Skip to Content
Merck
CN

HPA016970

Anti-PDE6A antibody produced in rabbit

Prestige Antibodies® Powered by Atlas Antibodies, affinity isolated antibody, buffered aqueous glycerol solution

Synonym(s):

Anti-PDEA, Anti-RP43

Sign In to View Organizational & Contract Pricing.

Select a Size

Change View

About This Item

UNSPSC Code:
12352203
NACRES:
NA.41
Human Protein Atlas Number:
Conjugate:
unconjugated
Clone:
polyclonal
Application:
IHC
Citations:
4
Technical Service
Need help? Our team of experienced scientists is here for you.
Let Us Assist


biological source

rabbit

Quality Level

conjugate

unconjugated

antibody form

affinity isolated antibody

antibody product type

primary antibodies

clone

polyclonal

product line

Prestige Antibodies® Powered by Atlas Antibodies

form

buffered aqueous glycerol solution

species reactivity

human

enhanced validation

independent
recombinant expression
Learn more about Antibody Enhanced Validation

technique(s)

immunoblotting: 0.04-0.4 μg/mL, immunohistochemistry: 1:5000-1:10000

immunogen sequence

TLMESLTQFLGWSVLNPDTYESMNKLENRKDIFQDIVKYHVKCDNEEIQKILKTREVYGKEPWECEEEELAEILQAELPDADKYEINKFHFSDLPLTELELVKCGIQMYYELKVVDKFHIPQEALVRFMYSLSKGYRKITYHN

UniProt accession no.

shipped in

wet ice

storage temp.

−20°C

target post-translational modification

unmodified

Gene Information

human ... PDE6A(5145)

General description

PDE6 (phosphodiesterase 6A) is an α-subunit of rod cyclic guanosine monophosphate (cGMP) phosphodiesterase. It is a photoreceptor-specific heterotetrameric protein with two α and β catalytic subunits and two γ-regulatory subunits.

Immunogen

Rod cGMP-specific 3′,5′-cyclic phosphodiesterase subunit alpha recombinant protein epitope signature tag (PrEST)

Application

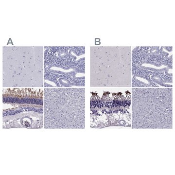
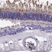
Anti-PDE6A antibody produced in rabbit, a Prestige Antibody, is developed and validated by the Human Protein Atlas (HPA) project . Each antibody is tested by immunohistochemistry against hundreds of normal and disease tissues. These images can be viewed on the Human Protein Atlas (HPA) site by clicking on the Image Gallery link. The antibodies are also tested using immunofluorescence and western blotting. To view these protocols and other useful information about Prestige Antibodies and the HPA, visit sigma.com/prestige.

Biochem/physiol Actions

PDE6A (phosphodiesterase 6A) is involved in maintaining the intracellular cGMP levels via visual phototransduction cascade. Mutation in the PDE6A causes an autosomal recessive disorder, retinitis pigmentosa (RP).

Features and Benefits

Prestige Antibodies® are highly characterized and extensively validated antibodies with the added benefit of all available characterization data for each target being accessible via the Human Protein Atlas portal linked just below the product name at the top of this page. The uniqueness and low cross-reactivity of the Prestige Antibodies® to other proteins are due to a thorough selection of antigen regions, affinity purification, and stringent selection. Prestige antigen controls are available for every corresponding Prestige Antibody and can be found in the linkage section.

Every Prestige Antibody is tested in the following ways:
  • IHC tissue array of 44 normal human tissues and 20 of the most common cancer type tissues.
  • Protein array of 364 human recombinant protein fragments.

Physical form

Solution in phosphate-buffered saline, pH 7.2, containing 40% glycerol and 0.02% sodium azide

Other Notes

Corresponding Antigen APREST70477

Legal Information

Prestige Antibodies is a registered trademark of Merck KGaA, Darmstadt, Germany

Disclaimer

Unless otherwise stated in our catalog or other company documentation accompanying the product(s), our products are intended for research use only and are not to be used for any other purpose, which includes but is not limited to, unauthorized commercial uses, in vitro diagnostic uses, ex vivo or in vivo therapeutic uses or any type of consumption or application to humans or animals.


Still not finding the right product?

or

Try our Product Selector Tool to narrow your options


Storage Class

10 - Combustible liquids

wgk

WGK 1

flash_point_f

Not applicable

flash_point_c

Not applicable

Regulatory Information

新产品

This item has



Choose from one of the most recent versions:

Certificates of Analysis (COA)

Lot/Batch Number

Don't see the Right Version?

If you require a particular version, you can look up a specific certificate by the Lot or Batch number.

Already Own This Product?

Find documentation for the products that you have recently purchased in the Document Library.

Visit the Document Library



T P Dryja et al.
Investigative ophthalmology & visual science, 40(8), 1859-1865 (1999-07-07)
To determine the mutation spectrum of the PDE6A gene encoding the alpha subunit of rod cyclic guanosine monophosphate (cGMP)phosphodiesterase and the proportion of patients with recessive retinitis pigmentosa (RP) due to mutations in this gene. The single-strand conformation polymorphism (SSCP)
Identification of a novel mutation in the human PDE6A gene in autosomal recessive retinitis pigmentosa: homology with the nmf28/nmf28 mice model.
M Corton et al.
Clinical genetics, 78(5), 495-498 (2010-11-03)
Stephen H Tsang et al.
American journal of ophthalmology, 146(5), 780-788 (2008-08-30)
To develop a systematic approach for the molecular diagnosis of retinitis pigmentosa (RP) and to report new genotype-phenotype correlations for phosphodiesterase 6 (PDE6)-based RP mutations. Clinical and molecular studies on a retrospective case series. We screened 40 unrelated RP patients



Global Trade Item Number

SKUGTIN
HPA016970-100UL04061836322434