Sign In to View Organizational & Contract Pricing.
Select a Size
Change View
About This Item
Conjugate:
unconjugated
Clone:
polyclonal
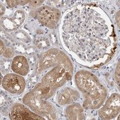
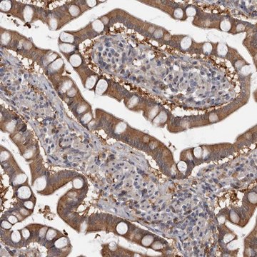
Application:
IHC
Citations:
7
biological source
rabbit
Quality Level
conjugate
unconjugated
antibody form
affinity isolated antibody
antibody product type
primary antibodies
clone
polyclonal
product line
Prestige Antibodies® Powered by Atlas Antibodies
form
buffered aqueous glycerol solution
species reactivity
human
technique(s)
immunohistochemistry: 1:50- 1:200
immunogen sequence
EEVELEPCLAPSLEQQEQELTVALGQPVRLCCGRAERGGHWYKEGSRLAPAGRVRGWRGRLEIASFLP
UniProt accession no.
application(s)
research pathology
shipped in
wet ice
storage temp.
−20°C
target post-translational modification
unmodified
Gene Information
human ... FGFR4(2264)
General description
The gene FGFR4 (fibroblast growth factor receptor 4) is mapped to human chromosome 5q35.2. It belongs to the fibroblast growth factor receptor (FGFR) tyrosine kinase family of proteins. The protein has three extracellular immunoglobulin-type domains (D1-D3), a single-span transmembrane domain and an intracellular split tyrosine kinase domain.
Immunogen
fibroblast growth factor receptor 4 recombinant protein epitope signature tag (PrEST)
Application
All Prestige Antibodies Powered by Atlas Antibodies are developed and validated by the Human Protein Atlas (HPA) project and as a result, are supported by the most extensive characterization in the industry.
The Human Protein Atlas project can be subdivided into three efforts: Human Tissue Atlas, Cancer Atlas, and Human Cell Atlas. The antibodies that have been generated in support of the Tissue and Cancer Atlas projects have been tested by immunohistochemistry against hundreds of normal and disease tissues and through the recent efforts of the Human Cell Atlas project, many have been characterized by immunofluorescence to map the human proteome not only at the tissue level but now at the subcellular level. These images and the collection of this vast data set can be viewed on the Human Protein Atlas (HPA) site by clicking on the Image Gallery link. We also provide Prestige Antibodies® protocols and other useful information.
The Human Protein Atlas project can be subdivided into three efforts: Human Tissue Atlas, Cancer Atlas, and Human Cell Atlas. The antibodies that have been generated in support of the Tissue and Cancer Atlas projects have been tested by immunohistochemistry against hundreds of normal and disease tissues and through the recent efforts of the Human Cell Atlas project, many have been characterized by immunofluorescence to map the human proteome not only at the tissue level but now at the subcellular level. These images and the collection of this vast data set can be viewed on the Human Protein Atlas (HPA) site by clicking on the Image Gallery link. We also provide Prestige Antibodies® protocols and other useful information.
Biochem/physiol Actions
FGFRs (fibroblast growth factor receptors) control various cellular processes such as cell growth, differentiation, survival and migration. FGFR4 is an oncogene and is associated with tumor development. It is associated with colorectal cancer, ovarian cancer and hepatocellular carcinoma. It binds to FGFs (fibroblast growth factors), multifunctional proteins involved in angiogenesis, wound healing and embryonic development.
Features and Benefits
Prestige Antibodies® are highly characterized and extensively validated antibodies with the added benefit of all available characterization data for each target being accessible via the Human Protein Atlas portal linked just below the product name at the top of this page. The uniqueness and low cross-reactivity of the Prestige Antibodies® to other proteins are due to a thorough selection of antigen regions, affinity purification, and stringent selection. Prestige antigen controls are available for every corresponding Prestige Antibody and can be found in the linkage section.
Every Prestige Antibody is tested in the following ways:
Every Prestige Antibody is tested in the following ways:
- IHC tissue array of 44 normal human tissues and 20 of the most common cancer type tissues.
- Protein array of 364 human recombinant protein fragments.
Physical form
Solution in phosphate-buffered saline, pH 7.2, containing 40% glycerol and 0.02% sodium azide.
Other Notes
Corresponding Antigen APREST78001
Legal Information
Prestige Antibodies is a registered trademark of Merck KGaA, Darmstadt, Germany
Disclaimer
Unless otherwise stated in our catalog or other company documentation accompanying the product(s), our products are intended for research use only and are not to be used for any other purpose, which includes but is not limited to, unauthorized commercial uses, in vitro diagnostic uses, ex vivo or in vivo therapeutic uses or any type of consumption or application to humans or animals.
Still not finding the right product?
Explore all of our products under Anti-FGFR4 antibody produced in rabbit
— or —
Try our Product Selector Tool to narrow your options
Storage Class
10 - Combustible liquids
wgk
WGK 1
flash_point_f
Not applicable
flash_point_c
Not applicable
Regulatory Information
常规特殊物品
常规特殊物品
低风险生物材料
This item has
Choose from one of the most recent versions:
Already Own This Product?
Find documentation for the products that you have recently purchased in the Document Library.
Fibroblast growth factor receptor 4 polymorphism is associated with liver cirrhosis in hepatocarcinoma.
Sheu MJ, et al.
PLoS ONE, 10, e0122961-e0122961 (2015)
Association of FGFR3 and FGFR4 gene polymorphisms with breast cancer in Chinese women of Heilongjiang province.
Jiang Y, et al.
Oncotarget, 6, 34023-34029 (2015)
FGFR4 Is a Potential Predictive Biomarker in Oral and Oropharyngeal Squamous Cell Carcinoma.
Koole K, et al.
Pathobiology, 82, 280-289 (2015)
Global Trade Item Number
| SKU | GTIN |
|---|---|
| HPA028251-100UL | 04061837127885 |
| HPA028251-25UL | 04061842949793 |