Skip to Content
Merck
CN

SAB4503069

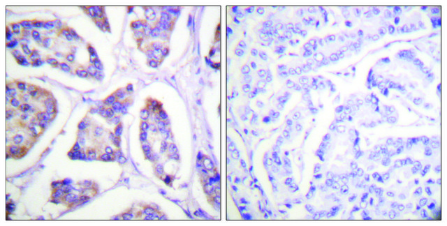
Anti-Vinculin Antibody

rabbit polyclonal

Synonym(s):

Metavinculin, VCL, VINC

Sign In to View Organizational & Contract Pricing.

Select a Size

Change View

About This Item

UNSPSC Code:
12352203
NACRES:
NA.41
MDL number:
Conjugate:
unconjugated
Clone:
polyclonal
Application:
ELISA, IF, IHC, WB
Citations:
13
Technical Service
Need help? Our team of experienced scientists is here for you.
Let Us Assist


Product Name

Anti-Vinculin antibody produced in rabbit, affinity isolated antibody

biological source

rabbit

Quality Level

conjugate

unconjugated

antibody form

affinity isolated antibody

antibody product type

primary antibodies

clone

polyclonal

form

buffered aqueous solution

mol wt

antigen 123 kDa

species reactivity

mouse, human, rat

concentration

~1 mg/mL

technique(s)

ELISA: 1:10000, immunofluorescence: 1:100-1:500, immunohistochemistry: 1:50-1:100, western blot: 1:500-1:1000

NCBI accession no.

shipped in

wet ice

storage temp.

−20°C

target post-translational modification

unmodified

Gene Information

human ... VINC(7414)

General description

Vinculin (VCL) is a ubiquitously expressed cytoskeletal protein, encoded by the gene mapped to human chromosome 10q11.2-qter. VCL is a vital element of adherens type cell junctions. Vinculin structure contains a globular head connected to a tail domain by a short proline-rich sequence, and an intramolecular interaction between the head and tail hides the various ligand-binding sites in the protein.

Immunogen

The antiserum was produced against synthesized peptide derived from human Vinculin.

Immunogen Range: 786-835

Biochem/physiol Actions

Vinculin (VCL) is a cytoskeletal protein that supports cell-to-cell and cell to matrix junctions. It is also essentially involved in normal embryonic development and cardiac function, due to its role in controlling adhesion and motility, as well as cell spreading. In mature focal adhesions (FAs), VCL acts as an important constituent of the “molecular clutch” that induces the transmission of force from cytoplasmic F-actin to membrane-bound integrins. Aberration or mutation of VCL leads to cardiomyopathy, which is associated with hypertension. Experimental studies reveal that, VCL might be used as a biomarker of aging or heart failure. Vinculin associates with FAs and assists in several cellular functions, such as stabilizing and strengthening FAs and promoting their maturation, extracellular matrix (ECM) mechanosensing, regulating actin cytoskeletal dynamics and signaling pathways involved in apoptosis.

Features and Benefits

Evaluate our antibodies with complete peace of mind. If the antibody does not perform in your application, we will issue a full credit or replacement antibody. Learn more.

Physical form

Rabbit IgG in phosphate buffered saline (without Mg2+ and Ca2+), pH 7.4, 150mM NaCl, 0.02% sodium azide and 50% glycerol.

Disclaimer

Unless otherwise stated in our catalog or other company documentation accompanying the product(s), our products are intended for research use only and are not to be used for any other purpose, which includes but is not limited to, unauthorized commercial uses, in vitro diagnostic uses, ex vivo or in vivo therapeutic uses or any type of consumption or application to humans or animals.


Still not finding the right product?

or

Try our Product Selector Tool to narrow your options


Storage Class

10 - Combustible liquids

wgk

nwg

flash_point_f

Not applicable

flash_point_c

Not applicable

Regulatory Information

低风险生物材料
常规特殊物品

This item has



Choose from one of the most recent versions:

Certificates of Analysis (COA)

Lot/Batch Number

Don't see the Right Version?

If you require a particular version, you can look up a specific certificate by the Lot or Batch number.

Already Own This Product?

Find documentation for the products that you have recently purchased in the Document Library.

Visit the Document Library



Qin Yu et al.
Scientific reports, 5, 15245-15245 (2015-10-22)
Hypertension is the most common and lethal risk factor for cardiovascular disease (CVD). Numerous variants have been associated with hypertension, however, most of which failed to get replication due to ethnic differences. In this study, we analyzed associations of 10
Tina Izard et al.
The Journal of biological chemistry, 291(6), 2548-2555 (2016-01-06)
The cytoskeletal protein vinculin is a major regulator of cell adhesion and attaches to the cell surface by binding to specific phospholipids. Structural, biochemical, and biological studies provided much insight into how vinculin binds to membranes, what components it recognizes
Darrell R Borger et al.
Biochemical and biophysical research communications, 370(2), 230-234 (2008-03-25)
This study was undertaken to interrogate cancer cell survival during long-term hypoxic stress. Two systems with relevance to carcinogenesis were employed: Fully transformed BJ cells and a renal carcinoma cell line (786-0). The dynamic of AMPK activity was consistent with



Global Trade Item Number

SKUGTIN
SAB4503069-100UG04061837745904