Skip to Content
Merck
CN

HPA008691

Anti-AKAP1 antibody produced in rabbit

Prestige Antibodies® Powered by Atlas Antibodies, affinity isolated antibody, buffered aqueous glycerol solution

Synonym(s):

Anti-AKAP121, Anti-AKAP149, Anti-AKAP84, Anti-D-AKAP1, Anti-PPP1R43, Anti-PRKA1, Anti-S-AKAP84, Anti-SAKAP84, Anti-TDRD17

Sign In to View Organizational & Contract Pricing.

Select a Size

Change View

About This Item

UNSPSC Code:
12352203
NACRES:
NA.43
Human Protein Atlas Number:
Conjugate:
unconjugated
Clone:
polyclonal
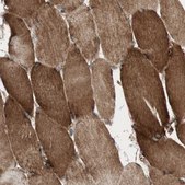
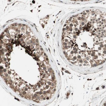
Application:
IHC
Citations:
7
Technical Service
Need help? Our team of experienced scientists is here for you.
Let Us Assist


biological source

rabbit

Quality Level

conjugate

unconjugated

antibody form

affinity isolated antibody

antibody product type

primary antibodies

clone

polyclonal

product line

Prestige Antibodies® Powered by Atlas Antibodies

form

buffered aqueous glycerol solution

species reactivity

human

technique(s)

immunoblotting: 0.04-0.4 μg/mL, immunohistochemistry: 1:200-1:500

immunogen sequence

EHVLELENSKGPSLASLEGEEDKGKSSSSQVVGPVQEEEYVAEKLPSRFIESAHTELAKDDAAPAPPVADAKAQDRGVEGELGNEESLDRNEEGLDRNEEGLDRNEESLDRNEEGLDRNEEIKRAAFQIISQVISEATEQV

UniProt accession no.

shipped in

wet ice

storage temp.

−20°C

target post-translational modification

unmodified

Gene Information

human ... AKAP1(8165)

General description

AKAP1 (A-kinase anchoring protein 1) is a member of the AKAP family of proteins that act as recruiters and aid in compartmentalization of PKA (protein kinase A) and other enzymes. It is a mitochondrial scaffold protein, which is composed of K-homology motifs. This gene is localized to human chromosome 17q22.

Immunogen

A kinase anchor protein 1, mitochondrial precursor recombinant protein epitope signature tag (PrEST)

Application

All Prestige Antibodies Powered by Atlas Antibodies are developed and validated by the Human Protein Atlas (HPA) project and as a result, are supported by the most extensive characterization in the industry.

The Human Protein Atlas project can be subdivided into three efforts: Human Tissue Atlas, Cancer Atlas, and Human Cell Atlas. The antibodies that have been generated in support of the Tissue and Cancer Atlas projects have been tested by immunohistochemistry against hundreds of normal and disease tissues and through the recent efforts of the Human Cell Atlas project, many have been characterized by immunofluorescence to map the human proteome not only at the tissue level but now at the subcellular level. These images and the collection of this vast data set can be viewed on the Human Protein Atlas (HPA) site by clicking on the Image Gallery link. We also provide Prestige Antibodies® protocols and other useful information.

Biochem/physiol Actions

AKAP1 (A-kinase anchoring protein 1) plays an essential role in the synthesis of non-coding and coding RNA, by directly binding to the RNA. It plays an essential role in steroidogenesis, by anchoring the STAR (steroidogenic acute regulatory) mRNA to mitochondria. Thus, it influences the synthesis of STAR protein and steroids. During G1 phase, this protein helps maintain the integrity of nucleus and hence, cell survival, by controlling PP1 (protein phosphatase1) activity at the nuclear envelope.

Features and Benefits

Prestige Antibodies® are highly characterized and extensively validated antibodies with the added benefit of all available characterization data for each target being accessible via the Human Protein Atlas portal linked just below the product name at the top of this page. The uniqueness and low cross-reactivity of the Prestige Antibodies® to other proteins are due to a thorough selection of antigen regions, affinity purification, and stringent selection. Prestige antigen controls are available for every corresponding Prestige Antibody and can be found in the linkage section.

Every Prestige Antibody is tested in the following ways:
  • IHC tissue array of 44 normal human tissues and 20 of the most common cancer type tissues.
  • Protein array of 364 human recombinant protein fragments.

Physical form

Solution in phosphate-buffered saline, pH 7.2, containing 40% glycerol and 0.02% sodium azide

Other Notes

Corresponding Antigen APREST71862

Legal Information

Prestige Antibodies is a registered trademark of Merck KGaA, Darmstadt, Germany

Disclaimer

Unless otherwise stated in our catalog or other company documentation accompanying the product(s), our products are intended for research use only and are not to be used for any other purpose, which includes but is not limited to, unauthorized commercial uses, in vitro diagnostic uses, ex vivo or in vivo therapeutic uses or any type of consumption or application to humans or animals.


Still not finding the right product?

or

Try our Product Selector Tool to narrow your options


Storage Class

10 - Combustible liquids

wgk

WGK 1

flash_point_f

Not applicable

flash_point_c

Not applicable

ppe

Eyeshields, Gloves, multi-purpose combination respirator cartridge (US)

Regulatory Information

新产品

This item has



Choose from one of the most recent versions:

Certificates of Analysis (COA)

Lot/Batch Number

Don't see the Right Version?

If you require a particular version, you can look up a specific certificate by the Lot or Batch number.

Already Own This Product?

Find documentation for the products that you have recently purchased in the Document Library.

Visit the Document Library


Related Content

Prestige Antibodies Immunofluorescence Procedure


G Trendelenburg et al.
Biochemical and biophysical research communications, 225(1), 313-319 (1996-08-05)
The cytosolic cAMP activates in eukaryotic cells several isoforms of cAMP-dependent protein kinase (PKAs) involved in signal transduction. The effects of individual PKA isoforms are determined by their cellular localisation, specified through binding to distinct A Kinase Anchor Proteins (AKAPs).
Petar N Grozdanov et al.
Molecular endocrinology (Baltimore, Md.), 26(12), 2104-2117 (2012-10-19)
One of the key regulators of acute steroid hormone biosynthesis in steroidogenic tissues is the steroidogenic acute regulatory (STAR) protein. Acute regulation of STAR production on the transcriptional level is mainly achieved through a cAMP-dependent mechanism, which is well understood.
Xiuhong Pang et al.
PloS one, 10(3), e0120816-e0120816 (2015-03-31)
Microdeletions in chromosome 17q22, where the NOG gene resides, have been reported leading to the NOG-related symphalangism spectrum disorder (NOG-SSD), intellectual disability and other developmental abnormalities. In this study we reported a dominant Chinese Han family segregating with typical NOG-SSD



Global Trade Item Number

SKUGTIN
HPA008691-100UL04061836299866
HPA008691-25UL04061842796984