Sign In to View Organizational & Contract Pricing.
Select a Size
Change View
About This Item
NACRES:
NA.43
UNSPSC Code:
12352203
Conjugate:
unconjugated
Clone:
polyclonal
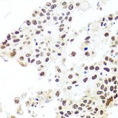
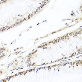
Application:
IHC, WB
Citations:
-
biological source
rabbit
Quality Level
conjugate
unconjugated
antibody product type
primary antibodies
clone
polyclonal
form
liquid
species reactivity
mouse, human
concentration
1.09 mg/mL
technique(s)
immunohistochemistry: 1:50-1:200, western blot: 1:500-1:2000
UniProt accession no.
shipped in
wet ice
storage temp.
−20°C
target post-translational modification
unmodified
Gene Information
human ... HIRA(7290)
General description
This gene encodes a histone chaperone that preferentially places the variant histone H3.3 in nucleosomes. Orthologs of this gene in yeast, flies, and plants are necessary for the formation of transcriptionally silent heterochomatin. This gene plays an important role in the formation of the senescence-associated heterochromatin foci. These foci likely mediate the irreversible cell cycle changes that occur in senescent cells. It is considered the primary candidate gene in some haploinsufficiency syndromes such as DiGeorge syndrome, and insufficient production of the gene may disrupt normal embryonic development.
Immunogen
Recombinant fusion protein containing a sequence corresponding to amino acids 250-550 of human HIRA (NP_003316.3).
Physical form
Buffer: PBS with 0.02% sodium azide,50% glycerol,pH7.3.
Still not finding the right product?
Explore all of our products under Anti- HIRA antibody produced in rabbit
— or —
Try our Product Selector Tool to narrow your options
Storage Class
12 - Non Combustible Liquids
wgk
WGK 1
flash_point_f
Not applicable
flash_point_c
Not applicable
Regulatory Information
常规特殊物品
低风险生物材料
This item has
Choose from one of the most recent versions:
Already Own This Product?
Find documentation for the products that you have recently purchased in the Document Library.
Global Trade Item Number
| SKU | GTIN |
|---|---|
| SAB5701648-100UL | 04065267672229 |