Skip to Content
Merck
CN

SAB5702288

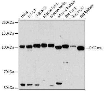
Anti-PKC mu Antibody, clone 2A5U1, Rabbit Monoclonal

Synonym(s):

CHDED, PKC-MU, PKCM, PKD, PRKCM

Sign In to View Organizational & Contract Pricing.

Select a Size

Change View

About This Item

NACRES:
NA.46
UNSPSC Code:
12352203
Conjugate:
unconjugated
Clone:
2A5U1, monoclonal
Application:
WB
Citations:
-
Technical Service
Need help? Our team of experienced scientists is here for you.
Let Us Assist


biological source

rabbit

Quality Level

conjugate

unconjugated

material

colorless

clone

2A5U1, monoclonal

form

liquid

mol wt

102 kDa

species reactivity

rat, human

concentration

0.25 mg/mL

technique(s)

western blot: 1:500 - 1:2000

color

colorless

isotype

IgG

immunogen sequence

RRRRLSNVSLTGVSTIRTSSAELSTSAPDEPLLQKSPSESFIGREKRSNSQSYIGRPIHLDKILMSKVKVPHTFVIHSYTRPTVCQYCKKLLKGLFRQGLQ

UniProt accession no.

shipped in

wet ice

storage temp.

−20°C

target post-translational modification

unmodified

Gene Information

human ... PRKD1(5587)

General description

The protein encoded by this gene is a serine/threonine protein kinase involved in many cellular processes, including Golgi body membrane integrity and transport, cell migration and differentiation, MAPK8/JNK1 and Ras pathway signaling, MAPK1/3 (ERK1/2) pathway signaling, cell survival, and regulation of cell shape and adhesion. [provided by RefSeq, Jan 2017]

Immunogen

A synthetic peptide corresponding to a sequence within amino acids 200-300 of human PKC mu (Q15139).
PBS with 0.02% sodium azide,0.05% BSA,50% glycerol,pH7.3.

Application

WB


Storage Class

10 - Combustible liquids

wgk

WGK 1

Regulatory Information

常规特殊物品

This item has



Choose from one of the most recent versions:

Certificates of Analysis (COA)

Lot/Batch Number

It looks like we've run into a problem, but you can still download Certificates of Analysis from our Documents section.

If you need assistance, please contact Customer Support

Already Own This Product?

Find documentation for the products that you have recently purchased in the Document Library.

Visit the Document Library



Global Trade Item Number

SKUGTIN
SAB5702288-100UL04065270699701