Skip to Content
Merck
CN

SAB4502047

Anti-Opioid Receptor antibody produced in rabbit

affinity isolated antibody

Synonym(s):

MOR, MUOR1, Mu-type opioid receptor, OPRM, OPRM1

Sign In to View Organizational & Contract Pricing.

Select a Size

Change View

About This Item

NACRES:
NA.41
UNSPSC Code:
12352203
Conjugate:
unconjugated
Clone:
polyclonal
Application:
ELISA, IHC, WB
Citations:
1
Technical Service
Need help? Our team of experienced scientists is here for you.
Let Us Assist


biological source

rabbit

Quality Level

conjugate

unconjugated

antibody form

affinity isolated antibody

antibody product type

primary antibodies

clone

polyclonal

form

buffered aqueous solution

mol wt

antigen 44 kDa

species reactivity

mouse, human, rat

concentration

~1 mg/mL

technique(s)

ELISA: 1:20000, immunohistochemistry: 1:50-1:100, western blot: 1:500-1:1000

NCBI accession no.

UniProt accession no.

shipped in

wet ice

storage temp.

−20°C

target post-translational modification

unmodified

Gene Information

human ... OPRM1(4988)

General description

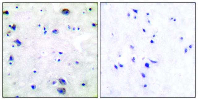
Anti-Opioid Receptor Antibody detects endogenous levels of total Opioid Receptor protein.

Immunogen

The antiserum was produced against synthesized peptide derived from human Opioid Receptor.

Immunogen Range: 341-390

Features and Benefits

Evaluate our antibodies with complete peace of mind. If the antibody does not perform in your application, we will issue a full credit or replacement antibody. Learn more.

Physical form

Rabbit IgG in phosphate buffered saline (without Mg2+ and Ca2+), pH 7.4, 150mM NaCl, 0.02% sodium azide and 50% glycerol.

Disclaimer

Unless otherwise stated in our catalog or other company documentation accompanying the product(s), our products are intended for research use only and are not to be used for any other purpose, which includes but is not limited to, unauthorized commercial uses, in vitro diagnostic uses, ex vivo or in vivo therapeutic uses or any type of consumption or application to humans or animals.


Still not finding the right product?

Try our Product Selector Tool to narrow your options


Storage Class

10 - Combustible liquids

wgk

nwg

flash_point_f

Not applicable

flash_point_c

Not applicable

Regulatory Information

常规特殊物品
低风险生物材料

This item has



Choose from one of the most recent versions:

Certificates of Analysis (COA)

Lot/Batch Number

Don't see the Right Version?

If you require a particular version, you can look up a specific certificate by the Lot or Batch number.

Already Own This Product?

Find documentation for the products that you have recently purchased in the Document Library.

Visit the Document Library



Florence R M Theberge et al.
Psychopharmacology, 224(4), 559-571 (2012-07-14)
Responding to heroin cues progressively increases after cessation of heroin self-administration (incubation of heroin craving). We investigated whether this incubation is associated with time-dependent changes in brain-derived neurotrophic factor (BDNF) and methyl-CpG binding protein 2 (MeCP2) signaling and mu opioid



Global Trade Item Number

SKUGTIN
SAB4502047-100UG04061837174292