome not only at the tissue level but now at the subcellular level. These images and the collection of this vast data set can be viewed on the Human Protein Atlas (HPA) site by clicking on the Image Gallery link. We also provide Prestige Antibodies® protocols and other useful information.

Biochem/physiol Actions

ITGAV (integrin, aV) is a key molecule in the cell adhesion of carcinoma cells. It belongs to the cell adhesion molecule family of integrins. It consists of two subunits, α and β subunit. Both the subunits are linked by a disulfide bridge. It facilitates the cell adhesion of vitronectin and fibronectin to the cell matrix. ITGAV is associated with the tumor angiogenesis and tumor progression of several type of cancers. Overexpression of the protein has been documented in advanced stage of colorectal cancer (CRC).

Features and Benefits

Prestige Antibodies® are highly characterized and extensively validated antibodies with the added benefit of all available characterization data for each target being accessible via the Human Protein Atlas portal linked just below the product name at the top of this page. The uniqueness and low cross-reactivity of the Prestige Antibodies® to other proteins are due to a thorough selection of antigen regions, affinity purification, and stringent selection. Prestige antigen controls are available for every corresponding Prestige Antibody and can be found in the linkage section.

Every Prestige Antibody is tested in the following ways:
  • IHC tissue array of 44 normal human tissues and 20 of the most common cancer type tissues.
  • Protein array of 364 human recombinant protein fragments.

Physical form

Solution in phosphate-buffered saline, pH 7.2, containing 40% glycerol and 0.02% sodium azide

Other Notes

Corresponding Antigen APREST70094

Legal Information

Prestige Antibodies is a registered trademark of Merck KGaA, Darmstadt, Germany

Disclaimer

Unless otherwise stated in our catalog or other company documentation accompanying the product(s), our products are intended for research use only and are not to be used for any other purpose, which includes but is not limited to, unauthorized commercial uses, in vitro diagnostic uses, ex vivo or in vivo therapeutic uses or any type of consumption or application to humans or animals.


Still not finding the right product?

or

Try our Product Selector Tool to narrow your options


Storage Class

10 - Combustible liquids

wgk

WGK 1

flash_point_f

Not applicable

flash_point_c

Not applicable

ppe

Eyeshields, Gloves, multi-purpose combination respirator cartridge (US)

Regulatory Information

低风险生物材料
常规特殊物品

This item has



Choose from one of the most recent versions:

Certificates of Analysis (COA)

Lot/Batch Number

Don't see the Right Version?

If you require a particular version, you can look up a specific certificate by the Lot or Batch number.

Already Own This Product?

Find documentation for the products that you have recently purchased in the Document Library.

Visit the Document Library



Sang Yun Ha et al.
Journal of clinical pathology, 67(7), 576-581 (2014-04-04)
Integrin αv subunits are involved in tumour angiogenesis and tumour progression in various types of cancers. Clinical trials evaluating agents targeting integrin αv are ongoing. Integrin αv expression has been reported in several cancers in association with tumour progression or
M V Agrez et al.
Virology, 239(1), 71-77 (1998-01-14)
Viral entry into host cells depends upon specific interactions between virus attachment proteins and cell surface receptors that enable virus binding and internalization of virus and/or the virus-receptor complex. We have recently reported that the ubiquitous cell surface molecule, decay-accelerating
Oleg V Krokhin et al.
Biochemistry, 42(44), 12950-12959 (2003-11-05)
Integrins are one of the major mediators of cellular adherence. Structurally the component alpha and beta chains are characterized by extensive intrachain disulfide bonding. The assignment of these bonds is currently based on homology with the chains of the integrin



Global Trade Item Number

SKUGTIN
HPA004856-100UL04061837135491
HPA004856-25UL04061842768523