Skip to Content
Merck
CN

SAB5702178

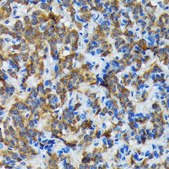
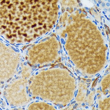
Anti-Thyroid Peroxidase Antibody, clone 3C4A4, Rabbit Monoclonal

Synonym(s):

MSA, TDH2A, TPX

Sign In to View Organizational & Contract Pricing.

Select a Size

Change View

About This Item

NACRES:
NA.46
UNSPSC Code:
12352203
Conjugate:
unconjugated
Clone:
3C4A4, monoclonal
Application:
IHC
Citations:
-
Technical Service
Need help? Our team of experienced scientists is here for you.
Let Us Assist


biological source

rabbit

Quality Level

conjugate

unconjugated

material

colorless

clone

3C4A4, monoclonal

form

liquid

species reactivity

human, rat

concentration

1.09 mg/mL

technique(s)

immunohistochemistry: 1:50 - 1:200

color

colorless

isotype

IgG

immunogen sequence

MRALAVLSVTLVMACTEAFFPFISRGKELLWGKPEESRVSSVLEESKRLVDTAMYATMQRNLKKRGILSPAQLLSFSKLPEPTSGVIARAAEIMETSIQA

UniProt accession no.

shipped in

wet ice

storage temp.

−20°C

target post-translational modification

unmodified

Gene Information

human ... TPO(7173)

General description

This gene encodes a membrane-bound glycoprotein. The encoded protein acts as an enzyme and plays a central role in thyroid gland function. The protein functions in the iodination of tyrosine residues in thyroglobulin and phenoxy-ester formation between pairs of iodinated tyrosines to generate the thyroid hormones, thyroxine and triiodothyronine. Mutations in this gene are associated with several disorders of thyroid hormonogenesis, including congenital hypothyroidism, congenital goiter, and thyroid hormone organification defect IIA. Multiple transcript variants encoding distinct isoforms have been identified for this gene, but the full-length nature of some variants has not been determined. [provided by RefSeq, May 2011]

Immunogen

A synthetic peptide corresponding to a sequence within amino acids 1-100 of human Thyroid Peroxidase (P07202).
PBS with 0.02% sodium azide,0.05% BSA,50% glycerol,pH7.3.

Application

IHC


Storage Class

10 - Combustible liquids

wgk

WGK 1

Regulatory Information

常规特殊物品

This item has



Choose from one of the most recent versions:

Certificates of Analysis (COA)

Lot/Batch Number

It looks like we've run into a problem, but you can still download Certificates of Analysis from our Documents section.

If you need assistance, please contact Customer Support

Already Own This Product?

Find documentation for the products that you have recently purchased in the Document Library.

Visit the Document Library



Global Trade Item Number

SKUGTIN
SAB5702178-100UL04065270698612