Sign In to View Organizational & Contract Pricing.
Select a Size
Change View
About This Item
Conjugate:
unconjugated
Clone:
polyclonal
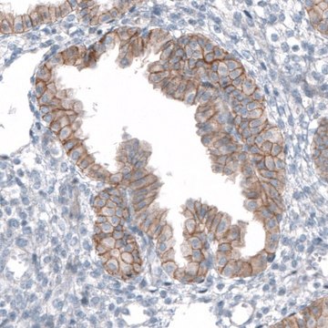
Application:
IHC
Citations:
6
biological source
rabbit
Quality Level
conjugate
unconjugated
antibody form
affinity isolated antibody
antibody product type
primary antibodies
clone
polyclonal
product line
Prestige Antibodies® Powered by Atlas Antibodies
form
buffered aqueous glycerol solution
species reactivity
human
technique(s)
immunohistochemistry: 1:50-1:200
immunogen sequence
VKSRDDSQLNGDSSALLNPSKECEPYRRNEDKPIAPCGAIANSMFNDTLELFLIGNDSYPIPIALKKKGIAWWTDKNVKFRNPPGGDNLEERFKGTTKPVNWLKPVYMLDSDPDNNGFI
UniProt accession no.
shipped in
wet ice
storage temp.
−20°C
target post-translational modification
unmodified
Gene Information
human ... TMEM30A(55754)
General description
TMEM30A (transmembrane protein 30A) is a functional homolog of Saccharomyces cerevisiae Lem3p protein. It has the conserved sequence QNHRRYVKS and is a transmembrane protein. The corresponding mRNA has a wide range of tissue expression. In cells expressing high level of TMEM30A, a major portion of this protein localizes to organelles such as, mitochondria, endoplasmic reticulum (ER) and Golgi bodies. This gene is localized to human chromosome 6q14.1, and encodes a protein composed of 361 amino acids. TMEM30A is also called CDC50A (cell division cycle protein 50A) and is a member of CDC50 family, which in humans includes- CDC50A, CDC50B and CDC50C.
Immunogen
transmembrane protein 30A recombinant protein epitope signature tag (PrEST)
Application
All Prestige Antibodies Powered by Atlas Antibodies are developed and validated by the Human Protein Atlas (HPA) project and as a result, are supported by the most extensive characterization in the industry.
The Human Protein Atlas project can be subdivided into three efforts: Human Tissue Atlas, Cancer Atlas, and Human Cell Atlas. The antibodies that have been generated in support of the Tissue and Cancer Atlas projects have been tested by immunohistochemistry against hundreds of normal and disease tissues and through the recent efforts of the Human Cell Atlas project, many have been characterized by immunofluorescence to map the human proteome not only at the tissue level but now at the subcellular level. These images and the collection of this vast data set can be viewed on the Human Protein Atlas (HPA) site by clicking on the Image Gallery link. We also provide Prestige Antibodies® protocols and other useful information.
The Human Protein Atlas project can be subdivided into three efforts: Human Tissue Atlas, Cancer Atlas, and Human Cell Atlas. The antibodies that have been generated in support of the Tissue and Cancer Atlas projects have been tested by immunohistochemistry against hundreds of normal and disease tissues and through the recent efforts of the Human Cell Atlas project, many have been characterized by immunofluorescence to map the human proteome not only at the tissue level but now at the subcellular level. These images and the collection of this vast data set can be viewed on the Human Protein Atlas (HPA) site by clicking on the Image Gallery link. We also provide Prestige Antibodies® protocols and other useful information.
