Skip to Content
Merck
CN

SAB4700826

Monoclonal Anti-SYK antibody produced in mouse

clone SYK-01

Synonym(s):

p72Syk

Sign In to View Organizational & Contract Pricing.

Select a Size

Change View

About This Item

NACRES:
NA.41
UNSPSC Code:
12352203
Conjugate:
unconjugated
Clone:
SYK-01, monoclonal
Application:
WB
Citations:
-
Technical Service
Need help? Our team of experienced scientists is here for you.
Let Us Assist


biological source

mouse

conjugate

unconjugated

antibody form

purified immunoglobulin

antibody product type

primary antibodies

clone

SYK-01, monoclonal

form

buffered aqueous solution

species reactivity

rat, human, mouse

concentration

1 mg/mL

technique(s)

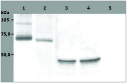
western blot: 1 μg/mL

accession no.

NM_003177

shipped in

wet ice

storage temp.

2-8°C

target post-translational modification

unmodified

Gene Information

human ... SYK(6850)

General description

The antibody SYK-01 reacts with protein tyrosine kinase p72Syk (Syk; Syk family tyrosine-specific phospho-transferase), which is required for the transduction of signals through the B cell antigen receptor (BCR) and the high affinity IgE receptor (FcepsilonRI).

Immunogen

Recombinant fragment (aa 5-360) of human Syk.

Physical form

Solution in phosphate buffered saline with 15 mM sodium azide.

Disclaimer

Unless otherwise stated in our catalog or other company documentation accompanying the product(s), our products are intended for research use only and are not to be used for any other purpose, which includes but is not limited to, unauthorized commercial uses, in vitro diagnostic uses, ex vivo or in vivo therapeutic uses or any type of consumption or application to humans or animals.


Still not finding the right product?

or

Try our Product Selector Tool to narrow your options


Storage Class

12 - Non Combustible Liquids

wgk

nwg

flash_point_f

Not applicable

flash_point_c

Not applicable

Regulatory Information

常规特殊物品

This item has



Choose from one of the most recent versions:

Certificates of Analysis (COA)

Lot/Batch Number

It looks like we've run into a problem, but you can still download Certificates of Analysis from our Documents section.

If you need assistance, please contact Customer Support

Already Own This Product?

Find documentation for the products that you have recently purchased in the Document Library.

Visit the Document Library