Sign In to View Organizational & Contract Pricing.
Select a Size
Change View
About This Item
NACRES:
NA.46
UNSPSC Code:
12352203
Conjugate:
unconjugated
Clone:
4T4W6, monoclonal
Application:
WB
Citations:
-
biological source
rabbit
Quality Level
conjugate
unconjugated
material
colorless
clone
4T4W6, monoclonal
form
liquid
mol wt
44 kDa
species reactivity
rat, human
concentration
0.5 mg/mL
technique(s)
western blot: 1:500 - 1:2000
color
colorless
isotype
IgG
immunogen sequence
MAVSESQLKKMVSKYKYRDLTVRETVNVITLYKDLKPVLDSYVFNDGSSRELMNLTGTIPVPYRGNTYNIPICLWLLDTYPYNPPICFVKPTSSMTIKTG
UniProt accession no.
shipped in
wet ice
storage temp.
−20°C
target post-translational modification
unmodified
Gene Information
human ... TSG101(7251)
General description
The protein encoded by this gene belongs to a group of apparently inactive homologs of ubiquitin-conjugating enzymes. The gene product contains a coiled-coil domain that interacts with stathmin, a cytosolic phosphoprotein implicated in tumorigenesis. The protein may play a role in cell growth and differentiation and act as a negative growth regulator. In vitro steady-state expression of this tumor susceptibility gene appears to be important for maintenance of genomic stability and cell cycle regulation. Mutations and alternative splicing in this gene occur in high frequency in breast cancer and suggest that defects occur during breast cancer tumorigenesis and/or progression. [provided by RefSeq, Jul 2008]
Immunogen
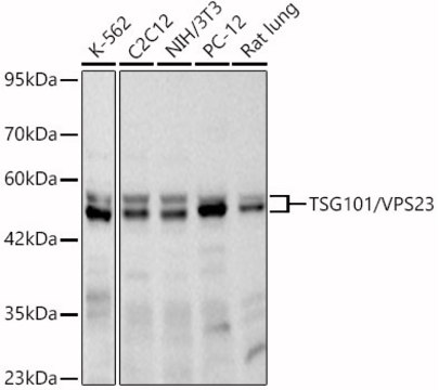
A synthetic peptide corresponding to a sequence within amino acids 1-100 of human TSG101/VPS23 (Q99816).
PBS with 0.02% sodium azide,0.05% BSA,50% glycerol,pH7.3.
Application
WB
Storage Class
10 - Combustible liquids
Regulatory Information
低风险生物材料
常规特殊物品
This item has
Choose from one of the most recent versions:
Already Own This Product?
Find documentation for the products that you have recently purchased in the Document Library.
Global Trade Item Number
| SKU | GTIN |
|---|---|
| SAB5703007-100UL | 04065270540201 |