Biochem/physiol Actions
TMEM30A (transmembrane protein 30A) forms a heterodimeric complex with ATP8B1 P-type ATPase, and has a role in phospholipid import system. Extracellular choline phospholipids with short sn-2 residues act as substrates for this protein. It also forms a phospholipid flippase complex with ATP8A1, and facilitates the transfer of phosphatidylethanolamine to the cell membrane. This complex also enhances cell migration by facilitating the formation of membrane ruffles. Under-expression of TMEM30A leads to the exposure of phosphatidylserine on the outer leaflet of cell membrane, which acts as a signal to macrophages to phagocytose the particular cell. It also facilitates the uptake of antitumor drug perifosine by human cancer cells, most probably by association with P4-ATPase. It is a putative chaperone or β-subunit for ATP8B1 in hepatocytes. It also plays a role in the transport of ATP8B1 to plasma membrane, and thus, might be linked with ATP8B1-related disorders.
Features and Benefits
Prestige Antibodies® are highly characterized and extensively validated antibodies with the added benefit of all available characterization data for each target being accessible via the Human Protein Atlas portal linked just below the product name at the top of this page. The uniqueness and low cross-reactivity of the Prestige Antibodies® to other proteins are due to a thorough selection of antigen regions, affinity purification, and stringent selection. Prestige antigen controls are available for every corresponding Prestige Antibody and can be found in the linkage section.
Every Prestige Antibody is tested in the following ways:
Every Prestige Antibody is tested in the following ways:
- IHC tissue array of 44 normal human tissues and 20 of the most common cancer type tissues.
- Protein array of 364 human recombinant protein fragments.
Physical form
Solution in phosphate-buffered saline, pH 7.2, containing 40% glycerol and 0.02% sodium azide.
Other Notes
Corresponding Antigen APREST72841
Legal Information
Prestige Antibodies is a registered trademark of Merck KGaA, Darmstadt, Germany
Disclaimer
Unless otherwise stated in our catalog or other company documentation accompanying the product(s), our products are intended for research use only and are not to be used for any other purpose, which includes but is not limited to, unauthorized commercial uses, in vitro diagnostic uses, ex vivo or in vivo therapeutic uses or any type of consumption or application to humans or animals.
Still not finding the right product?
Explore all of our products under Anti-TMEM30A antibody produced in rabbit
— or —
Try our Product Selector Tool to narrow your options
Storage Class
10 - Combustible liquids
wgk
WGK 1
flash_point_f
Not applicable
flash_point_c
Not applicable
Regulatory Information
常规特殊物品
常规特殊物品
This item has
Choose from one of the most recent versions:
Already Own This Product?
Find documentation for the products that you have recently purchased in the Document Library.
Yuriko Katoh et al.
Oncology reports, 12(4), 939-943 (2004-09-18)
Bni1p, implicated in cell polarity control and microtubule regulation during yeast budding, is the Saccharomyces cerevisiae homolog of human Formin-homology proteins, such as FMN1, FMN2, FHOD1, FHOD3, FHDC1, GRID2IP, FMNL1, FMNL2, FMNL3, DIAPH1, DIAPH2, DIAPH3, DAAM1 and DAAM2. Cdc50p is
Katsumori Segawa et al.
Science (New York, N.Y.), 344(6188), 1164-1168 (2014-06-07)
Phospholipids are asymmetrically distributed in the plasma membrane. This asymmetrical distribution is disrupted during apoptosis, exposing phosphatidylserine (PtdSer) on the cell surface. Using a haploid genetic screen in human cells, we found that ATP11C (adenosine triphosphatase type 11C) and CDC50A
Human TMEM30a promotes uptake of antitumor and bioactive choline phospholipids into mammalian cells.
Rui Chen et al.
Journal of immunology (Baltimore, Md. : 1950), 186(5), 3215-3225 (2011-02-04)
Antitumor alkylphospholipids initiate apoptosis in transformed HL-60 and Jurkat cells while sparing their progenitors. 1-O-Alkyl-2-carboxymethyl-sn-glycero-3-phosphocholine (Edelfosine) like other short-chained phospholipids--inflammatory platelet-activating factor (PAF) and apoptotic oxidatively truncated phospholipids--are proposed to have intracellular sites of action, yet a conduit for these
Global Trade Item Number
| SKU | GTIN |
|---|---|
| HPA014561-25UL | 04061842793716 |
| HPA014561-100UL | 04061837136931 |