Skip to Content
Merck
CN

HPA012911

Anti-ATP1B1 antibody produced in rabbit

Prestige Antibodies® Powered by Atlas Antibodies, affinity isolated antibody, buffered aqueous glycerol solution

Synonym(s):

Anti-Sodium/potassium- dependent ATPase subunit beta-1, Anti-Sodium/potassium-transporting ATPase subunit beta-1

Sign In to View Organizational & Contract Pricing.

Select a Size

Change View

About This Item

UNSPSC Code:
12352203
NACRES:
NA.41
Human Protein Atlas Number:
Conjugate:
unconjugated
Clone:
polyclonal
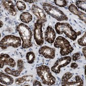
Application:
IHC
Citations:
6
Technical Service
Need help? Our team of experienced scientists is here for you.
Let Us Assist


biological source

rabbit

Quality Level

conjugate

unconjugated

antibody form

affinity isolated antibody

antibody product type

primary antibodies

clone

polyclonal

product line

Prestige Antibodies® Powered by Atlas Antibodies

form

buffered aqueous glycerol solution

species reactivity

human

enhanced validation

orthogonal RNAseq
Learn more about Antibody Enhanced Validation

technique(s)

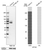
immunoblotting: 0.04-0.4 μg/mL, immunohistochemistry: 1:200-1:500

immunogen sequence

SEFKPTYQDRVAPPGLTQIPQIQKTEISFRPNDPKSYEAYVLNIVRFLEKYKDSAQRDDMIFEDCGDVPSEPKERGDFNHERGERKVCRFKLEWLGNCSGLNDETYGYKEGKPCIIIKLNRVLGFKPKPPKNESLETYPVMKYNPN

UniProt accession no.

shipped in

wet ice

storage temp.

−20°C

target post-translational modification

unmodified

Gene Information

human ... ATP1B1(481)

General description

Sodium/potassium-transporting ATPase subunit β-1 (ATP1B1) has a carboxyl-terminal domain which has an immunoglobulin-like fold. The gene encoding this protein is localized on chromosome 1q.

Immunogen

Sodium/potassium-transporting ATPase subunit beta-1 recombinant protein epitope signature tag (PrEST)

Application

Anti-ATP1B1 antibody produced in rabbit, a Prestige Antibody, is developed and validated by the Human Protein Atlas (HPA) project . Each antibody is tested by immunohistochemistry against hundreds of normal and disease tissues. These images can be viewed on the Human Protein Atlas (HPA) site by clicking on the Image Gallery link. The antibodies are also tested using immunofluorescence and western blotting. To view these protocols and other useful information about Prestige Antibodies and the HPA, visit sigma.com/prestige.
Applications in which this antibody has been used successfully, and the associated peer-reviewed papers, are given below.
Western Blotting (1 paper)

Biochem/physiol Actions

Sodium/potassium-transporting ATPase subunit β-1 (ATP1B1) interacts with matrix proteins M2/BM2 of influenza (A and B) viruses and this interaction is crucial for virus replication.

Features and Benefits

Prestige Antibodies® are highly characterized and extensively validated antibodies with the added benefit of all available characterization data for each target being accessible via the Human Protein Atlas portal linked just below the product name at the top of this page. The uniqueness and low cross-reactivity of the Prestige Antibodies® to other proteins are due to a thorough selection of antigen regions, affinity purification, and stringent selection. Prestige antigen controls are available for every corresponding Prestige Antibody and can be found in the linkage section.

Every Prestige Antibody is tested in the following ways:
  • IHC tissue array of 44 normal human tissues and 20 of the most common cancer type tissues.
  • Protein array of 364 human recombinant protein fragments.

Physical form

Solution in phosphate-buffered saline, pH 7.2, containing 40% glycerol and 0.02% sodium azide

Other Notes

Corresponding Antigen APREST72026

Legal Information

Prestige Antibodies is a registered trademark of Merck KGaA, Darmstadt, Germany

Disclaimer

Unless otherwise stated in our catalog or other company documentation accompanying the product(s), our products are intended for research use only and are not to be used for any other purpose, which includes but is not limited to, unauthorized commercial uses, in vitro diagnostic uses, ex vivo or in vivo therapeutic uses or any type of consumption or application to humans or animals.


Still not finding the right product?

or

Try our Product Selector Tool to narrow your options


Storage Class

10 - Combustible liquids

wgk

WGK 1

flash_point_f

Not applicable

flash_point_c

Not applicable

ppe

Eyeshields, Gloves, multi-purpose combination respirator cartridge (US)

Regulatory Information

常规特殊物品
低风险生物材料

This item has



Choose from one of the most recent versions:

Certificates of Analysis (COA)

Lot/Batch Number

Don't see the Right Version?

If you require a particular version, you can look up a specific certificate by the Lot or Batch number.

Already Own This Product?

Find documentation for the products that you have recently purchased in the Document Library.

Visit the Document Library



A Functional Interaction Between Na,K-ATPase I?2-Subunit/AMOG and NF2/Merlin Regulates Growth Factor Signaling in Cerebellar Granule Cells.
Litan, et al.
Molecular Neurobiology, 56, 7557-7571 (2020)
Sonja Zacherl et al.
The Journal of biological chemistry, 290(6), 3654-3665 (2014-12-24)
Previous studies proposed a role for the Na/K-ATPase in unconventional secretion of fibroblast growth factor 2 (FGF2). This conclusion was based upon pharmacological inhibition of FGF2 secretion in the presence of ouabain. However, neither independent experimental evidence nor a potential
A C-terminal lobe of the beta subunit of Na,K-ATPase and H,K-ATPase resembles cell adhesion molecules.
Bab-Dinitz E
The Biochemical Journal, 48(36), 8684-8691 (2009)



Global Trade Item Number

SKUGTIN
HPA012911-100UL04061836302757
HPA012911-25UL04061842791927