Skip to Content
Merck
CN

SAB2900037

Anti-HTR5A (AB2) antibody produced in rabbit

affinity isolated antibody, buffered aqueous solution

Synonym(s):

5-ht5a, 5-ht5a receptor, 5-hydroxytryptamine 5a receptor, 5-hydroxytryptamine5a, serotonin 5-ht5a receptor

Sign In to View Organizational & Contract Pricing.

Select a Size

Change View

About This Item

UNSPSC Code:
12352203
NACRES:
NA.41
MDL number:
Conjugate:
unconjugated
Clone:
polyclonal
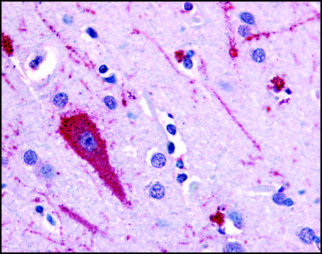
Application:
ELISA (i), IHC (p)
Citations:
-
Technical Service
Need help? Our team of experienced scientists is here for you.
Let Us Assist


biological source

rabbit

Quality Level

conjugate

unconjugated

antibody form

affinity isolated antibody

antibody product type

primary antibodies

clone

polyclonal

form

buffered aqueous solution

species reactivity

monkey, horse, guinea pig, mouse, rat, human, dog, bovine

technique(s)

immunohistochemistry (formalin-fixed, paraffin-embedded sections): suitable, indirect ELISA: suitable

UniProt accession no.

shipped in

dry ice

storage temp.

−20°C

target post-translational modification

unmodified

Gene Information

human ... HTR5A(3361)

Immunogen

Synthetic 18 amino acid peptide from 1st extracellular domain of human 5HT5A Receptor. Percent identity with other species by BLAST analysis: Human, Gorilla, Gibbon, Monkey, Marmoset, Mouse, Rat, Bovine, Dog, Elephant, Panda, Horse, Guinea pig (100%); Opossum (94%); Turkey, Chicken (89%); Lizard, Zebrafish, Stickleback (83%).

Features and Benefits

Evaluate our antibodies with complete peace of mind. If the antibody does not perform in your application, we will issue a full credit or replacement antibody. Learn more.

Physical form

Solution in phosphate-buffered saline containing less than 0.1% sodium azide.

Disclaimer

Unless otherwise stated in our catalog or other company documentation accompanying the product(s), our products are intended for research use only and are not to be used for any other purpose, which includes but is not limited to, unauthorized commercial uses, in vitro diagnostic uses, ex vivo or in vivo therapeutic uses or any type of consumption or application to humans or animals.


Still not finding the right product?

Try our Product Selector Tool to narrow your options


Storage Class

10 - Combustible liquids

flash_point_f

Not applicable

flash_point_c

Not applicable

Regulatory Information

新产品

This item has



Choose from one of the most recent versions:

Certificates of Analysis (COA)

Lot/Batch Number

Don't see the Right Version?

If you require a particular version, you can look up a specific certificate by the Lot or Batch number.

Already Own This Product?

Find documentation for the products that you have recently purchased in the Document Library.

Visit the Document Library



Global Trade Item Number

SKUGTIN
SAB2900037-50UG04061833235539