Skip to Content
Merck
CN

SAB5702442

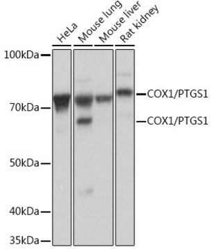
Anti-COX1/PTGS1 Antibody, clone 8L4X10, Rabbit Monoclonal

Synonym(s):

COX1, COX3, PCOX1, PES-1, PGG/HS, PGHS-1, PGHS1, PHS1, PTGHS

Sign In to View Organizational & Contract Pricing.

Select a Size

Change View

About This Item

NACRES:
NA.46
UNSPSC Code:
12352203
Conjugate:
unconjugated
Clone:
8L4X10, monoclonal
Application:
WB
Citations:
-
Technical Service
Need help? Our team of experienced scientists is here for you.
Let Us Assist


biological source

rabbit

Quality Level

conjugate

unconjugated

material

colorless

clone

8L4X10, monoclonal

form

liquid

species reactivity

rat, human

concentration

0.33 mg/mL

technique(s)

western blot: 1:500 - 1:2000

color

colorless

isotype

IgG

immunogen sequence

GLDRYQCDCTRTGYSGPNCTIPGLWTWLRNSLRPSPSFTHFLLTHGRWFWEFVNATFIREMLMRLVLTVRSNLIPSPPTYNSAHDYISWESFSNVSYYTRI

UniProt accession no.

shipped in

wet ice

storage temp.

−20°C

target post-translational modification

unmodified

Gene Information

human ... PTGS1(5742)

General description

This is one of two genes encoding similar enzymes that catalyze the conversion of arachinodate to prostaglandin. The encoded protein regulates angiogenesis in endothelial cells, and is inhibited by nonsteroidal anti-inflammatory drugs such as aspirin. Based on its ability to function as both a cyclooxygenase and as a peroxidase, the encoded protein has been identified as a moonlighting protein. The protein may promote cell proliferation during tumor progression. Alternative splicing results in multiple transcript variants. [provided by RefSeq, Jan 2014]

Immunogen

A synthetic peptide corresponding to a sequence within amino acids 50-150 of human COX1/PTGS1 (P23219).
PBS with 0.02% sodium azide,0.05% BSA,50% glycerol,pH7.3.

Application

WB


Storage Class

10 - Combustible liquids

wgk

WGK 1

Regulatory Information

常规特殊物品

This item has



Choose from one of the most recent versions:

Certificates of Analysis (COA)

Lot/Batch Number

It looks like we've run into a problem, but you can still download Certificates of Analysis from our Documents section.

If you need assistance, please contact Customer Support

Already Own This Product?

Find documentation for the products that you have recently purchased in the Document Library.

Visit the Document Library



Global Trade Item Number

SKUGTIN
SAB5702442-100UL04065270695888