Skip to Content
Merck
CN

SAB2108668

Anti-GAPDH Antibody

rabbit polyclonal

Synonym(s):

Anti- GAPD, Anti- MGC88685, Anti-G3PD

Sign In to View Organizational & Contract Pricing.

Select a Size

Change View

About This Item

UNSPSC Code:
12352203
NACRES:
NA.41
Conjugate:
unconjugated
Clone:
polyclonal
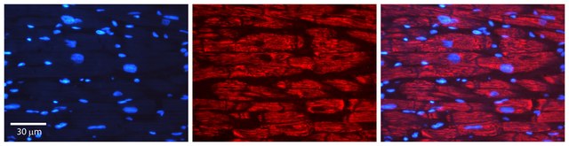
Application:
IHC
Citations:
7
Technical Service
Need help? Our team of experienced scientists is here for you.
Let Us Assist


Product Name

Anti-GAPDH, affinity isolated antibody

biological source

rabbit

Quality Level

conjugate

unconjugated

antibody form

affinity isolated antibody

antibody product type

primary antibodies

clone

polyclonal

form

buffered aqueous solution

mol wt

36 kDa

species reactivity

rat, goat, guinea pig, human, rabbit, horse, sheep, dog

concentration

0.5-1 mg/mL

technique(s)

immunoblotting: suitable, immunohistochemistry: suitable

accession no.

NM_002046

UniProt accession no.

shipped in

wet ice

storage temp.

−20°C

target post-translational modification

unmodified

Gene Information

human ... GAPDH(2597)

Immunogen

Synthetic peptide directed towards the N terminal region of human GAPDH

Biochem/physiol Actions

GAPDH catalyzes an important energy-yielding step in carbohydrate metabolism, the reversible oxidative phosphorylation of glyceraldehyde-3-phosphate in the presence of inorganic phosphate and nicotinamide adenine dinucleotide (NAD). The enzyme exists as a tetramer of identical chains. Many pseudogenes similar to this locus are present in the human genome.Glyceraldehyde-3-phosphate dehydrogenase catalyzes an important energy-yielding step in carbohydrate metabolism, the reversible oxidative phosphorylation of glyceraldehyde-3-phosphate in the presence of inorganic phosphate and nicotinamide adenine dinucleotide (NAD). The enzyme exists as a tetramer of identical chains. A GAPD pseudogene has been mapped to Xp21-p11 and 15 GAPD-like loci have been identified. Publication Note: This RefSeq record includes a subset of the publications that are available for this gene. Please see the Entrez Gene record to access additional publications.

Physical form

Purified antibody supplied in 1x PBS buffer with 0.09% (w/v) sodium azide and 2% sucrose.

Other Notes

Synthetic peptide located within the following region: IDLNYMVYMFQYDSTHGKFHGTVKAENGKLVINGNPITIFQERDPSKIKW

Disclaimer

Unless otherwise stated in our catalog or other company documentation accompanying the product(s), our products are intended for research use only and are not to be used for any other purpose, which includes but is not limited to, unauthorized commercial uses, in vitro diagnostic uses, ex vivo or in vivo therapeutic uses or any type of consumption or application to humans or animals.


Still not finding the right product?

Explore all of our products under Anti-GAPDH

or

Try our Product Selector Tool to narrow your options


Storage Class

10 - Combustible liquids

wgk

WGK 3

flash_point_f

Not applicable

flash_point_c

Not applicable

Regulatory Information

常规特殊物品
低风险生物材料

This item has



Choose from one of the most recent versions:

Certificates of Analysis (COA)

Lot/Batch Number

Don't see the Right Version?

If you require a particular version, you can look up a specific certificate by the Lot or Batch number.

Already Own This Product?

Find documentation for the products that you have recently purchased in the Document Library.

Visit the Document Library



null
Baijun Li et al.
Oncology letters, 22(6), 851-851 (2021-11-05)
Procollagen-lysine, 2-oxoglutarate 5-dioxygenase 1 (PLOD1) is an enzyme that catalyzes the hydroxylation of lysyl residues in collagen-like peptides, and is responsible for the stability of intermolecular crosslinks. High PLOD1 mRNA levels have been determined to be prognostically significant in numerous
Qiang Xiao et al.
Molecular medicine reports, 19(3), 2377-2385 (2019-01-22)
Leukemia inhibitory factor (LIF) is a multifunctional cytokine. The present study aimed to determine the expression and effects of LIF on nucleus pulposus generation. Degenerated nucleus pulposus samples were obtained from animal models and patients with lumbar intervertebral disc herniation.



Global Trade Item Number

SKUGTIN
SAB2108668-100UL04061836147365