Skip to Content
Merck
CN

HPA011218

Anti-CDHR3 antibody produced in rabbit

Prestige Antibodies® Powered by Atlas Antibodies, affinity isolated antibody, buffered aqueous glycerol solution

Synonym(s):

Anti-AC004836.2, Anti-CDNA FLJ44366 fis, clone TRACH3008629, weakly similar to Cadherin-related tumor suppressor, Anti-CTA-351J1.1, Anti-Hypothetical protein FLJ23834, Anti-NP_689963.2

Sign In to View Organizational & Contract Pricing.

Select a Size

Change View

About This Item

UNSPSC Code:
12352203
NACRES:
NA.41
Human Protein Atlas Number:
Conjugate:
unconjugated
Clone:
polyclonal
Application:
IHC
Citations:
4
Technical Service
Need help? Our team of experienced scientists is here for you.
Let Us Assist


biological source

rabbit

Quality Level

conjugate

unconjugated

antibody form

affinity isolated antibody

antibody product type

primary antibodies

clone

polyclonal

product line

Prestige Antibodies® Powered by Atlas Antibodies

form

buffered aqueous glycerol solution

species reactivity

human

enhanced validation

orthogonal RNAseq
Learn more about Antibody Enhanced Validation

technique(s)

immunohistochemistry: 1:500-1:1000

immunogen sequence

LTQMPKWKESSHQGAAPRRVTAGEGMGSLRSANWEEDELSGKAWAEDAGLGSRNEGGKLGNPKNRNPAFMNRAYPKPHPGK

shipped in

wet ice

storage temp.

−20°C

target post-translational modification

unmodified

Gene Information

human ... CDHR3(222256)

General description

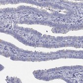
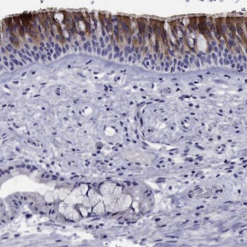
CDHR3 (cadherin-related family member 3) has a high level of expression in the epithelium of airway.

Immunogen

Cadherin-like protein 28 precursor recombinant protein epitope signature tag (PrEST)

Application

All Prestige Antibodies Powered by Atlas Antibodies are developed and validated by the Human Protein Atlas (HPA) project and as a result, are supported by the most extensive characterization in the industry.

The Human Protein Atlas project can be subdivided into three efforts: Human Tissue Atlas, Cancer Atlas, and Human Cell Atlas. The antibodies that have been generated in support of the Tissue and Cancer Atlas projects have been tested by immunohistochemistry against hundreds of normal and disease tissues and through the recent efforts of the Human Cell Atlas project, many have been characterized by immunofluorescence to map the human proteome not only at the tissue level but now at the subcellular level. These images and the collection of this vast data set can be viewed on the Human Protein Atlas (HPA) site by clicking on the Image Gallery link. We also provide Prestige Antibodies® protocols and other useful information.

Biochem/physiol Actions

CDHR3 (cadherin-related family member 3) is a susceptibility gene for early childhood asthma. Studies show that high expression of this protein facilitates the binding and replication of rhinovirus C (RV-C). This virus increases the likelihood of wheezing illness and asthma exacerbations.

Features and Benefits

Prestige Antibodies® are highly characterized and extensively validated antibodies with the added benefit of all available characterization data for each target being accessible via the Human Protein Atlas portal linked just below the product name at the top of this page. The uniqueness and low cross-reactivity of the Prestige Antibodies® to other proteins are due to a thorough selection of antigen regions, affinity purification, and stringent selection. Prestige antigen controls are available for every corresponding Prestige Antibody and can be found in the linkage section.

Every Prestige Antibody is tested in the following ways:
  • IHC tissue array of 44 normal human tissues and 20 of the most common cancer type tissues.
  • Protein array of 364 human recombinant protein fragments.

Physical form

Solution in phosphate-buffered saline, pH 7.2, containing 40% glycerol and 0.02% sodium azide

Other Notes

Corresponding Antigen APREST71898

Legal Information

Prestige Antibodies is a registered trademark of Merck KGaA, Darmstadt, Germany

Disclaimer

Unless otherwise stated in our catalog or other company documentation accompanying the product(s), our products are intended for research use only and are not to be used for any other purpose, which includes but is not limited to, unauthorized commercial uses, in vitro diagnostic uses, ex vivo or in vivo therapeutic uses or any type of consumption or application to humans or animals.


Still not finding the right product?

Try our Product Selector Tool to narrow your options


Storage Class

10 - Combustible liquids

wgk

WGK 1

flash_point_f

Not applicable

flash_point_c

Not applicable

ppe

Eyeshields, Gloves, multi-purpose combination respirator cartridge (US)

Regulatory Information

常规特殊物品
低风险生物材料

This item has



Choose from one of the most recent versions:

Certificates of Analysis (COA)

Lot/Batch Number

Don't see the Right Version?

If you require a particular version, you can look up a specific certificate by the Lot or Batch number.

Already Own This Product?

Find documentation for the products that you have recently purchased in the Document Library.

Visit the Document Library



Theodor F Griggs et al.
Respiratory research, 18(1), 84-84 (2017-05-06)
The Rhinovirus C (RV-C), first identified in 2006, produce high symptom burdens in children and asthmatics, however, their primary target host cell in the airways remains unknown. Our primary hypotheses were that RV-C target ciliated airway epithelial cells (AECs), and
Klaus Bønnelykke et al.
Nature genetics, 46(1), 51-55 (2013-11-19)
Asthma exacerbations are among the most frequent causes of hospitalization during childhood, but the underlying mechanisms are poorly understood. We performed a genome-wide association study of a specific asthma phenotype characterized by recurrent, severe exacerbations occurring between 2 and 6
Yury A Bochkov et al.
Proceedings of the National Academy of Sciences of the United States of America, 112(17), 5485-5490 (2015-04-08)
Members of rhinovirus C (RV-C) species are more likely to cause wheezing illnesses and asthma exacerbations compared with other rhinoviruses. The cellular receptor for these viruses was heretofore unknown. We report here that expression of human cadherin-related family member 3



Global Trade Item Number

SKUGTIN
HPA011218-100UL04061836301309
HPA011218-25UL04061842817726