Skip to Content
Merck
CN

SAB4500811

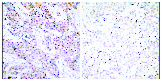
Anti-Estrogen Receptor-α antibody produced in rabbit

affinity isolated antibody

Synonym(s):

ER, ESR, ESR1, ESTR, ESTRA

Sign In to View Organizational & Contract Pricing.

Select a Size

Change View

About This Item

UNSPSC Code:
12352203
NACRES:
NA.41
MDL number:
Conjugate:
unconjugated
Clone:
polyclonal
Application:
ELISA, IHC, WB
Citations:
5
Technical Service
Need help? Our team of experienced scientists is here for you.
Let Us Assist


biological source

rabbit

Quality Level

conjugate

unconjugated

antibody form

affinity isolated antibody

antibody product type

primary antibodies

clone

polyclonal

form

buffered aqueous solution

mol wt

antigen 66 kDa

species reactivity

rat, mouse, human

concentration

~1 mg/mL

technique(s)

ELISA: 1:20000, immunohistochemistry: 1:50-1:100, western blot: 1:500-1:1000

NCBI accession no.

UniProt accession no.

shipped in

wet ice

storage temp.

−20°C

target post-translational modification

unmodified

Gene Information

human ... ESR1(2099)

General description

Anti-Estrogen Receptor-α Antibody detects endogenous levels of total Estrogen Receptor-α protein.

Estrogen receptor alpha (ERα) is a member of the nuclear receptor superfamily. It is also known as ESR1 (estrogen receptor). It is located on human chromosome 6q25.1.

Immunogen

The antiserum was produced against synthesized peptide derived from human Estrogen Receptor-alpha.

Immunogen Range: 71-120

Biochem/physiol Actions

Estrogen receptor alpha (ERα) is involved in immune and inflammatory response. Aberrations in ESR1 results in Mayer-Rokitansky-Küster-Hauser syndrome that is associated with the congenital absence of the uterus and the upper two-thirds of the vagina.

Features and Benefits

Evaluate our antibodies with complete peace of mind. If the antibody does not perform in your application, we will issue a full credit or replacement antibody. Learn more.

Physical form

Rabbit IgG in phosphate buffered saline (without Mg2+ and Ca2+), pH 7.4, 150mM NaCl, 0.02% sodium azide and 50% glycerol.

Disclaimer

Unless otherwise stated in our catalog or other company documentation accompanying the product(s), our products are intended for research use only and are not to be used for any other purpose, which includes but is not limited to, unauthorized commercial uses, in vitro diagnostic uses, ex vivo or in vivo therapeutic uses or any type of consumption or application to humans or animals.


Still not finding the right product?

or

Try our Product Selector Tool to narrow your options


Storage Class

10 - Combustible liquids

wgk

nwg

flash_point_f

Not applicable

flash_point_c

Not applicable

Regulatory Information

常规特殊物品
低风险生物材料

This item has



Choose from one of the most recent versions:

Certificates of Analysis (COA)

Lot/Batch Number

Don't see the Right Version?

If you require a particular version, you can look up a specific certificate by the Lot or Batch number.

Already Own This Product?

Find documentation for the products that you have recently purchased in the Document Library.

Visit the Document Library



ESR1 is co-expressed with closely adjacent uncharacterised genes spanning a breast cancer susceptibility locus at 6q25.1
Dunbier AK, et al.
PLoS Genetics, 7(4) (2011)
ER?36, a variant of estrogen receptor ?, is predominantly localized in mitochondria of human uterine smooth muscle and leiomyoma cells
Yan Y, et al.
PLoS ONE, 12(10) (2017)
Sequence variants in ESR1 and OXTR are associated with Mayer-Rokitansky-Kuster-Hauser syndrome
Brucker SY, et al.
Acta Obstetricia et Gynecologica Scandinavica, 96(11), 1338-1346 (2017)



Global Trade Item Number

SKUGTIN
SAB4500811-100UG04061837184147