Skip to Content
Merck
CN

HPA018885

Anti-APOL1 antibody produced in rabbit

Prestige Antibodies® Powered by Atlas Antibodies, affinity isolated antibody, buffered aqueous glycerol solution

Synonym(s):

APOL1 Antibody - Anti-APOL1 antibody produced in rabbit, Apol1 Antibody, Anti-ApoL

Sign In to View Organizational & Contract Pricing.

Select a Size

Change View

About This Item

UNSPSC Code:
12352203
NACRES:
NA.41
Human Protein Atlas Number:
Conjugate:
unconjugated
Clone:
polyclonal
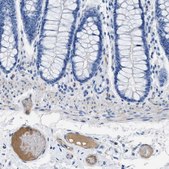
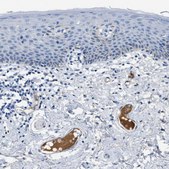
Application:
IHC
Citations:
21
Technical Service
Need help? Our team of experienced scientists is here for you.
Let Us Assist


biological source

rabbit

Quality Level

conjugate

unconjugated

antibody form

affinity isolated antibody

antibody product type

primary antibodies

clone

polyclonal

product line

Prestige Antibodies® Powered by Atlas Antibodies

form

buffered aqueous glycerol solution

species reactivity

human

enhanced validation

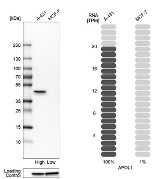
orthogonal RNAseq
Learn more about Antibody Enhanced Validation

technique(s)

immunoblotting: 0.04-0.4 μg/mL, immunohistochemistry: 1:2500-1:5000

immunogen sequence

SNFLSLAGNTYQLTRGIGKDIRALRRARANLQSVPHASASRPRVTEPISAESGEQVERVNEPSILEMSRGVKLTDVAPVSFFLVLDVVYLVYESKHLHEGAKSETAEELKKVAQELEEKLNILNN

UniProt accession no.

shipped in

wet ice

storage temp.

−20°C

target post-translational modification

unmodified

Gene Information

human ... APOL1(8542)

General description

APOL1 is a major apoprotein of HDL and play a pivotal role in host defence and cellular homeostatic mechanism. Change in APOL1 function can lead to African sleeping sickness, lipid disorder, schizophrenia, atherosclerosis, cancer and chronic kidney disease. Polyclonal anti-APOL1 antibody is used in cell culture and tissue characterization. Polyclonal anti-APOL1 antibodies are specific for APOL1 protein. It also reacts specifically with human.

Immunogen

Apolipoprotein-L1 precursor recombinant protein epitope signature tag (PrEST)

Application

All Prestige Antibodies Powered by Atlas Antibodies are developed and validated by the Human Protein Atlas (HPA) project and as a result, are supported by the most extensive characterization in the industry.

The Human Protein Atlas project can be subdivided into three efforts: Human Tissue Atlas, Cancer Atlas, and Human Cell Atlas. The antibodies that have been generated in support of the Tissue and Cancer Atlas projects have been tested by immunohistochemistry against hundreds of normal and disease tissues and through the recent efforts of the Human Cell Atlas project, many have been characterized by immunofluorescence to map the human proteome not only at the tissue level but now at the subcellular level. These images and the collection of this vast data set can be viewed on the Human Protein Atlas (HPA) site by clicking on the Image Gallery link. We also provide Prestige Antibodies® protocols and other useful information.

Features and Benefits

Prestige Antibodies® are highly characterized and extensively validated antibodies with the added benefit of all available characterization data for each target being accessible via the Human Protein Atlas portal linked just below the product name at the top of this page. The uniqueness and low cross-reactivity of the Prestige Antibodies® to other proteins are due to a thorough selection of antigen regions, affinity purification, and stringent selection. Prestige antigen controls are available for every corresponding Prestige Antibody and can be found in the linkage section.

Every Prestige Antibody is tested in the following ways:
  • IHC tissue array of 44 normal human tissues and 20 of the most common cancer type tissues.
  • Protein array of 364 human recombinant protein fragments.

Physical form

Solution in phosphate-buffered saline, pH 7.2, containing 40% glycerol and 0.02% sodium azide

Other Notes

Corresponding Antigen APREST84510

Legal Information

Prestige Antibodies is a registered trademark of Merck KGaA, Darmstadt, Germany

Disclaimer

Unless otherwise stated in our catalog or other company documentation accompanying the product(s), our products are intended for research use only and are not to be used for any other purpose, which includes but is not limited to, unauthorized commercial uses, in vitro diagnostic uses, ex vivo or in vivo therapeutic uses or any type of consumption or application to humans or animals.


Still not finding the right product?

or

Try our Product Selector Tool to narrow your options


Storage Class

10 - Combustible liquids

wgk

WGK 1

flash_point_f

Not applicable

flash_point_c

Not applicable

ppe

Eyeshields, Gloves, multi-purpose combination respirator cartridge (US)

Regulatory Information

低风险生物材料
常规特殊物品
常规特殊物品

This item has



Choose from one of the most recent versions:

Certificates of Analysis (COA)

Lot/Batch Number

Don't see the Right Version?

If you require a particular version, you can look up a specific certificate by the Lot or Batch number.

Already Own This Product?

Find documentation for the products that you have recently purchased in the Document Library.

Visit the Document Library



Frédéric Fontaine et al.
Nature microbiology, 2(11), 1500-1506 (2017-09-20)
The primate-specific serum protein apolipoprotein L1 (APOL1) is the only secreted member of a family of cell death promoting proteins 1-4 . APOL1 kills the bloodstream parasite Trypanosoma brucei brucei, but not the human sleeping sickness agents T.b. rhodesiense and
Jung-Hwa Ryu et al.
PloS one, 14(4), e0211559-e0211559 (2019-04-19)
Apolipoprotein L1 (APOL1) genetic variants G1 and G2, compared to the common allele G0, are major risk factors for non-diabetic kidney disease in African descent populations. APOL1 is a minor protein component of HDL, as well as being expressed in
Esther Liu et al.
Kidney360, 1(3), 203-215 (2020-07-14)
DNA variants in APOL1 associate with kidney disease, but the pathophysiologic mechanisms remain incompletely understood. Model organisms lack the APOL1 gene, limiting the degree to which disease states can be recapitulated. Here we present single-cell RNA sequencing (scRNA-seq) of genome-edited



Global Trade Item Number

SKUGTIN
HPA018885-100UL04061833816202
HPA018885-25UL04061842866335