Skip to Content
Merck
CN

SAB1300019

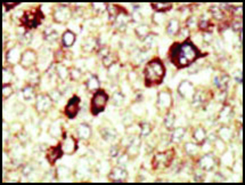
Anti-FGFR4 (N-term) antibody produced in rabbit

IgG fraction of antiserum, buffered aqueous solution

Synonym(s):

Anti-Fibroblast growth factor receptor 4

Sign In to View Organizational & Contract Pricing.

Select a Size

Change View

About This Item

NACRES:
NA.41
UNSPSC Code:
12352203
Conjugate:
unconjugated
Clone:
polyclonal
Application:
ELISA (i), IHC, WB
Citations:
7
Technical Service
Need help? Our team of experienced scientists is here for you.
Let Us Assist


biological source

rabbit

Quality Level

conjugate

unconjugated

antibody form

IgG fraction of antiserum

antibody product type

primary antibodies

clone

polyclonal

form

buffered aqueous solution

species reactivity

human

technique(s)

immunohistochemistry: 1:50-1:100, indirect ELISA: 1:1000, western blot: 1:100-1:500

NCBI accession no.

UniProt accession no.

shipped in

dry ice

storage temp.

−20°C

target post-translational modification

unmodified

Gene Information

human ... FGFR4(2264)

General description

FGFR4 (fibroblast growth factor receptor 4) gene is located at chromosome 5q35.2. It is the most abundant FGFR isotype in mature liver cells. It is expressed in a temporal and spatially specific manner during development and in a cell type-specific manner in adult tissues.
FGFR4 is a member of the fibroblast growth factor receptor family, where amino acid sequence is highly conserved between members and throughout evolution. FGFR family members differ from one another in their ligand affinities and tissue distribution. A full-length representative protein would consist of an extracellular region, composed of three immunoglobulin-like domains, a single hydrophobic membrane-spanning segment and a cytoplasmic tyrosine kinase domain. The extracellular portion of the protein interacts with fibroblast growth factors, setting in motion a cascade of downstream signals, ultimately influencing mitogenesis and differentiation. The genomic organization of the gene, compared to members 1-3, encompasses 18 exons rather than 19 or 20. Although alternative splicing has been observed, there is no evidence that the C-terminal half of the IgIII domain of this protein varies between three alternate forms, as indicated for members 1-3. This particular family member preferentially binds acidic fibroblast growth factor and, although its specific function is unknown, it is overexpressed in gynecological tumor samples, suggesting a role in breast and ovarian tumorigenesis.

Immunogen

FGFR4 (29-66)
This antibody is generated from rabbits immunized with a KLH conjugated synthetic peptide selected from the N-terminal region of human FGFR4.

Application

Anti-FGFR4 (N-term) antibody produced in rabbit has been used in immunohistochemistry.

Biochem/physiol Actions

Variations in the FGFR4 (fibroblast growth factor receptor 4) is associated with the advancement of various tumor types such as breast, prostate, colon, sarcoma tumors and ovarian cancer. Overexpression of FGFR4 is observed in diffuse-type gastric cancer and intestinal-type gastric cancer. FGFR4 is significantly involved in epithelial-to-mesenchymal transition, induced by tumor-associated fibroblasts. FGFR4 negatively regulates cholesterol metabolism and synthesis of bile acid in liver. Deletion of FGFR4 does not lead to embryonic damage, unlike other members of the FGFR family. FGFR4 serves as a prognostic and therapeutic biomarker for oral squamous cell carcinoma (OSCC) and oropharyngeal squamous cell carcinoma.

Physical form

Purified polyclonal antibody supplied in PBS with 0.09% (W/V) sodium azide.

Disclaimer

Unless otherwise stated in our catalog or other company documentation accompanying the product(s), our products are intended for research use only and are not to be used for any other purpose, which includes but is not limited to, unauthorized commercial uses, in vitro diagnostic uses, ex vivo or in vivo therapeutic uses or any type of consumption or application to humans or animals.


Still not finding the right product?

Try our Product Selector Tool to narrow your options


Storage Class

10 - Combustible liquids

wgk

nwg

flash_point_f

Not applicable

flash_point_c

Not applicable

Regulatory Information

常规特殊物品

This item has



Choose from one of the most recent versions:

Certificates of Analysis (COA)

Lot/Batch Number

Don't see the Right Version?

If you require a particular version, you can look up a specific certificate by the Lot or Batch number.

Already Own This Product?

Find documentation for the products that you have recently purchased in the Document Library.

Visit the Document Library



Koos Koole et al.
Pathobiology : journal of immunopathology, molecular and cellular biology, 82(6), 280-289 (2015-11-10)
The aim of this study was to investigate whether fibroblast growth factor receptor 4 (FGFR4) could serve as a potential therapeutic target, prognostic biomarker or biomarker predicting radiotherapy sensitivity in oral squamous cell carcinoma (OSCC) and oropharyngeal squamous cell carcinoma
Yongdong Jiang et al.
Oncotarget, 6(32), 34023-34029 (2015-10-03)
The fibroblast growth factor (FGF) receptor pathway is activated in many tumors. FGFR2 has been identified as a breast cancer susceptibility gene. Common variation in other FGF receptors might also affect breast cancer risk. We carried out a case-control study
Lingling Hu et al.
Oncology reports, 34(5), 2683-2691 (2015-09-02)
Fibroblast growth factor receptor 4 (FGFR4) has been confirmed to be associated with the progression and prognosis of ovarian cancer, while the underlying mechanism has not been well elucidated and the clinical significance of its ligand, fibroblast growth factor 19 (FGF19), has not



Global Trade Item Number

SKUGTIN
SAB1300019-100UG04061832810959