Sign In to View Organizational & Contract Pricing.
Select a Size
Change View
About This Item
NACRES:
NA.41
UNSPSC Code:
12352203
Conjugate:
unconjugated
Clone:
monoclonal
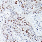
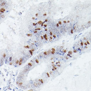
Application:
IHC, WB
Citations:
-
biological source
rabbit
Quality Level
conjugate
unconjugated
antibody product type
primary antibodies
clone
monoclonal
form
liquid
species reactivity
rat, mouse
concentration
1.2 mg/mL
technique(s)
immunohistochemistry: 1:50-1:200, western blot: 1:500-1:2000
UniProt accession no.
shipped in
wet ice
storage temp.
−20°C
target post-translational modification
unmodified
Gene Information
human ... RBPJ(3516)
General description
The protein encoded by this gene is a transcriptional regulator important in the Notch signaling pathway. The encoded protein acts as a repressor when not bound to Notch proteins and an activator when bound to Notch proteins. It is thought to function by recruiting chromatin remodeling complexes containing histone deacetylase or histone acetylase proteins to Notch signaling pathway genes. Several transcript variants encoding different isoforms have been found for this gene, and several pseudogenes of this gene exist on chromosome 9. [provided by RefSeq, Oct 2013]
Immunogen
A synthesized peptide derived from human RBPJK
Physical form
Buffer: PBS with 0.02% sodium azide,0.05% BSA,50% glycerol,pH7.3.
Still not finding the right product?
Try our Product Selector Tool to narrow your options
Storage Class
12 - Non Combustible Liquids
wgk
WGK 1
flash_point_f
Not applicable
flash_point_c
Not applicable
Regulatory Information
常规特殊物品
This item has
Choose from one of the most recent versions:
Already Own This Product?
Find documentation for the products that you have recently purchased in the Document Library.
Global Trade Item Number
| SKU | GTIN |
|---|---|
| SAB5701498-100UL | 04065267670720 |