Sign In to View Organizational & Contract Pricing.
Select a Size
Change View
About This Item
UNSPSC Code:
12352203
NACRES:
NA.46
Clone:
7Q4T0, monoclonal
Species reactivity:
mouse, rat
Application:
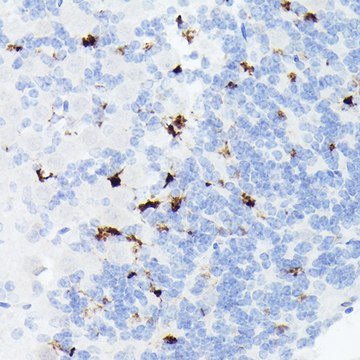
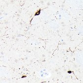
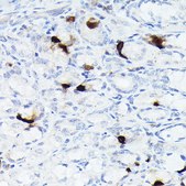
IHC
Citations:
-
Product Name
Anti-Somatostatin (SST) Antibody, clone 7Q4T0, Rabbit Monoclonal,
biological source
rabbit
Quality Level
material
colorless
clone
7Q4T0, monoclonal
form
liquid
species reactivity
mouse, rat
concentration
1 mg/mL
technique(s)
immunohistochemistry: 1:50 - 1:200
color
colorless
isotype
IgG
immunogen sequence
TGAPSDPRLRQFLQKSLAAAAGKQELAKYFLAELLSEPNQTENDALEPEDLSQAAEQDEMRLELQRSANSNPAMAPRERKAGCKNFFWKTFTSC
UniProt accession no.
shipped in
wet ice
storage temp.
−20°C
target post-translational modification
unmodified
Gene Information
human ... SST(6750)
General description
The hormone somatostatin has active 14 aa and 28 aa forms that are produced by alternate cleavage of the single preproprotein encoded by this gene. Somatostatin is expressed throughout the body and inhibits the release of numerous secondary hormones by binding to high-affinity G-protein-coupled somatostatin receptors. This hormone is an important regulator of the endocrine system through its interactions with pituitary growth hormone, thyroid stimulating hormone, and most hormones of the gastrointestinal tract. Somatostatin also affects rates of neurotransmission in the central nervous system and proliferation of both normal and tumorigenic cells.
Immunogen
PBS with 0.05% proclin300,0.05% BSA,50% glycerol,pH7.3.
Recombinant fusion protein containing a sequence corresponding to amino acids 23-116 of human Somatostatin (SST) (NP_001039.1).
Application
IHC
Still not finding the right product?
Explore all of our products under Anti-Somatostatin (SST) Antibody, clone 7Q4T0, Rabbit Monoclonal
signalword
Warning
hcodes
Hazard Classifications
Aquatic Chronic 2 - Skin Sens. 1
Storage Class
10 - Combustible liquids
wgk
WGK 3
Regulatory Information
常规特殊物品
This item has
Choose from one of the most recent versions:
Already Own This Product?
Find documentation for the products that you have recently purchased in the Document Library.
Global Trade Item Number
| SKU | GTIN |
|---|---|
| SAB5702254-100UL | 04065270699374 |

