Skip to Content
Merck
CN

SAB4200886

Anti-ACE2 antibody produced in rabbit

affinity isolated antibody, buffered aqueous solution

Synonym(s):

ACE-related carboxypeptidase, Angiotensin-converting enzyme 2, Angiotensin-converting enzyme homolog (ACEH), Metalloprotease MPROT15

Sign In to View Organizational & Contract Pricing.

Select a Size

Change View

About This Item

NACRES:
NA.43
UNSPSC Code:
12352203
Conjugate:
unconjugated
Clone:
polyclonal
Application:
Citations:
-
Technical Service
Need help? Our team of experienced scientists is here for you.
Let Us Assist


conjugate

unconjugated

Quality Level

antibody form

affinity isolated antibody

clone

polyclonal

form

buffered aqueous solution, liquid

concentration

~1 mg/mL

UniProt accession no.

shipped in

dry ice

storage temp.

−20°C

target post-translational modification

unmodified

General description

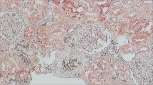
Angiotensin Converting Enzyme-2 (ACE2) is a membrane-associated and secreted enzyme that is principally expressed on endothelium. In humans, ACE2 occurs mainly in endothelium of heart, kidney, and testis, with other expression in coronary vessel smooth muscle and kidney tubular epithelium.1 ACE2 is a component of the renin-angiotensin system (RAS) that provides protective effects in peripheral tissues.2

Application

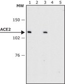
The antibody may be used in various immunochemical techniques including ELISA, Immunoblotting and Immunohistochemistry. Detection of the ACE2 band by Immunoblotting is specifically inhibited by the immunogen.

Biochem/physiol Actions

Anti-ACE2 antibody specifically recognizes ACE2 from human origin.
Coronaviruses such as SARS-CoV-2 and SARSCoV-1 use the host ACE2 as a co-receptor to gain intracellular entry into the lungs and brain.3,4 The virion expresses a protein termed spike, which directly binds to the extracellular domain of ACE2. A specific region in the spike protein serves as the receptor binding domain (RBD). The ACE2:spike interaction has a high affinity of 15 nM.5

Physical form

Supplied as a solution in 0.01 M phosphate buffered saline pH 7.4, containing 15 mM sodium azide as a preservative.

Preparation Note

For continuous use, store at 2-8°C for up to one month. For extended storage, freeze in working aliquots. Repeated freezing and thawing is not recommended. If slight turbidity occurs upon prolonged storage, clarify the solution by centrifugation before use. Working dilution samples should be discarded if not used within 12 hours. Protect from prolonged exposure to light.

Disclaimer

Unless otherwise stated in our catalog or other company documentation accompanying the product(s), our products are intended for research use only and are not to be used for any other purpose, which includes but is not limited to, unauthorized commercial uses, in vitro diagnostic uses, ex vivo or in vivo therapeutic uses or any type of consumption or application to humans or animals.Data presented is the available current product information and provided as-is. This product has not been tested or verified in any additional applications, sample types, including any clinical use. Experimental conditions must be empirically derived by the user. Our Antibody Guarantee only covers tested applications stated herein and conditions presented in our product information and is not extended to publications.


Still not finding the right product?


Storage Class

12 - Non Combustible Liquids

wgk

WGK 1

Regulatory Information

常规特殊物品
低风险生物材料

This item has



Choose from one of the most recent versions:

Certificates of Analysis (COA)

Lot/Batch Number

It looks like we've run into a problem, but you can still download Certificates of Analysis from our Documents section.

If you need assistance, please contact Customer Support

Already Own This Product?

Find documentation for the products that you have recently purchased in the Document Library.

Visit the Document Library






Global Trade Item Number

SKUGTIN
SAB4200886-25UL04065266439212
SAB4200886-100UL04065266439205