Skip to Content
Merck
CN

SAB4200097

Anti-NOX1 antibody produced in rabbit

~1.5 mg/mL, affinity isolated antibody

Synonym(s):

Anti-GP91-2, Anti-MOX1 (mitogenic oxidase 1), Anti-NADPH oxidase 1, Anti-NOH1 (NADPH oxidase homolog 1)

Sign In to View Organizational & Contract Pricing.

Select a Size

Change View

About This Item

NACRES:
NA.41
UNSPSC Code:
12352203
Conjugate:
unconjugated
Clone:
polyclonal
Application:
IHC, WB
Citations:
16
Technical Service
Need help? Our team of experienced scientists is here for you.
Let Us Assist


biological source

rabbit

conjugate

unconjugated

antibody form

affinity isolated antibody

antibody product type

primary antibodies

clone

polyclonal

form

buffered aqueous solution

mol wt

antigen ~72 kDa

species reactivity

human

concentration

~1.5 mg/mL

technique(s)

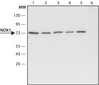
immunohistochemistry: 10-20 μg/mL using formalin-fixed, paraffin-embedded human colon, western blot: 0.5-1.0 μg/mL using HS68 cell extracts

UniProt accession no.

shipped in

dry ice

storage temp.

−20°C

target post-translational modification

unmodified

Gene Information

human ... NOX1(27035)
mouse ... Nox1(237038)
rat ... Nox1(114243)

General description

NADPH oxidase 1 (NOX1) is encoded by the gene mapped to human chromosome Xq22.1. The protein belongs to the family of NADPH oxidases and is co-localized with caveolin in punctate patches on the surface and laterally on the cellular margins. NOX1 is mainly expressed in colon epithelium.

Application

Anti-NOX1 antibody produced in rabbit has been used in:
  • Immunocytochemistry.
  • Immunoprecipitation
  • Immunoblotting.
Anti-NOX1 antibody produced in rabbit may be used in immunofluorescence and immunohistochemistry.

Biochem/physiol Actions

NOX1 catalyzes the production of hydrogen peroxide (H2O2). Overexpression of the protein leads to the production of both superoxide and H2O2 and triggers angiogenic switch, mediating vascularization and rapid expansion of the tumor. Elevated expression of NOX1 has been observed in the brain of Parkinson′s disease (PD) patients.
NADPH oxidase 1 (NOX1) requires two cytosolic regulators NADPH oxidase activator 1(NOXA1) and NADPH oxidase organizer 1 (NOXO1) as well as Ras-related C3 botulinum toxin substrate 1 (Rac1) for its activity. NOX1 and NOX2 promote neurotoxic activation of microglia suggesting that they play a central role during neuroinflammatory states and in amyotrophic lateral sclerosis (ALS). In ALS mice deletion of either NOX1 and NOX2 gene have been shown to significantly slowed disease progression and improved survival.

Physical form

Solution in 0.01 M phos­phate buffered saline, pH 7.4, containing 15 mM sodium azide.

Disclaimer

Unless otherwise stated in our catalog or other company documentation accompanying the product(s), our products are intended for research use only and are not to be used for any other purpose, which includes but is not limited to, unauthorized commercial uses, in vitro diagnostic uses, ex vivo or in vivo therapeutic uses or any type of consumption or application to humans or animals.


Still not finding the right product?

or

Try our Product Selector Tool to narrow your options


Storage Class

10 - Combustible liquids

flash_point_f

Not applicable

flash_point_c

Not applicable

Regulatory Information

低风险生物材料
常规特殊物品

This item has



Choose from one of the most recent versions:

Certificates of Analysis (COA)

Lot/Batch Number

Don't see the Right Version?

If you require a particular version, you can look up a specific certificate by the Lot or Batch number.

Already Own This Product?

Find documentation for the products that you have recently purchased in the Document Library.

Visit the Document Library


Related Content


NADPH oxidase expression in active multiple sclerosis lesions in relation to oxidative tissue damage and mitochondrial injury.
Fischer MT
Brain, 135, 886-899 (2012)
Distinct subcellular localizations of Nox1 and Nox4 in vascular smooth muscle cells.
Hilenski LL
Archives of Virology. Supplementum, 24, 677-683 (2004)
NADPH oxidases in Parkinson's disease: a systematic review.
Belarbi K
Mol. Neurodegener., 12 (2017)



Global Trade Item Number

SKUGTIN
SAB4200097-200UL04061838034502