Skip to Content
Merck
CN

SAB5200112

Anti-Aquaporin-4 Antibody

rabbit polyclonal

Synonym(s):

Anti-AQP4, Anti-Aquaporin 4

Sign In to View Organizational & Contract Pricing.

Select a Size

Change View

About This Item

UNSPSC Code:
12352203
NACRES:
NA.41
Conjugate:
unconjugated
Clone:
polyclonal
Application:
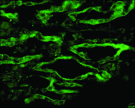
IF, WB
Citations:
4
Technical Service
Need help? Our team of experienced scientists is here for you.
Let Us Assist


Product Name

Anti-AQP4 antibody produced in rabbit, 1 mg/mL, affinity isolated antibody

biological source

rabbit

Quality Level

conjugate

unconjugated

antibody form

affinity isolated antibody

antibody product type

primary antibodies

clone

polyclonal

form

buffered aqueous glycerol solution

mol wt

antigen predicted mol wt 35 kDa

species reactivity

rat, human, mouse

concentration

1 mg/mL

technique(s)

indirect immunofluorescence: suitable, western blot: suitable

NCBI accession no.

UniProt accession no.

shipped in

wet ice

storage temp.

−20°C

target post-translational modification

unmodified

Gene Information

rat ... Aqp4(25293)

General description

Aquaporin 4 (AQP4) is expressed in the nervous system. The gene ID of the protein is 25293.

Immunogen

C-terminal peptide

Biochem/physiol Actions

Aquaporin 4 (AQP4) functions as a water channel in the rat brain.
Detects ~35 kDa. May detect larger glycosylated bands ~50 kDa.

Features and Benefits

Evaluate our antibodies with complete peace of mind. If the antibody does not perform in your application, we will issue a full credit or replacement antibody. Learn more.

Physical form

PBS, pH 7..4, 50% glycerol, and 0.09% sodium azide

Disclaimer

Unless otherwise stated in our catalog or other company documentation accompanying the product(s), our products are intended for research use only and are not to be used for any other purpose, which includes but is not limited to, unauthorized commercial uses, in vitro diagnostic uses, ex vivo or in vivo therapeutic uses or any type of consumption or application to humans or animals.


Still not finding the right product?

or

Try our Product Selector Tool to narrow your options


Storage Class

10 - Combustible liquids

wgk

WGK 1

flash_point_f

Not applicable

flash_point_c

Not applicable

Regulatory Information

常规特殊物品
低风险生物材料

This item has



Choose from one of the most recent versions:

Certificates of Analysis (COA)

Lot/Batch Number

Don't see the Right Version?

If you require a particular version, you can look up a specific certificate by the Lot or Batch number.

Already Own This Product?

Find documentation for the products that you have recently purchased in the Document Library.

Visit the Document Library



S Ceccariglia et al.
Neuroscience, 274, 273-288 (2014-06-10)
Trimethyltin chloride (TMT) is a neurotoxicant producing neuronal degeneration and reactive astrogliosis in the mammalian central nervous system, especially the hippocampus. A previous magnetic resonance imaging investigation in TMT-treated rats evidenced dilation of lateral ventricles, also suggesting alterations in blood-brain
Alex J Smith et al.
Acta neuropathologica communications, 7(1), 74-74 (2019-05-10)
Redistribution of the water channel aquaporin-4 (AQP4) away from astrocyte endfeet and into parenchymal processes is a striking histological feature in mouse models of Alzheimer's disease (AD) and other neurological conditions with prominent astrogliosis. AQP4 redistribution has been proposed to
Gökhan Akdemir et al.
Neuroscience letters, 574, 70-75 (2014-04-11)
Astrocyte water channel aquaporin-4 (AQP4) facilitates water movement across the blood-brain barrier and into injured astrocytes. We previously showed reduced cytotoxic brain edema with improved neurological outcome in AQP4 knockout mice in water intoxication, infection and cerebral ischemia. Here, we



Global Trade Item Number

SKUGTIN
SAB5200112-100UL04061838059185